Tested Applications
| Positive WB detected in | COLO 205 cells, HL-60 cells, HT-29 cells, LoVo cells, mouse heart tissue, rat heart tissue |
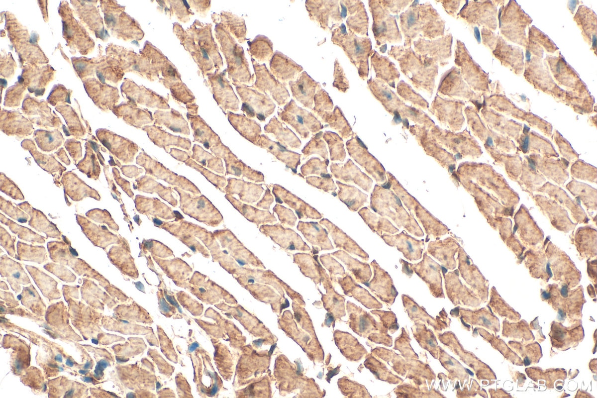
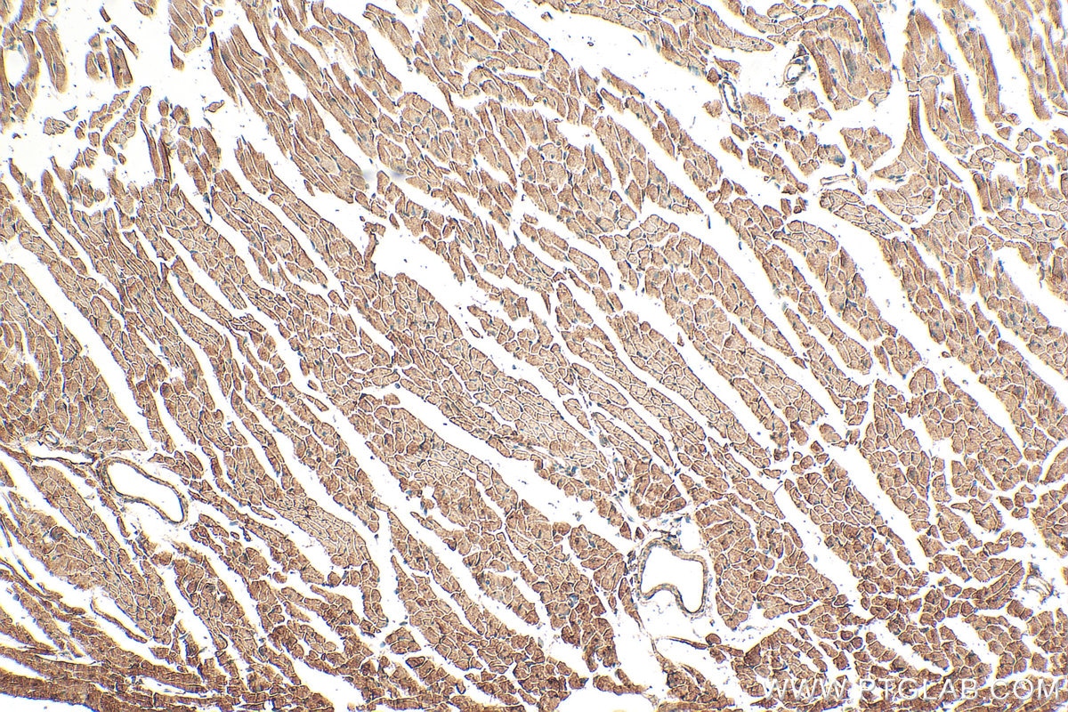
| Positive IHC detected in | mouse heart tissue Note: suggested antigen retrieval with TE buffer pH 9.0; (*) Alternatively, antigen retrieval may be performed with citrate buffer pH 6.0 |
Recommended dilution
| Application | Dilution |
|---|---|
| Western Blot (WB) | WB : 1:500-1:2000 |
| Immunohistochemistry (IHC) | IHC : 1:50-1:500 |
| It is recommended that this reagent should be titrated in each testing system to obtain optimal results. | |
| Sample-dependent, Check data in validation data gallery. | |
Published Applications
| WB | See 1 publications below |
Product Information
13620-1-AP targets ST3GAL2 in WB, IHC, ELISA applications and shows reactivity with human, mouse, rat samples.
| Tested Reactivity | human, mouse, rat |
| Cited Reactivity | human, mouse |
| Host / Isotype | Rabbit / IgG |
| Class | Polyclonal |
| Type | Antibody |
| Immunogen |
CatNo: Ag4528 Product name: Recombinant human ST3GAL2 protein Source: e coli.-derived, PGEX-4T Tag: GST Domain: 27-210 aa of BC036777 Sequence: SHHSMATLPYLDSGALDGTHRVKLVPGYAGLQRLSKERLSGKSCACRRCMGDAGASDWFDSHFDGNISPVWTRENMDLPPDVQRWWMMLQPQFKSHNTNEVLEKLFQIVPGENPYRFRDPHQCRRCAVVGNSGNLRGSGYGQDVDGHNFIMRMNQAPTVGFEQDVGSRTTHHFMYPESAKNLPA Predict reactive species |
| Full Name | ST3 beta-galactoside alpha-2,3-sialyltransferase 2 |
| Calculated Molecular Weight | 350 aa, 40 kDa |
| Observed Molecular Weight | 40-43 kDa |
| GenBank Accession Number | BC036777 |
| Gene Symbol | ST3GAL2 |
| Gene ID (NCBI) | 6483 |
| RRID | AB_2286561 |
| Conjugate | Unconjugated |
| Form | Liquid |
| Purification Method | Antigen affinity purification |
| UNIPROT ID | Q16842 |
| Storage Buffer | PBS with 0.02% sodium azide and 50% glycerol, pH 7.3. |
| Storage Conditions | Store at -20°C. Stable for one year after shipment. Aliquoting is unnecessary for -20oC storage. 20ul sizes contain 0.1% BSA. |
Background Information
Beta-galactoside alpha-2,3-sialyltransferase 2 (ST3GAL2) is a sialyltransferase (ST) that transfers sialic acid from the activated donor CMP-sialic acid to the glycan terminus of a glycolipid or glycoprotein. ST3GAL2 contains two putative N-glycosylation sites (Asn92 and Asn211), which are mainly responsible for GD1a and GT1b ganglioside biosynthesis in the brain. ST3GAL2 belongs to the sialyltransferase family, which mediates the terminal modification of glycoproteins and glycolipids. ST3GAL2 has been found to play a role in obesity, aging, and malignant diseases (PMID: 34319453). The calculated molecular weight of ST3GAL2 is 40 kDa.
Protocols
| Product Specific Protocols | |
|---|---|
| IHC protocol for ST3GAL2 antibody 13620-1-AP | Download protocol |
| WB protocol for ST3GAL2 antibody 13620-1-AP | Download protocol |
| Standard Protocols | |
|---|---|
| Click here to view our Standard Protocols |











