Tested Applications
| Positive WB detected in | mouse liver tissue |
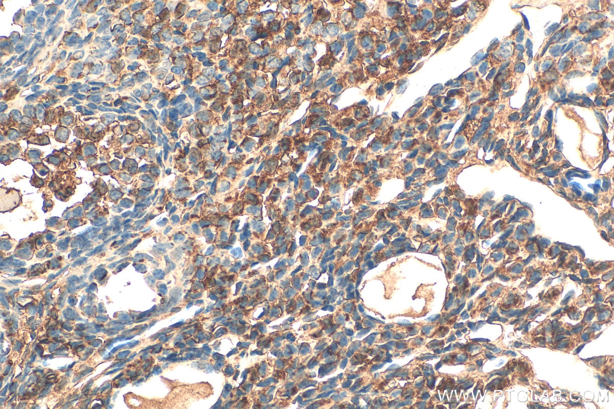
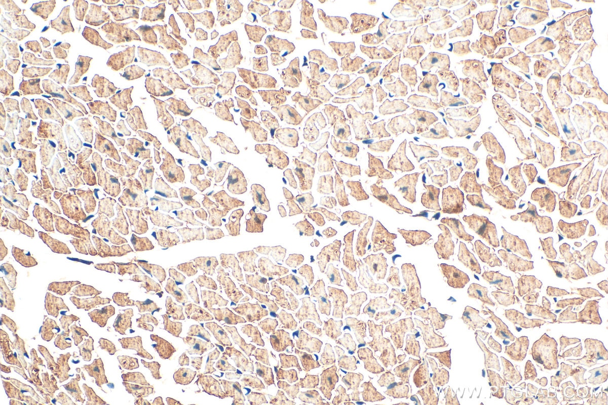
| Positive IHC detected in | mouse ovary tissue, human ovary tissue, mouse heart tissue Note: suggested antigen retrieval with TE buffer pH 9.0; (*) Alternatively, antigen retrieval may be performed with citrate buffer pH 6.0 |
Recommended dilution
| Application | Dilution |
|---|---|
| Western Blot (WB) | WB : 1:500-1:1000 |
| Immunohistochemistry (IHC) | IHC : 1:50-1:500 |
| It is recommended that this reagent should be titrated in each testing system to obtain optimal results. | |
| Sample-dependent, Check data in validation data gallery. | |
Published Applications
| KD/KO | See 1 publications below |
| WB | See 1 publications below |
| IHC | See 1 publications below |
| IF | See 1 publications below |
Product Information
12260-1-AP targets SULF2 in WB, IHC, IF, ELISA applications and shows reactivity with human, mouse, rat samples.
| Tested Reactivity | human, mouse, rat |
| Cited Reactivity | human, mouse |
| Host / Isotype | Rabbit / IgG |
| Class | Polyclonal |
| Type | Antibody |
| Immunogen |
CatNo: Ag2915 Product name: Recombinant human SULF2 protein Source: e coli.-derived, PGEX-4T Tag: GST Domain: 722-870 aa of BC020962 Sequence: MPGLTCFTHDNQHWQTAPFWTLGPFCACTSANNNTYWCMRTINETHNFLFCEFATGFLEYFDLNTDPYQLMNAVNTLDRDVLNQLHVQLMELRSCKGYKQCNPRTRNMDLGLKDGGSYEQYRQFQRRKWPEMKRPSSKSLGQLWEGWEG Predict reactive species |
| Full Name | sulfatase 2 |
| Calculated Molecular Weight | 870 aa, 96 kDa |
| Observed Molecular Weight | 50 kDa, 130-150 kDa |
| GenBank Accession Number | BC020962 |
| Gene Symbol | SULF2 |
| Gene ID (NCBI) | 55959 |
| RRID | AB_11183762 |
| Conjugate | Unconjugated |
| Form | Liquid |
| Purification Method | Antigen affinity purification |
| UNIPROT ID | Q8IWU5 |
| Storage Buffer | PBS with 0.02% sodium azide and 50% glycerol, pH 7.3. |
| Storage Conditions | Store at -20°C. Stable for one year after shipment. Aliquoting is unnecessary for -20oC storage. 20ul sizes contain 0.1% BSA. |
Background Information
SULF2, also named as KIAA1247, belongs to the sulfatase family. It exhibits arylsulfatase activity and highly specific endoglucosamine-6-sulfatase activity. SULF2 can remove sulfate from the C-6 position of glucosamine within specific subregions of intact heparin. SULF2 has several forms: the unglycosylated 100 kDa SULF2, the glycosylated 120-150 kDa SULF2, the cleaved 72-75 kDa and 50 kDa SULF2.
Protocols
| Product Specific Protocols | |
|---|---|
| IHC protocol for SULF2 antibody 12260-1-AP | Download protocol |
| WB protocol for SULF2 antibody 12260-1-AP | Download protocol |
| Standard Protocols | |
|---|---|
| Click here to view our Standard Protocols |
Publications
| Species | Application | Title |
|---|---|---|
Cancer Lett SULF2 enhances GDF15-SMAD axis to facilitate the initiation and progression of pancreatic cancer.
|













