Tested Applications
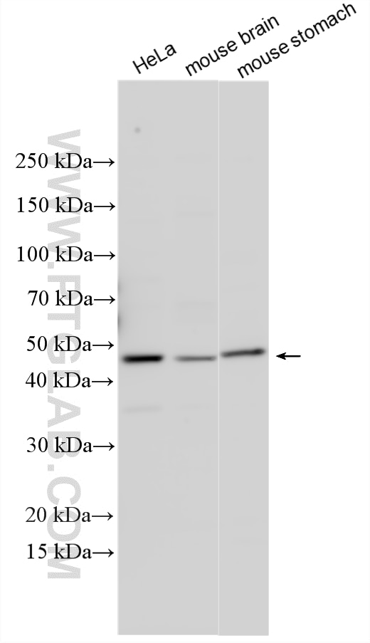
| Positive WB detected in | HeLa cells, PC-3 cells, DU 145 cells, mouse brain tissue, mouse stomach tissue |
| Positive IHC detected in | human prostate cancer tissue Note: suggested antigen retrieval with TE buffer pH 9.0; (*) Alternatively, antigen retrieval may be performed with citrate buffer pH 6.0 |
Recommended dilution
| Application | Dilution |
|---|---|
| Western Blot (WB) | WB : 1:1000-1:4000 |
| Immunohistochemistry (IHC) | IHC : 1:400-1:1600 |
| It is recommended that this reagent should be titrated in each testing system to obtain optimal results. | |
| Sample-dependent, Check data in validation data gallery. | |
Published Applications
| WB | See 1 publications below |
| IHC | See 2 publications below |
Product Information
28203-1-AP targets SPOCK1 in WB, IHC, ELISA applications and shows reactivity with human, mouse samples.
| Tested Reactivity | human, mouse |
| Cited Reactivity | human |
| Host / Isotype | Rabbit / IgG |
| Class | Polyclonal |
| Type | Antibody |
| Immunogen |
CatNo: Ag28213 Product name: Recombinant human SPOCK1 protein Source: e coli.-derived, PET28a Tag: 6*His Domain: 97-236 aa of BC030691 Sequence: CVTQDYQTALCVSRKHLLPRQKKGNVAQKHWVGPSNLVKCKPCPVAQSAMVCGSDGHSYTSKCKLEFHACSTGKSLATLCDGPCPCLPEPEPPKHKAERSACTDKELRNLASRLKDWFGALHEDANRVIKPTSSNTAQGR Predict reactive species |
| Full Name | sparc/osteonectin, cwcv and kazal-like domains proteoglycan (testican) 1 |
| Calculated Molecular Weight | 439 aa, 49 kDa |
| Observed Molecular Weight | 49 kDa |
| GenBank Accession Number | BC030691 |
| Gene Symbol | SPOCK1 |
| Gene ID (NCBI) | 6695 |
| RRID | AB_3086036 |
| Conjugate | Unconjugated |
| Form | Liquid |
| Purification Method | Antigen affinity purification |
| UNIPROT ID | Q08629 |
| Storage Buffer | PBS with 0.02% sodium azide and 50% glycerol, pH 7.3. |
| Storage Conditions | Store at -20°C. Stable for one year after shipment. Aliquoting is unnecessary for -20oC storage. 20ul sizes contain 0.1% BSA. |
Protocols
| Product Specific Protocols | |
|---|---|
| IHC protocol for SPOCK1 antibody 28203-1-AP | Download protocol |
| WB protocol for SPOCK1 antibody 28203-1-AP | Download protocol |
| Standard Protocols | |
|---|---|
| Click here to view our Standard Protocols |
Publications
| Species | Application | Title |
|---|---|---|
Heliyon Extrachromosomal circular DNA-related SPOCK1 contributes to development and enzalutamide resistance of prostate cancer by regulating epithelial mesenchymal transition | ||
Int Immunopharmacol Shared chemoresistance genes in ESCC and cervical Cancer: Insights from pharmacogenomics and Mendelian randomization |







