Tested Applications
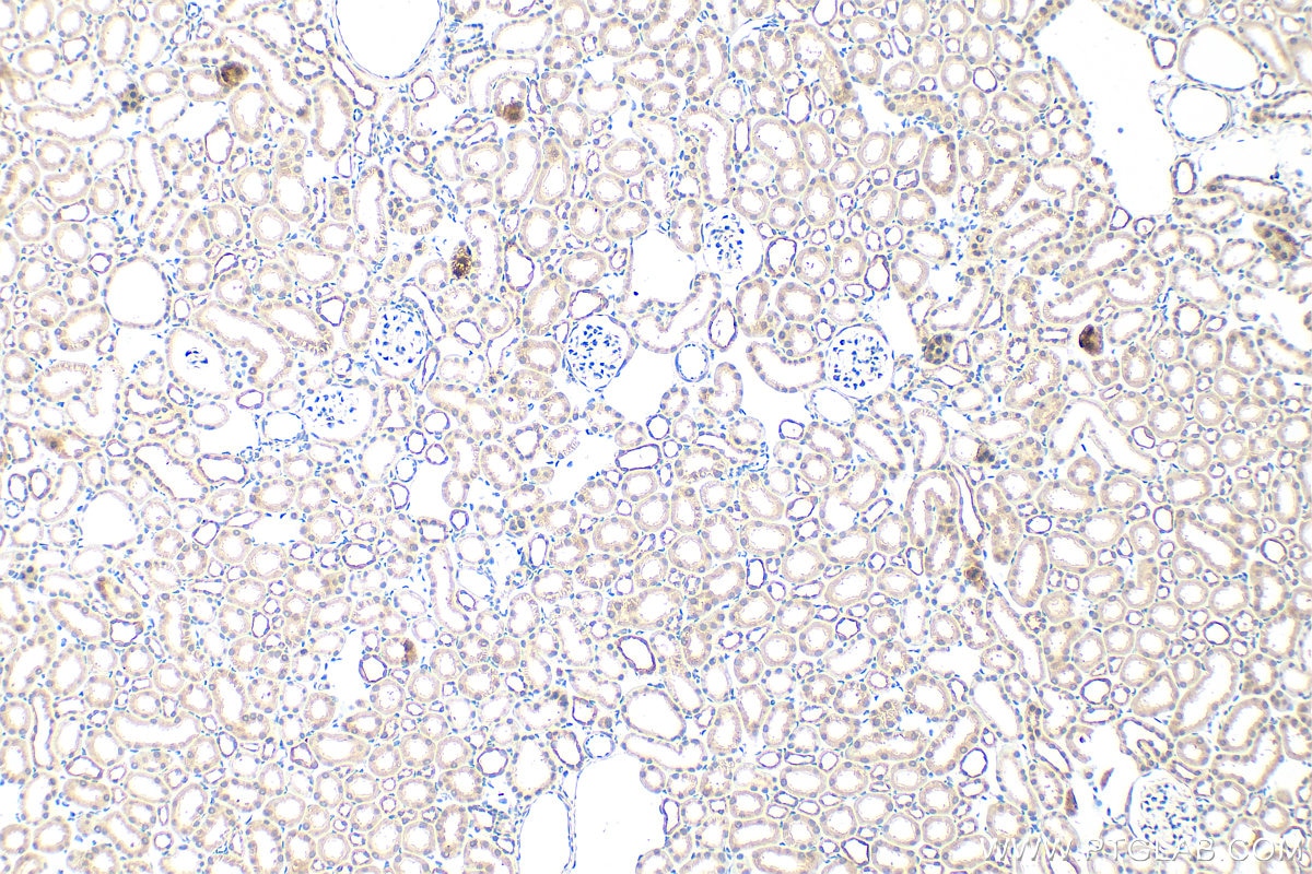
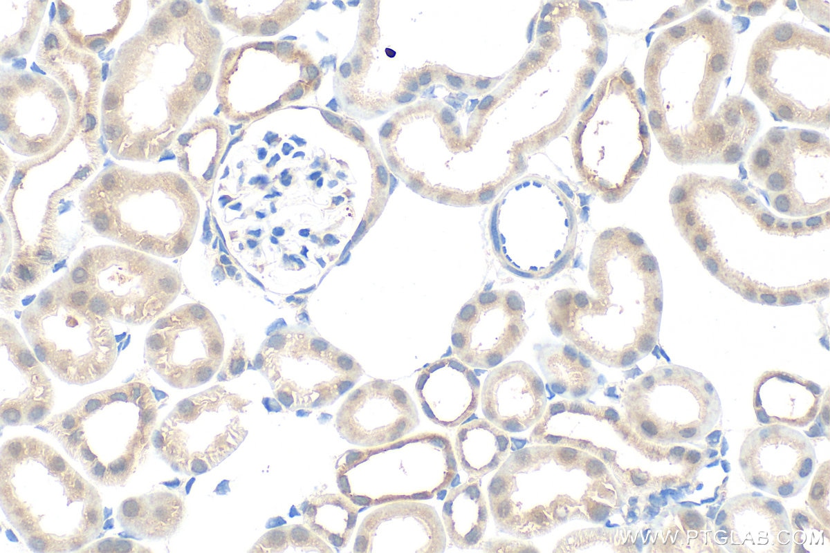
| Positive IHC detected in | mouse kidney tissue Note: suggested antigen retrieval with TE buffer pH 9.0; (*) Alternatively, antigen retrieval may be performed with citrate buffer pH 6.0 |
Recommended dilution
| Application | Dilution |
|---|---|
| Immunohistochemistry (IHC) | IHC : 1:50-1:500 |
| It is recommended that this reagent should be titrated in each testing system to obtain optimal results. | |
| Sample-dependent, Check data in validation data gallery. | |
Product Information
16893-1-AP targets TM9SF1 in IHC, ELISA applications and shows reactivity with human, mouse samples.
| Tested Reactivity | human, mouse |
| Host / Isotype | Rabbit / IgG |
| Class | Polyclonal |
| Type | Antibody |
| Immunogen |
CatNo: Ag10418 Product name: Recombinant human TM9SF1 protein Source: e coli.-derived, PGEX-4T Tag: GST Domain: 30-238 aa of BC010856 Sequence: VEGVTHYKAGDPVILYVNKVGPYHNPQETYHYYQLPVCCPEKIRHKSLSLGEVLDGDRMAESLYEIRFRENVEKRILCHMQLSSAQVEQLRQAIEELYYFEFVVDDLPIRGFVGYMEESGFLPHSHKIGLWTHLDFHLEFHGDRIIFANVSVRDVKPHSLDGLRPDEFLGLTHTYSVRWSETSVERRSDRRRGDDGGFFPRTLEIHWLS Predict reactive species |
