Tested Applications
| Positive WB detected in | MDA-MB-231 cells |
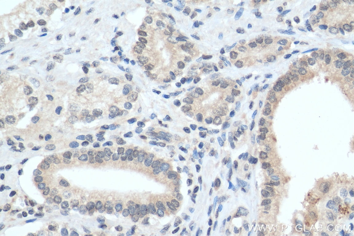
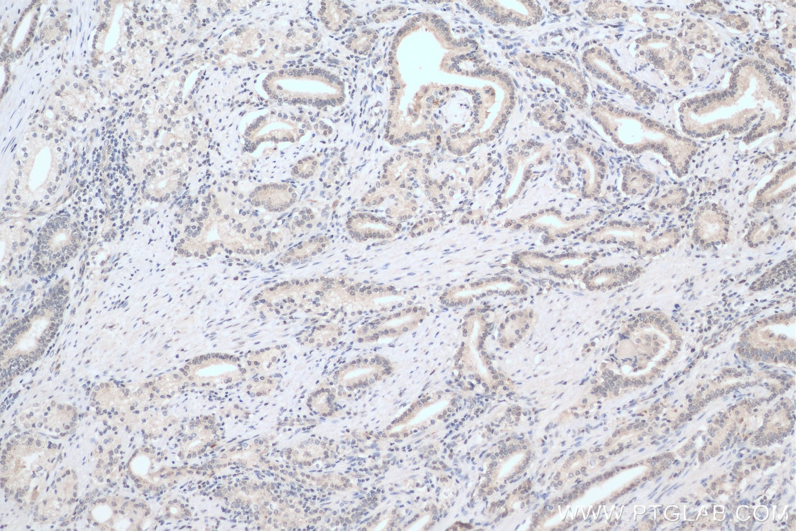
| Positive IHC detected in | human prostate cancer tissue Note: suggested antigen retrieval with TE buffer pH 9.0; (*) Alternatively, antigen retrieval may be performed with citrate buffer pH 6.0 |
Recommended dilution
| Application | Dilution |
|---|---|
| Western Blot (WB) | WB : 1:1000-1:8000 |
| Immunohistochemistry (IHC) | IHC : 1:50-1:500 |
| It is recommended that this reagent should be titrated in each testing system to obtain optimal results. | |
| Sample-dependent, Check data in validation data gallery. | |
Product Information
27899-1-AP targets TRIB1 in WB, IHC, ELISA applications and shows reactivity with human samples.
| Tested Reactivity | human |
| Host / Isotype | Rabbit / IgG |
| Class | Polyclonal |
| Type | Antibody |
| Immunogen |
CatNo: Ag27541 Product name: Recombinant human TRIB1 protein Source: e coli.-derived, PGEX-4T Tag: GST Domain: 1-150 aa of BC063292 Sequence: MRVGPVRSAMSGASQPRGPALLFPATRGVPAKRLLDADDAAAVAAKCPRLSECSSPPDYLSPPGSPCSPQPPPAAPGAGGGSGSAPGPSRIADYLLLPLAEREHVSRALCIHTGRELRCKVFPIKHYQDKIRPYIQLPSHSNITGIVEVI Predict reactive species |
| Full Name | tribbles homolog 1 (Drosophila) |
| Calculated Molecular Weight | 372 aa, 41 kDa |
| Observed Molecular Weight | 41 kDa |
| GenBank Accession Number | BC063292 |
| Gene Symbol | TRIB1 |
| Gene ID (NCBI) | 10221 |
| Conjugate | Unconjugated |
| Form | Liquid |
| Purification Method | Antigen affinity purification |
| UNIPROT ID | Q96RU8 |
| Storage Buffer | PBS with 0.02% sodium azide and 50% glycerol, pH 7.3. |
| Storage Conditions | Store at -20°C. Stable for one year after shipment. Aliquoting is unnecessary for -20oC storage. 20ul sizes contain 0.1% BSA. |
Background Information
TRIB1, a pseudokinase encoded by the tribbles homolog 1 gene, regulates hepatic lipogenesis and lipid metabolism by modulating C/EBPα degradation, thereby influencing plasma lipid profiles and atherosclerotic risk. It is expressed in macrophages and vascular smooth muscle cells, linking metabolic and inflammatory pathways in cardiometabolic disorders (PMID: 26517927, PMID: 40331689).
Protocols
| Product Specific Protocols | |
|---|---|
| IHC protocol for TRIB1 antibody 27899-1-AP | Download protocol |
| WB protocol for TRIB1 antibody 27899-1-AP | Download protocol |
| Standard Protocols | |
|---|---|
| Click here to view our Standard Protocols |





