Tested Applications
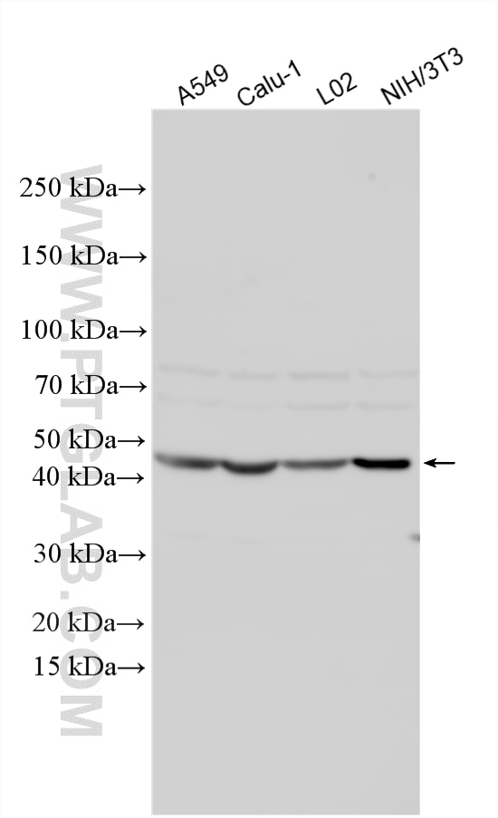
| Positive WB detected in | A549 cells, Calu-1 cells, K-562 cells, L02 cells, NIH/3T3 cells |
Recommended dilution
| Application | Dilution |
|---|---|
| Western Blot (WB) | WB : 1:1000-1:4000 |
| It is recommended that this reagent should be titrated in each testing system to obtain optimal results. | |
| Sample-dependent, Check data in validation data gallery. | |
Product Information
12194-1-AP targets SPSB1 in WB, ELISA applications and shows reactivity with human, mouse samples.
| Tested Reactivity | human, mouse |
| Host / Isotype | Rabbit / IgG |
| Class | Polyclonal |
| Type | Antibody |
| Immunogen |
CatNo: Ag2832 Product name: Recombinant human SPSB1 protein Source: e coli.-derived, PGEX-4T Tag: GST Domain: 1-273 aa of BC015711 Sequence: MGQKVTGGIKTVDMRDPTYRPLKQELQGLDYCKPTRLDLLLDMPPVSYDVQLLHSWNNNDRSLNVFVKEDDKLIFHRHPVAQSTDAIRGKVGYTRGLHVWQITWAMRQRGTHAVVGVATADAPLHSVGYTTLVGNNHESWGWDLGRNRLYHDGKNQPSKTYPAFLEPDETFIVPDSFLVALDMDDGTLSFIVDGQYMGVAFRGLKGKKLYPVVSAVWGHCEIRMRYLNGLDPEPLPLMDLCRRSVRLALGRERLGEIHTLPLPASLKAYLLYQ Predict reactive species |
| Full Name | splA/ryanodine receptor domain and SOCS box containing 1 |
| Calculated Molecular Weight | 273 aa, 31 kDa |
| Observed Molecular Weight | 40 kDa |
| GenBank Accession Number | BC015711 |
| Gene Symbol | SPSB1 |
| Gene ID (NCBI) | 80176 |
| RRID | AB_3741823 |
| Conjugate | Unconjugated |
| Form | Liquid |
| Purification Method | Antigen affinity purification |
| UNIPROT ID | Q96BD6 |
| Storage Buffer | PBS with 0.02% sodium azide and 50% glycerol, pH 7.3. |
| Storage Conditions | Store at -20°C. Stable for one year after shipment. Aliquoting is unnecessary for -20oC storage. 20ul sizes contain 0.1% BSA. |
Background Information
SPSB1, also known as Single-stranded DNA binding protein 1 (SSB1), is a member of the single-stranded DNA binding protein (SSB) family. It plays a pivotal role in the DNA damage response. As an early responder, SSB1 promptly associates with exposed single-strand DNA to shield it from degradation by various nucleases present in the cellular milieu.
Protocols
| Product Specific Protocols | |
|---|---|
| WB protocol for SPSB1 antibody 12194-1-AP | Download protocol |
| Standard Protocols | |
|---|---|
| Click here to view our Standard Protocols |





