Tested Applications
| Positive WB detected in | HeLa cells, Jurkat cells |
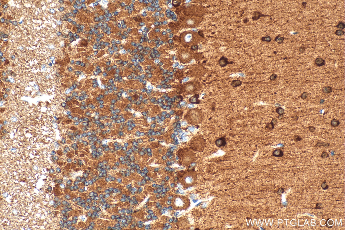
| Positive IHC detected in | human ovary cancer tissue, mouse cerebellum tissue, mouse pancreas tissue Note: suggested antigen retrieval with TE buffer pH 9.0; (*) Alternatively, antigen retrieval may be performed with citrate buffer pH 6.0 |
| Positive IF/ICC detected in | HeLa cells |
Recommended dilution
| Application | Dilution |
|---|---|
| Western Blot (WB) | WB : 1:1000-1:6000 |
| Immunohistochemistry (IHC) | IHC : 1:50-1:500 |
| Immunofluorescence (IF)/ICC | IF/ICC : 1:200-1:800 |
| It is recommended that this reagent should be titrated in each testing system to obtain optimal results. | |
| Sample-dependent, Check data in validation data gallery. | |
Published Applications
| WB | See 1 publications below |
Product Information
19174-1-AP targets RAP1GAP in WB, IHC, IF/ICC, ELISA applications and shows reactivity with human, mouse, rat samples.
| Tested Reactivity | human, mouse, rat |
| Cited Reactivity | human |
| Host / Isotype | Rabbit / IgG |
| Class | Polyclonal |
| Type | Antibody |
| Immunogen |
CatNo: Ag5576 Product name: Recombinant human RAP1GAP protein Source: e coli.-derived, PET28a Tag: 6*His Domain: 313-663 aa of BC054490 Sequence: FLHAYVVVQAEGGGPDGPLYKVSVTARDDVPFFGPPLPDPAVFRKGPEFQEFLLTKLINAEYACYKAEKFAKLEERTRAALLETLYEELHIHSQSMMGLGGDEDKMENGSGGGGFFESFKRVIRSRSQSMDAMGLSNKKPNTVSTSHSGSFAPNNPDLAKAAGISLIVPGKSPTRKKSGPFGSRRSSAIGIENIQEVQEKRESPPAGQKTPDSGHVSQEPKSENSSTQSSPEMPTTKNRAETAAQRAEALKDFSRSSSSASSFASVVEETEGVDGEDTGLESVSSSGTPHKRDSFIYSTWLEDSVSTTSGGSSPGPSRSPHPDAGKLGDPACPEIKIQLEASEQHMPQLGC Predict reactive species |
| Full Name | RAP1 GTPase activating protein |
| Calculated Molecular Weight | 73 kDa |
| Observed Molecular Weight | 85-95 kDa |
| GenBank Accession Number | BC054490 |
| Gene Symbol | RAP1GAP |
| Gene ID (NCBI) | 5909 |
| RRID | AB_2177291 |
| Conjugate | Unconjugated |
| Form | Liquid |
| Purification Method | Antigen affinity purification |
| UNIPROT ID | P47736 |
| Storage Buffer | PBS with 0.02% sodium azide and 50% glycerol, pH 7.3. |
| Storage Conditions | Store at -20°C. Stable for one year after shipment. Aliquoting is unnecessary for -20oC storage. 20ul sizes contain 0.1% BSA. |
Background Information
Rap1 GTPase-activating protein (Rap1GAP) is an important tumor suppressor. Rap1GAP was associated with the AMPK and NF-κB signaling pathways and that Rap1GAP inhibited AMPK/SIRT1 and activated the NF-κB signaling pathway in model animals. Rap1GAP was verified to regulate the AMPK SIRT1/NF-κB signaling pathway and exacerbate the damage to myocardial cells caused by ischemia and hypoxia (PMID: 38320624). Rap1GAP is involved in Ang II-induced cardiomyocyte hypertrophy through the regulation of autophagy (PMID: 33936386). Rap1GAP, which is the GTPase-activating protein of Rap1, can bind to Rap1, promote the transformation of GTP from its active to inactive form, and terminate signal transduction (PMID: 21295042).
Protocols
| Product Specific Protocols | |
|---|---|
| IF protocol for RAP1GAP antibody 19174-1-AP | Download protocol |
| IHC protocol for RAP1GAP antibody 19174-1-AP | Download protocol |
| WB protocol for RAP1GAP antibody 19174-1-AP | Download protocol |
| Standard Protocols | |
|---|---|
| Click here to view our Standard Protocols |
Publications
| Species | Application | Title |
|---|---|---|
Sci Rep CD147 regulates the Rap1 signaling pathway to promote proliferation, migration, and invasion, and inhibit apoptosis in colorectal cancer cells | ||
J Biol Chem GoLoco/GPR motif-dependent regulation of Rap1GAP1 by Gαo is disrupted by Gαo encephalopathy variants |











