Tested Applications
| Positive WB detected in | HepG2 cells, PC-3 cells, SH-SY5Y cells, U2OS cells |
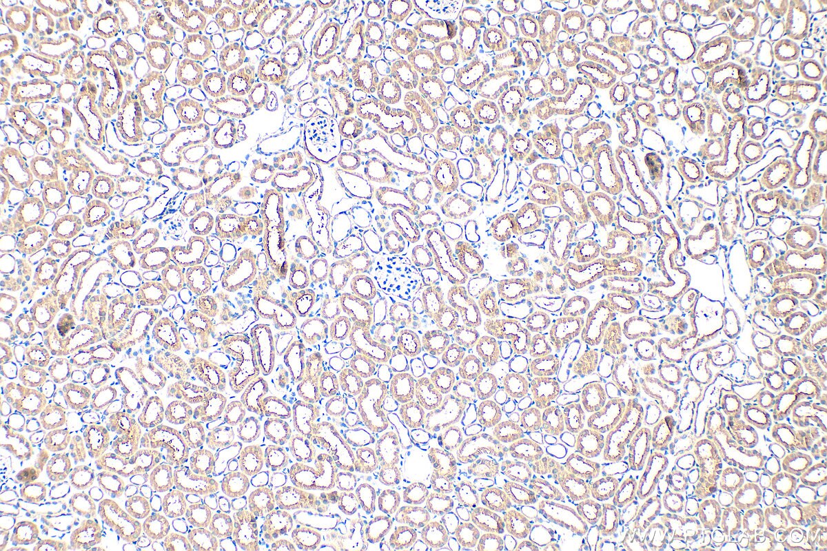
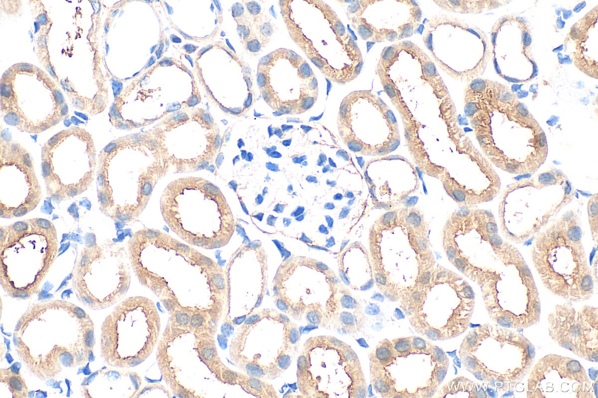
| Positive IHC detected in | mouse kidney tissue, mouse small intestine tissue Note: suggested antigen retrieval with TE buffer pH 9.0; (*) Alternatively, antigen retrieval may be performed with citrate buffer pH 6.0 |
Recommended dilution
| Application | Dilution |
|---|---|
| Western Blot (WB) | WB : 1:500-1:2000 |
| Immunohistochemistry (IHC) | IHC : 1:50-1:500 |
| It is recommended that this reagent should be titrated in each testing system to obtain optimal results. | |
| Sample-dependent, Check data in validation data gallery. | |
Product Information
31525-1-AP targets TMEM258 in WB, IHC, ELISA applications and shows reactivity with human samples.
| Tested Reactivity | human |
| Host / Isotype | Rabbit / IgG |
| Class | Polyclonal |
| Type | Antibody |
| Immunogen |
CatNo: Ag35142 Product name: Recombinant human TMEM258 protein Source: e coli.-derived, PGEX-4T Tag: GST Domain: 1-54 aa of BC015968 Sequence: MELEAMSRYTSPVNPAVFPHLTVVLLAIGMFFTAWFFVYEVTSTKYTRDIYKEL Predict reactive species |
| Full Name | chromosome 11 open reading frame 10 |
| Observed Molecular Weight | 10 and 16 kDa |
| GenBank Accession Number | BC015968 |
| Gene Symbol | C11orf10 |
| Gene ID (NCBI) | 746 |
| Conjugate | Unconjugated |
| Form | Liquid |
| Purification Method | Antigen affinity Purification |
| UNIPROT ID | P61165 |
| Storage Buffer | PBS with 0.02% sodium azide and 50% glycerol, pH 7.3. |
| Storage Conditions | Store at -20°C. Stable for one year after shipment. Aliquoting is unnecessary for -20oC storage. 20ul sizes contain 0.1% BSA. |
Background Information
TMEM258, or transmembrane protein 258, is a component of the oligosaccharyltransferase (OST) complex. Research has shown that TMEM258 is involved in controlling ER stress and intestinal inflammation. In particular, it has been identified as a central regulator of intestinal homeostasis. The loss of TMEM258 leads to unresolved ER stress, which can result in apoptosis (PMID: 27974209). The calculated MW is 9 kDa, The observed MW is multiple bands, which may be caused by Glycosylation modification.
Protocols
| Product Specific Protocols | |
|---|---|
| IHC protocol for TMEM258 antibody 31525-1-AP | Download protocol |
| WB protocol for TMEM258 antibody 31525-1-AP | Download protocol |
| Standard Protocols | |
|---|---|
| Click here to view our Standard Protocols |







