Tested Applications
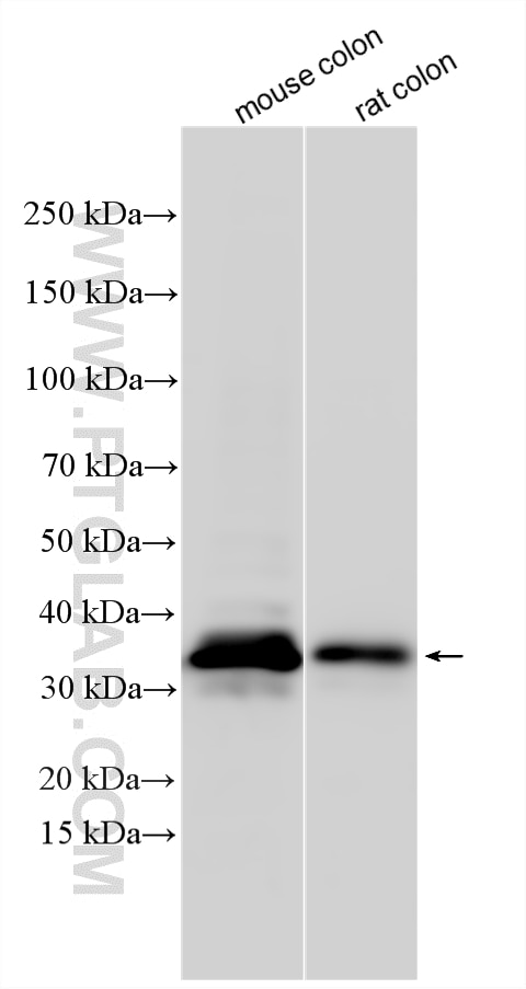
| Positive WB detected in | mouse colon tissue, human liver tissue, mouse brain tissue, mouse heart tissue, rat colon tissue |
| Positive IHC detected in | human breast cancer tissue, human gliomas tissue, rat colon tissue, human stomach cancer tissue Note: suggested antigen retrieval with TE buffer pH 9.0; (*) Alternatively, antigen retrieval may be performed with citrate buffer pH 6.0 |
Recommended dilution
| Application | Dilution |
|---|---|
| Western Blot (WB) | WB : 1:1000-1:4000 |
| Immunohistochemistry (IHC) | IHC : 1:250-1:1000 |
| It is recommended that this reagent should be titrated in each testing system to obtain optimal results. | |
| Sample-dependent, Check data in validation data gallery. | |
Published Applications
| KD/KO | See 4 publications below |
| WB | See 5 publications below |
| IHC | See 3 publications below |
| IF | See 2 publications below |
| CoIP | See 1 publications below |
Product Information
10407-1-AP targets Syntenin 2 in WB, IHC, IF, CoIP, ELISA applications and shows reactivity with human, mouse, rat samples.
| Tested Reactivity | human, mouse, rat |
| Cited Reactivity | human, mouse |
| Host / Isotype | Rabbit / IgG |
| Class | Polyclonal |
| Type | Antibody |
| Immunogen |
CatNo: Ag0668 Product name: Recombinant human SDCBP2 protein Source: e coli.-derived, PGEX-4T Tag: GST Domain: 1-207 aa of BC002727 Sequence: MVAPVTGYSLGVRRAEIKPGVREIHLCKDERGKTGLRLRKVDQGLFVQLVQANTPASLVGLRFGDQLLQIDGRDCAGWSSHKAHQVVKKASGDKIVVVVRDRPFQRTVTMHKDSMGHVGFVIKKGKIVSLVKGSSAARNGLLTNHYVCEVDGQNVIGLKDKKIMEILATAGNVVTLTIIPSVIYEHMVKKLPPVLLHHTMDHSIPDA Predict reactive species |
| Full Name | syndecan binding protein (syntenin) 2 |
| Calculated Molecular Weight | 32 kDa |
| Observed Molecular Weight | 35-37 kDa |
| GenBank Accession Number | BC002727 |
| Gene Symbol | Syntenin 2 |
| Gene ID (NCBI) | 27111 |
| RRID | AB_2183161 |
| Conjugate | Unconjugated |
| Form | Liquid |
| Purification Method | Antigen affinity purification |
| UNIPROT ID | Q9H190 |
| Storage Buffer | PBS with 0.02% sodium azide and 50% glycerol, pH 7.3. |
| Storage Conditions | Store at -20°C. Stable for one year after shipment. Aliquoting is unnecessary for -20oC storage. 20ul sizes contain 0.1% BSA. |
Background Information
Syndecan-binding protein 2 (SDCBP2, Syntenin 2) is a protein containing two PDZ domains. PDZ domains facilitate protein-protein interactions by binding to the cytoplasmic C-terminus of transmembrane proteins. SDCBP2 binds with high affinity to PIP2 and is targeted to the plasma membrane, nucleoli and nuclear speckles via its PDZ domains (PMID: 15961997). SDCBP2 exists in two alternatively spliced variants, 2α and 2β, which differ in the lengths of their N-terminal regions. (PMID: 15276154)
Protocols
| Product Specific Protocols | |
|---|---|
| IHC protocol for Syntenin 2 antibody 10407-1-AP | Download protocol |
| WB protocol for Syntenin 2 antibody 10407-1-AP | Download protocol |
| Standard Protocols | |
|---|---|
| Click here to view our Standard Protocols |
Publications
| Species | Application | Title |
|---|---|---|
J Virol Human papillomavirus type 8 E6 oncoprotein inhibits transcription of the PDZ protein syntenin-2. | ||
Front Microbiol HPV8-E6 Interferes with Syntenin-2 Expression through Deregulation of Differentiation, Methylation and Phosphatidylinositide-Kinase Dependent Mechanisms.
| ||
Front Neurosci MiR-409-5p as a Regulator of Neurite Growth Is Down Regulated in APP/PS1 Murine Model of Alzheimer's Disease.
| ||
Gut Pathog Virulence factors and mechanisms of paediatric pneumonia caused by Enterococcus faecalis | ||
Front Immunol SDCBP2 promotes tumor progression and is a novel ferroptosis-related prognostic biomarker in lung adenocarcinoma.
|
Reviews
The reviews below have been submitted by verified Proteintech customers who received an incentive for providing their feedback.
FH Kamal (Verified Customer) (02-15-2024) | Mouse liver tissue lysates were subjected to SDS PAGE followed by western blot with this antibody at dilution of 1:2000 incubated at 4 degree overnight. Syntenin 2 appeared at 36 kDa.
|



















