Tested Applications
| Positive WB detected in | mouse thymus tissue |
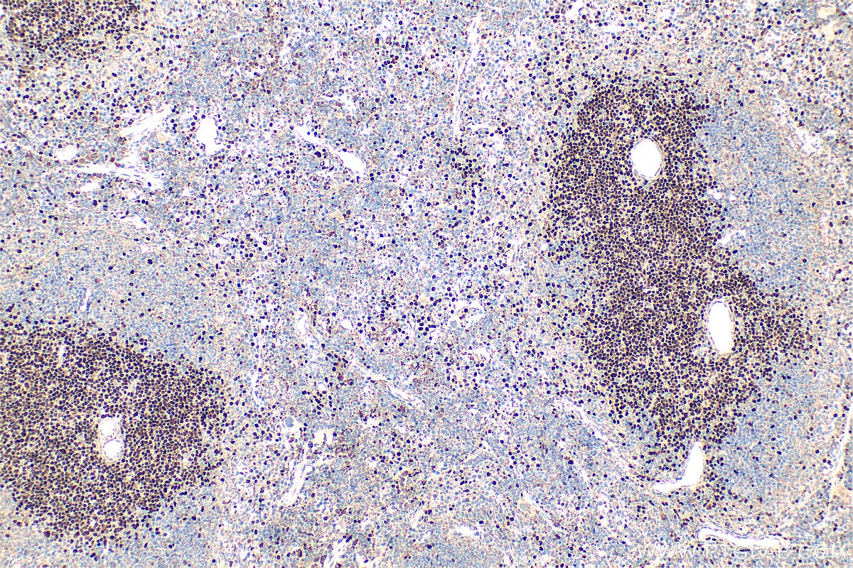
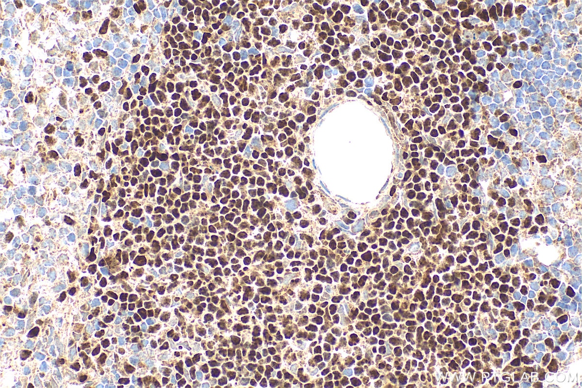
| Positive IHC detected in | mouse spleen tissue, human lymphoma tissue, human tonsillitis tissue Note: suggested antigen retrieval with TE buffer pH 9.0; (*) Alternatively, antigen retrieval may be performed with citrate buffer pH 6.0 |
| Positive IF-P detected in | mouse spleen tissue, human tonsillitis tissue |
Recommended dilution
| Application | Dilution |
|---|---|
| Western Blot (WB) | WB : 1:500-1:1000 |
| Immunohistochemistry (IHC) | IHC : 1:50-1:500 |
| Immunofluorescence (IF)-P | IF-P : 1:50-1:500 |
| It is recommended that this reagent should be titrated in each testing system to obtain optimal results. | |
| Sample-dependent, Check data in validation data gallery. | |
Published Applications
| KD/KO | See 2 publications below |
| WB | See 22 publications below |
| IHC | See 5 publications below |
| IF | See 1 publications below |
| IP | See 1 publications below |
Product Information
14464-1-AP targets TCF1/TCF7 in WB, IHC, IF-P, IP, ELISA applications and shows reactivity with human, mouse samples.
