Tested Applications
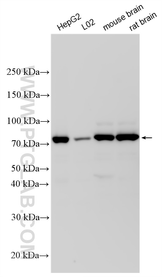
| Positive WB detected in | HepG2 cells, Jurkat cells, MCF-7 cells, mouse brain tissue, rat brain tissue, L02 cells |
| Positive IP detected in | mouse brain tissue, rat brain tissue |
| Positive IF/ICC detected in | Jurkat cells, HepG2 cells |
Recommended dilution
| Application | Dilution |
|---|---|
| Western Blot (WB) | WB : 1:5000-1:50000 |
| Immunoprecipitation (IP) | IP : 0.5-4.0 ug for 1.0-3.0 mg of total protein lysate |
| Immunofluorescence (IF)/ICC | IF/ICC : 1:50-1:500 |
| It is recommended that this reagent should be titrated in each testing system to obtain optimal results. | |
| Sample-dependent, Check data in validation data gallery. | |
Published Applications
| KD/KO | See 1 publications below |
| WB | See 1 publications below |
Product Information
23911-1-AP targets SOLO/SESTD1 in WB, IF/ICC, IP, ELISA applications and shows reactivity with human, mouse, rat samples.
| Tested Reactivity | human, mouse, rat |
| Cited Reactivity | human |
| Host / Isotype | Rabbit / IgG |
| Class | Polyclonal |
| Type | Antibody |
| Immunogen |
CatNo: Ag21016 Product name: Recombinant human SESTD1 protein Source: e coli.-derived, PGEX-4T Tag: GST Domain: 348-696 aa of BC047578 Sequence: DLVELKSLQQQLSDVCYRQASQLEFRQNLLQAALEFHGVAQDLSQQLDGLLGMLCVDVAPADGASIQQTLKLLEEKLKSVDVGLQGLREKGQGLLDQISNQASWAYGKDVTIENKENVDHIQGVMEDMQLRKQRCEDMVDVRRLKMLQMVQLFKCEEDAAQAVEWLSELLDALLKTHIRLGDDAQETKVLLEKHRKFVDVAQSTYDYGRQLLQATVVLCQSLRCTSRSSGDTLPRLNRVWKQFTIASEERVHRLEMAIAFHSNAEKILQDCPEEPEAINDEEQFDEIEAVGKSLLDRLTVPVVYPDGTEQYFGSPSDMASTAENIRDRMKLVNLKRQQLRHPEMVTTES Predict reactive species |
| Full Name | SEC14 and spectrin domains 1 |
| Calculated Molecular Weight | 696 aa, 79 kDa |
| Observed Molecular Weight | 70-79 kDa |
| GenBank Accession Number | BC047578 |
| Gene Symbol | SOLO |
| Gene ID (NCBI) | 91404 |
| RRID | AB_2879360 |
| Conjugate | Unconjugated |
| Form | Liquid |
| Purification Method | Antigen Affinity purified |
| UNIPROT ID | Q86VW0 |
| Storage Buffer | PBS with 0.02% sodium azide and 50% glycerol, pH 7.3. |
| Storage Conditions | Store at -20°C. Stable for one year after shipment. Aliquoting is unnecessary for -20oC storage. 20ul sizes contain 0.1% BSA. |
Background Information
SEC14 domain and spectrin repeat-containing protein 1 (SESTD1) is also named Huntingtin-interacting protein-like protein and SOLO. SESTD1, a previously uncharacterized lipid-binding protein strongly expressed in aorta, was found to interact with both TRPC proteins and modulate receptor-activated TRPC5 currents in a recombinant cell line (PMID: 20164195). SESTD1 is proposed to be involved in phospholipid regulation of transient receptor potential channels TRPC4 and TRPC5 (PMID: 26503763). SESTD1 expression is associated with high abundance of immune infiltration, including T helper cells, Th2 cells, and Macrophages in HCC (PMID: 41016345).
Protocols
| Product Specific Protocols | |
|---|---|
| IF protocol for SOLO/SESTD1 antibody 23911-1-AP | Download protocol |
| IP protocol for SOLO/SESTD1 antibody 23911-1-AP | Download protocol |
| WB protocol for SOLO/SESTD1 antibody 23911-1-AP | Download protocol |
| Standard Protocols | |
|---|---|
| Click here to view our Standard Protocols |











