Tested Applications
| Positive WB detected in | HeLa cells, HepG2 cells, K-562 cells, mouse testis tissue, L02 cells |
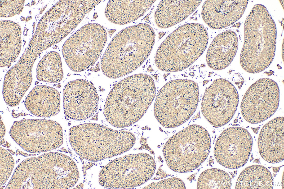
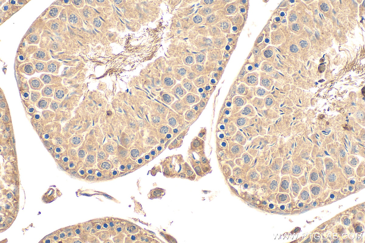
| Positive IHC detected in | mouse testis tissue Note: suggested antigen retrieval with TE buffer pH 9.0; (*) Alternatively, antigen retrieval may be performed with citrate buffer pH 6.0 |
Recommended dilution
| Application | Dilution |
|---|---|
| Western Blot (WB) | WB : 1:5000-1:50000 |
| Immunohistochemistry (IHC) | IHC : 1:50-1:500 |
| It is recommended that this reagent should be titrated in each testing system to obtain optimal results. | |
| Sample-dependent, Check data in validation data gallery. | |
Published Applications
| KD/KO | See 3 publications below |
| WB | See 11 publications below |
Product Information
15689-1-AP targets STARD7 in WB, IHC, ELISA applications and shows reactivity with human, mouse, rat samples.
| Tested Reactivity | human, mouse, rat |
| Cited Reactivity | human, mouse, pig |
| Host / Isotype | Rabbit / IgG |
| Class | Polyclonal |
| Type | Antibody |
| Immunogen |
CatNo: Ag8224 Product name: Recombinant human STARD7 protein Source: e coli.-derived, PGEX-4T Tag: GST Domain: 1-295 aa of BC008894 Sequence: MAALAGVFVWDEERIQEEELQRSINEMKRLEEMSNMFQSSGVQHHPPEPKAQTEGNEDSEGKEQRWEMVMDKKHFKLWRRPITGTHLYQYRVFGTYTDVTPRQFFNVQLDTEYRKKWDALVIKLEVIERDVVSGSEVLHWVTHFPYPMYSRDYVYVRRYSVDQENNMMVLVSRAVEHPSVPESPEFVRVRSYESQMVIRPHKSFDENGFDYLLTYSDNPQTVFPRYCVSWMVSSGMPDFLEKLHMATLKAKNMEIKVKDYISAKPLEMSSEAKATSQSSERKNEGSCGPARIEYA Predict reactive species |
| Full Name | StAR-related lipid transfer (START) domain containing 7 |
| Calculated Molecular Weight | 295 aa, 35 kDa |
| Observed Molecular Weight | 34 kDa |
| GenBank Accession Number | BC008894 |
| Gene Symbol | STARD7 |
| Gene ID (NCBI) | 56910 |
| RRID | AB_2197820 |
| Conjugate | Unconjugated |
| Form | Liquid |
| Purification Method | Antigen affinity purification |
| UNIPROT ID | Q9NQZ5 |
| Storage Buffer | PBS with 0.02% sodium azide and 50% glycerol, pH 7.3. |
| Storage Conditions | Store at -20°C. Stable for one year after shipment. Aliquoting is unnecessary for -20oC storage. 20ul sizes contain 0.1% BSA. |
Background Information
STARD7, also known as gestational trophoblastic tumor gene-1 (GTT1), is a lipid transfer protein that specifically binds and transports phosphatidylcholine (PC) between cellular membranes. It is a member of the START (Steroidogenic Acute Regulatory protein-related lipid transfer) domain-containing protein family, which is involved in intracellular lipid transport and metabolism. (PMID: 23507753)
Protocols
| Product Specific Protocols | |
|---|---|
| IHC protocol for STARD7 antibody 15689-1-AP | Download protocol |
| WB protocol for STARD7 antibody 15689-1-AP | Download protocol |
| Standard Protocols | |
|---|---|
| Click here to view our Standard Protocols |
Publications
| Species | Application | Title |
|---|---|---|
Nat Cell Biol PARL mediates Smac proteolytic maturation in mitochondria to promote apoptosis. | ||
Nat Commun Intronic ATTTC repeat expansions in STARD7 in familial adult myoclonic epilepsy linked to chromosome 2. | ||
EMBO J PARL partitions the lipid transfer protein STARD7 between the cytosol and mitochondria. | ||
EMBO Mol Med Loss of the mitochondrial i-AAA protease YME1L leads to ocular dysfunction and spinal axonopathy. | ||
J Lipid Res A search for ceramide binding proteins using bifunctional lipid analogs yields CERT-related protein StarD7.
| ||
Nat Commun Rewiring of 3D chromatin topology orchestrates transcriptional reprogramming in muscle fiber-type specification and transformation.
|
Reviews
The reviews below have been submitted by verified Proteintech customers who received an incentive for providing their feedback.
FH Elsa (Verified Customer) (05-06-2019) | The antibody works well, a band at the expected molecular weight is shown. No unspecificity.
|