| Tested Reactivity | human, mouse |
| Cited Reactivity | human, mouse, bovine |
| Host / Isotype | Rabbit / IgG |
| Class | Polyclonal |
| Type | Antibody |
| Immunogen |
CatNo: Ag5792 Product name: Recombinant human TCF7 protein Source: e coli.-derived, PGEX-4T Tag: GST Domain: 1-384 aa of BC048769 Sequence: MPQLDSGGGGAGGGDDLGAPDELLAFQDEGEEQDDKSRDSAAGPERDLAELKSSLVNESEGAAGGAGIPGVPGAGAGARGEAEALGREHAAQRLFPDKLPEPLEDGLKAPECTSGMYKETVYSAFNLLMHYPPPSGAGQHPQPQPPLHKANQPPHGVPQLSLYEHFNSPHPTPAPADISQKQVHRPLQTPDLSGFYSLTSGSMGQLPHTVSWFTHPSLMLGSGVPGHPAAIPHPAIVPPSGKQELQPFDRNLKTQAESKAEKEAKKPTIKKPLNAFMLYMKEMRAKVIAECTLKESAAINQILGRRWHALSREEQAKYYELARKERQLHMQLYPGWSARDNYGKKKRRSREKHQESTTGGKRNAFGTYPEKAAAPAPFLPMTVL Predict reactive species |
| Full Name | transcription factor 7 (T-cell specific, HMG-box) |
| Calculated Molecular Weight | 42 kDa |
| Observed Molecular Weight | 43 kDa |
| GenBank Accession Number | BC048769 |
| Gene Symbol | TCF1/TCF7 |
| Gene ID (NCBI) | 6932 |
| ENSEMBL Gene ID | ENSG00000081059 |
| RRID | AB_2878061 |
| Conjugate | Unconjugated |
| Form | Liquid |
| Purification Method | Antigen affinity purification |
| UNIPROT ID | P36402 |
| Storage Buffer | PBS with 0.02% sodium azide and 50% glycerol, pH 7.3. |
| Storage Conditions | Store at -20°C. Stable for one year after shipment. Aliquoting is unnecessary for -20oC storage. 20ul sizes contain 0.1% BSA. |
Background Information
TCF7, also known as TCF1, belongs to the TCF/LEF family. TCF7 is part of the Wnt signaling pathway and plays an important role in the differentiation and self-renewal of memory T cells. It has been found that TCF7 is necessary to revive T cells in response to PD-1 blockade against viral infection or cancer. TCF7 is mainly expressed in T-cells and is also detected in proliferating intestinal epithelial cells and in the basal epithelial cells of mammary gland epithelium. TCF7 has 16 isoforms with the molecular mass of 28-54 kDa (PMID: 34044317).
Protocols
| Product Specific Protocols | |
|---|---|
| IF protocol for TCF1/TCF7 antibody 14464-1-AP | Download protocol |
| IHC protocol for TCF1/TCF7 antibody 14464-1-AP | Download protocol |
| WB protocol for TCF1/TCF7 antibody 14464-1-AP | Download protocol |
| Standard Protocols | |
|---|---|
| Click here to view our Standard Protocols |
Publications
| Species | Application | Title |
|---|---|---|
Cell Mol Immunol TRIM27 maintains gut homeostasis by promoting intestinal stem cell self-renewal | ||
Clin Cancer Res Single-Cell Analyses Reveal Mechanisms of Cancer Stem Cell Maintenance and Epithelial-Mesenchymal Transition in Recurrent Bladder Cancer.
| ||
Int J Biol Macromol Correlation between TCF7 and bladder cancer and feasibility of Erlotinib targeting in bladder cancer: Molecular mechanism and expression of TCF7 recombinant protein | ||
Clin Transl Med Long noncoding RNA LINC01606 protects colon cancer cells from ferroptotic cell death and promotes stemness by SCD1-Wnt/β-catenin-TFE3 feedback loop signalling. | ||
iScience Suppression of preadipocyte determination by SOX4 limits white adipocyte hyperplasia in obesity | ||
J Transl Med Forkhead Box S1 mediates epithelial-mesenchymal transition through the Wnt/β-catenin signaling pathway to regulate colorectal cancer progression. |



















