Tested Applications
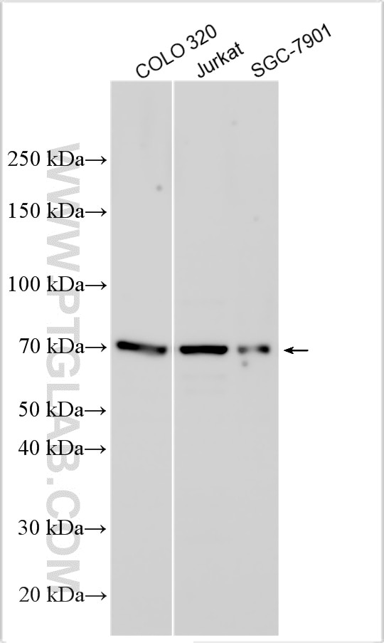
| Positive WB detected in | COLO 320 cells, Jurkat cells, SGC-7901 cells |
Recommended dilution
| Application | Dilution |
|---|---|
| Western Blot (WB) | WB : 1:1000-1:8000 |
| It is recommended that this reagent should be titrated in each testing system to obtain optimal results. | |
| Sample-dependent, Check data in validation data gallery. | |
Product Information
30610-1-AP targets SIX6OS1 in WB, ELISA applications and shows reactivity with human samples.
| Tested Reactivity | human |
| Host / Isotype | Rabbit / IgG |
| Class | Polyclonal |
| Type | Antibody |
| Immunogen |
CatNo: Ag33548 Product name: Recombinant human C14orf39 protein Source: e coli.-derived, PGEX-4T Tag: GST Domain: 200-420 aa of BC125070 Sequence: SNLTKSSSELKKEVDEMEIEINYLNQQISRHNETKALSETLEEKNKNTENRKELKERIFGKDEHVLTLNKTQSSQLFLPYESQKLVRPIKMHSSEPRVADIKEESSAKQSKLANIDFRQKENDTQIFNDSAVDNHSKCSHITTITSSQKFMQVRLLTPQKQSNSNQWSEKGDKDAEYGDKGTVRQVRESKCTSQAIYTEHFGKSIENDSDEVEERAENFPR Predict reactive species |
| Full Name | chromosome 14 open reading frame 39 |
| Calculated Molecular Weight | 587 aa, 68 kDa |
| Observed Molecular Weight | 70 kDa |
| GenBank Accession Number | BC125070 |
| Gene Symbol | C14orf39 |
| Gene ID (NCBI) | 317761 |
| Conjugate | Unconjugated |
| Form | Liquid |
| Purification Method | Antigen affinity purification |
| UNIPROT ID | Q8N1H7 |
| Storage Buffer | PBS with 0.02% sodium azide and 50% glycerol, pH 7.3. |
| Storage Conditions | Store at -20°C. Stable for one year after shipment. Aliquoting is unnecessary for -20oC storage. 20ul sizes contain 0.1% BSA. |
Background Information
SIX6OS1 (SIX6 Opposite Strand 1) is a nuclear protein that plays a core role in the process of meiosis. It is a key scaffold protein that constitutes the central element of the synaptonemal complex, directly interacting with proteins such as SYCE1 to ensure the proper pairing, synapsis, and genetic recombination of homologous chromosomes. Its function is crucial for the formation of stable chiasmata, which are the basis for genetic diversity and the accurate segregation of chromosomes. Mutations in the SIX6OS1 gene can disrupt this process, leading to errors in chromosome separation and are one of the important genetic factors causing primary ovarian insufficiency in humans and non-obstructive azoospermia in males, directly associated with reproductive disorders.
Protocols
| Product Specific Protocols | |
|---|---|
| WB protocol for SIX6OS1 antibody 30610-1-AP | Download protocol |
| Standard Protocols | |
|---|---|
| Click here to view our Standard Protocols |