| Full Name | transmembrane 9 superfamily member 1 |
| Calculated Molecular Weight | 606 aa, 69 kDa |
| GenBank Accession Number | BC010856 |
| Gene Symbol | TM9SF1 |
| Gene ID (NCBI) | 10548 |
| Conjugate | Unconjugated |
| Form | Liquid |
| Purification Method | Antigen affinity purification |
| UNIPROT ID | O15321 |
| Storage Buffer | PBS with 0.02% sodium azide and 50% glycerol, pH 7.3. |
| Storage Conditions | Store at -20°C. Stable for one year after shipment. Aliquoting is unnecessary for -20oC storage. 20ul sizes contain 0.1% BSA. |
Background Information
TM9SF1, also known as HMP70 and MP70, is a membrane protein that regulates cell autophagy (PMID: 19029833). TM9SF1 deficiency inhibits the maturation of antibody-secreting plasma cells through the activation of mTOR and inhibition of autophagy. TM9SF1 is associated with the activity of autoimmune diseases such as rheumatoid arthritis (RA) and systemic lupus erythematosus (SLE)(PMID: 39482663).
Protocols
| Product Specific Protocols | |
|---|---|
| IHC protocol for TM9SF1 antibody 16893-1-AP | Download protocol |
| Standard Protocols | |
|---|---|
| Click here to view our Standard Protocols |



