Tested Applications
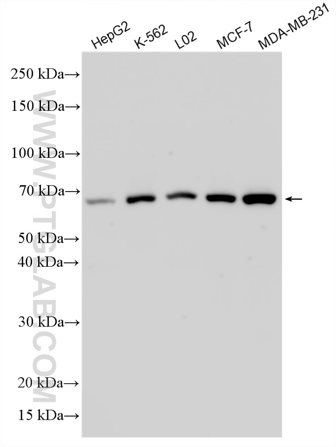
| Positive WB detected in | K-562 cells, HepG2 cells, L02 cells, MCF-7 cells, MDA-MB-231 cells |
Recommended dilution
| Application | Dilution |
|---|---|
| Western Blot (WB) | WB : 1:1000-1:8000 |
| It is recommended that this reagent should be titrated in each testing system to obtain optimal results. | |
| Sample-dependent, Check data in validation data gallery. | |
Published Applications
| WB | See 8 publications below |
Product Information
29932-1-AP targets RIPK1 in WB, ELISA applications and shows reactivity with human samples.
| Tested Reactivity | human |
| Cited Reactivity | human, pig |
| Host / Isotype | Rabbit / IgG |
| Class | Polyclonal |
| Type | Antibody |
| Immunogen |
CatNo: Ag31950 Product name: Recombinant human RIPK1 protein Source: e coli.-derived, PGEX-4T Tag: GST Domain: 465-671 aa of NM_003804 Sequence: NNGLYSSHGFGTRPLDPGTAGPRVWYRPIPSHMPSLHNIPVPETNYLGNTPTMPFSSLPPTDESIKYTIYNSTGIQIGAYNYMEIGGTSSSLLDSTNTNFKEEPAAKYQAIFDNTTSLTDKHLDPIRENLGKHWKNCARKLGFTQSQIDEIDHDYERDGLKEKVYQMLQKWVMREGIKGATVGKLAQALHQCSRIDLLSSLIYVSQN Predict reactive species |
| Full Name | receptor (TNFRSF)-interacting serine-threonine kinase 1 |
| Calculated Molecular Weight | 76KD |
| Observed Molecular Weight | 70-80 kDa |
| GenBank Accession Number | NM_003804 |
| Gene Symbol | RIPK1 |
| Gene ID (NCBI) | 8737 |
| RRID | AB_3086193 |
| Conjugate | Unconjugated |
| Form | Liquid |
| Purification Method | Antigen affinity purification |
| UNIPROT ID | Q13546 |
| Storage Buffer | PBS with 0.02% sodium azide and 50% glycerol, pH 7.3. |
| Storage Conditions | Store at -20°C. Stable for one year after shipment. Aliquoting is unnecessary for -20oC storage. 20ul sizes contain 0.1% BSA. |
Background Information
RIPK1(Receptor-interacting serine/threonine-protein kinase 1) is primarily involved in mediating TNF-R1-induced cell activation, apoptosis, and necroptosis and belongs to a novel class of kinases that function in cell survival and cell death mechanisms(PMID:22685397 ). It has 2 isoforms produced by alternative splicing. It also can exist as a protein with a lower molecular weight of about 25 kDa and 45 kDa in HAEC and HUVEC(PMID:22685397).
Protocols
| Product Specific Protocols | |
|---|---|
| WB protocol for RIPK1 antibody 29932-1-AP | Download protocol |
| Standard Protocols | |
|---|---|
| Click here to view our Standard Protocols |
Publications
| Species | Application | Title |
|---|---|---|
J Ethnopharmacol The protective role of Cordyceps cicadae and its active ingredient Myriocin against sodium iodate-induced age-related macular degeneration via an anti-necroptotic TNF-RIPK1/3 pathway | ||
Biomaterials Radiation-triggerable bioreactors enable bioenergetic reprograming of cancer stem cell plasticity via targeted arginine metabolism disruption for augmented radio-immunotherapy | ||
Cancer Immunol Immunother Spautin-1 inhibits the growth of diffuse large B-cell lymphoma by inducing mitochondrial damage-mediated PANoptosis and anti-tumor immunity. | ||
Microbiome Faecalibacterium prausnitzii-derived outer membrane vesicles reprogram gut microbiota metabolism to alleviate Porcine Epidemic Diarrhea Virus infection | ||
Biomaterials Targeting ROS-metabolism dual pathways to trigger PANoptosis by cobalt-vanadium oxides biomimetic nanocakes for tumor immunotherapy | ||
Biochem Pharmacol Bavachinin exerts anti-tumor effects by activating TLR4/STING axis-dependent PANoptosis and synergistically enhances chemosensitivity in endometrial cancer |



