Tested Applications
| Positive WB detected in | mouse cerebellum tissue, mouse brain tissue, PC-12 cells |
| Positive IP detected in | mouse brain tissue |
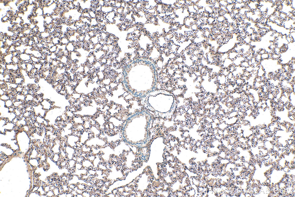
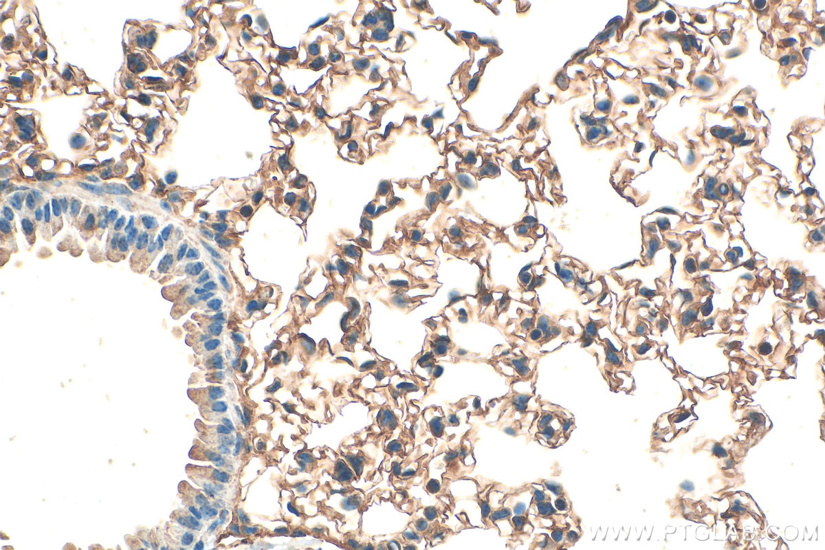
| Positive IHC detected in | human lung tissue, human brain tissue, mouse brain tissue, mouse lung tissue Note: suggested antigen retrieval with TE buffer pH 9.0; (*) Alternatively, antigen retrieval may be performed with citrate buffer pH 6.0 |
| Positive IF/ICC detected in | HeLa cells |
Recommended dilution
| Application | Dilution |
|---|---|
| Western Blot (WB) | WB : 1:500-1:1000 |
| Immunoprecipitation (IP) | IP : 0.5-4.0 ug for 1.0-3.0 mg of total protein lysate |
| Immunohistochemistry (IHC) | IHC : 1:50-1:500 |
| Immunofluorescence (IF)/ICC | IF/ICC : 1:200-1:800 |
| It is recommended that this reagent should be titrated in each testing system to obtain optimal results. | |
| Sample-dependent, Check data in validation data gallery. | |
Published Applications
| KD/KO | See 1 publications below |
| WB | See 5 publications below |
| IHC | See 3 publications below |
| IF | See 1 publications below |
| CoIP | See 1 publications below |
Product Information
14530-1-AP targets RGS4 in WB, IHC, IF/ICC, IP, CoIP, ELISA applications and shows reactivity with human, mouse, rat samples.
| Tested Reactivity | human, mouse, rat |
| Cited Reactivity | human, mouse |
| Host / Isotype | Rabbit / IgG |
| Class | Polyclonal |
| Type | Antibody |
| Immunogen |
CatNo: Ag6029 Product name: Recombinant human RGS4 protein Source: e coli.-derived, PGEX-4T Tag: GST Domain: 1-205 aa of BC051869 Sequence: MCKGLAGLPASCLRSAKDMKHRLGFLLQKSDSCEHNSSHNKKDKVVICQRVSQEEVKKWAESLENLISHECGLAAFKAFLKSEYSEENIDFWISCEEYKKIKSPSKLSPKAKKIYNEFISVQATKEVNLDSCTREETSRNMLEPTITCFDEAQKKIFNLMEKDSYRRFLKSRFYLDLVNPSSCGAEKQKGAKSSADCASLVPQCA Predict reactive species |
| Full Name | regulator of G-protein signaling 4 |
| Calculated Molecular Weight | 23 kDa |
| Observed Molecular Weight | 30 kDa |
| GenBank Accession Number | BC051869 |
| Gene Symbol | RGS4 |
| Gene ID (NCBI) | 5999 |
| RRID | AB_2269443 |
| Conjugate | Unconjugated |
| Form | Liquid |
| Purification Method | Antigen affinity purification |
| UNIPROT ID | P49798 |
| Storage Buffer | PBS with 0.02% sodium azide and 50% glycerol, pH 7.3. |
| Storage Conditions | Store at -20°C. Stable for one year after shipment. Aliquoting is unnecessary for -20oC storage. 20ul sizes contain 0.1% BSA. |
Background Information
Regulator of G protein signaling (RGS) proteins are a large family of highly diverse, multifunctional signaling proteins. RGS4 is one of seven members of a classic R4 RGS protein that accelerates the GTPase activity of the Gai/o and Gaq/11 family members. RGS4 is highly expressed in multiple brain regions including the cerebral cortex, amygdala, hippocampus, and striatum. Extensive studies have demonstrated that RGS4 plays an important role in regulating smooth muscle contraction, cardiomyocyte development, neural plasticity and psychiatric disorders.
Protocols
| Product Specific Protocols | |
|---|---|
| IF protocol for RGS4 antibody 14530-1-AP | Download protocol |
| IHC protocol for RGS4 antibody 14530-1-AP | Download protocol |
| IP protocol for RGS4 antibody 14530-1-AP | Download protocol |
| WB protocol for RGS4 antibody 14530-1-AP | Download protocol |
| Standard Protocols | |
|---|---|
| Click here to view our Standard Protocols |
Publications
| Species | Application | Title |
|---|---|---|
J Allergy Clin Immunol RGS4 promotes allergen- and aspirin-associated airway hyperresponsiveness by inhibiting PGE2 biosynthesis.
| ||
Arterioscler Thromb Vasc Biol HuR (Human Antigen R) Regulates the Contraction of Vascular Smooth Muscle and Maintains Blood Pressure. | ||
Oncotarget Regulator of G protein signaling 4 inhibits human melanoma cells proliferation and invasion through the PI3K/AKT signaling pathway. | ||
Onco Targets Ther RGS4 Regulates Proliferation And Apoptosis Of NSCLC Cells Via microRNA-16 And Brain-Derived Neurotrophic Factor. | ||
Arch Gerontol Geriatr LINC00370 modulates miR-222-3p-RGS4 axis to protect against osteoporosis progression. | ||
Chem Biol Drug Des Ailanthone Restrains Osteosarcoma Growth and Metastasis by Decreasing the Expression of Regulator of G Protein Signaling 4 and Twist Family BHLH Transcription Factor 1 |

























