Tested Applications
| Positive WB detected in | HEK-293 cells, NIH/3T3 cells, C6 cells |
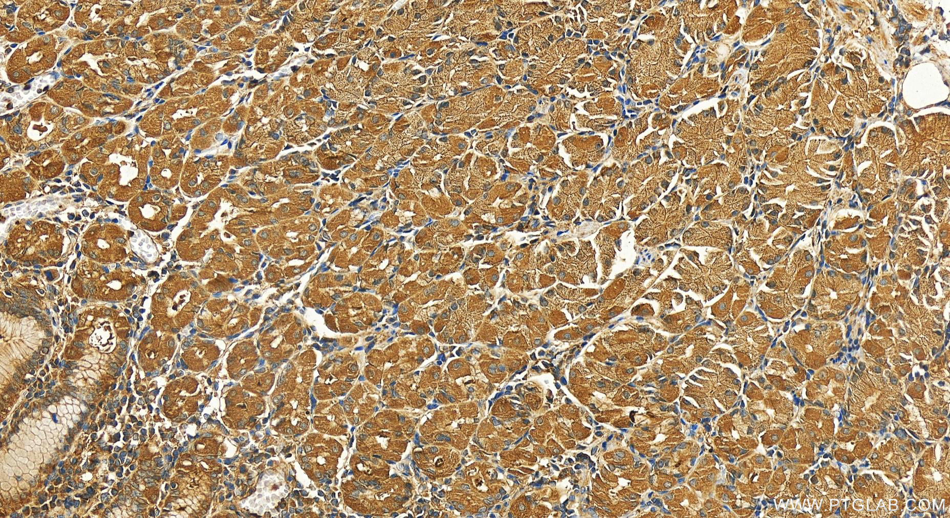
| Positive IHC detected in | human stomach tissue Note: suggested antigen retrieval with TE buffer pH 9.0; (*) Alternatively, antigen retrieval may be performed with citrate buffer pH 6.0 |
Recommended dilution
| Application | Dilution |
|---|---|
| Western Blot (WB) | WB : 1:500-1:3000 |
| Immunohistochemistry (IHC) | IHC : 1:150-1:600 |
| It is recommended that this reagent should be titrated in each testing system to obtain optimal results. | |
| Sample-dependent, Check data in validation data gallery. | |
Product Information
16336-1-AP targets RAP1A in WB, IHC, ELISA applications and shows reactivity with human, mouse, rat samples.
| Tested Reactivity | human, mouse, rat |
| Host / Isotype | Rabbit / IgG |
| Class | Polyclonal |
| Type | Antibody |
| Immunogen |
CatNo: Ag9488 Product name: Recombinant human RAP1A protein Source: e coli.-derived, PGEX-4T Tag: GST Domain: 1-184 aa of BC014086 Sequence: MREYKLVVLGSGGVGKSALTVQFVQGIFVEKYDPTIEDSYRKQVEVDCQQCMLEILDTAGTEQFTAMRDLYMKNGQGFALVYSITAQSTFNDLQDLREQILRVKDTEDVPMILVGNKCDLEDERVVGKEQGQNLARQWCNCAFLESSAKSKINVNEIFYDLVRQINRKTPVEKKKPKKKSCLLL Predict reactive species |
| Full Name | RAP1A, member of RAS oncogene family |
| Calculated Molecular Weight | 184 aa, 21 kDa |
| Observed Molecular Weight | 21 kDa |
| GenBank Accession Number | BC014086 |
| Gene Symbol | RAP1A |
| Gene ID (NCBI) | 5906 |
| RRID | AB_1939700 |
| Conjugate | Unconjugated |
| Form | Liquid |
| Purification Method | Antigen affinity purification |
| UNIPROT ID | P62834 |
| Storage Buffer | PBS with 0.02% sodium azide and 50% glycerol, pH 7.3. |
| Storage Conditions | Store at -20°C. Stable for one year after shipment. Aliquoting is unnecessary for -20oC storage. 20ul sizes contain 0.1% BSA. |
Background Information
RAP1A(Ras-related protein Rap-1A), also known as KREV1. Induces morphological reversion of a cell line transformed by a Ras oncogene. The biological roles of RAP1A include inducing neurite outgrowth and embryonic angiogenesis(PMID: 17916086). As one member of RAS oncogene family, it is a widely expressed receptor,with high mRNA expression in many tissues, particularly abundant in the colon. In cells, RAP1A was localized in cytoplasm and cell membrane(PMID: 11359771, PMID: 11359771).
Protocols
| Product Specific Protocols | |
|---|---|
| IHC protocol for RAP1A antibody 16336-1-AP | Download protocol |
| WB protocol for RAP1A antibody 16336-1-AP | Download protocol |
| Standard Protocols | |
|---|---|
| Click here to view our Standard Protocols |



