Tested Applications
| Positive WB detected in | H9C2 cells, A431 cells, HEK-293 cells |
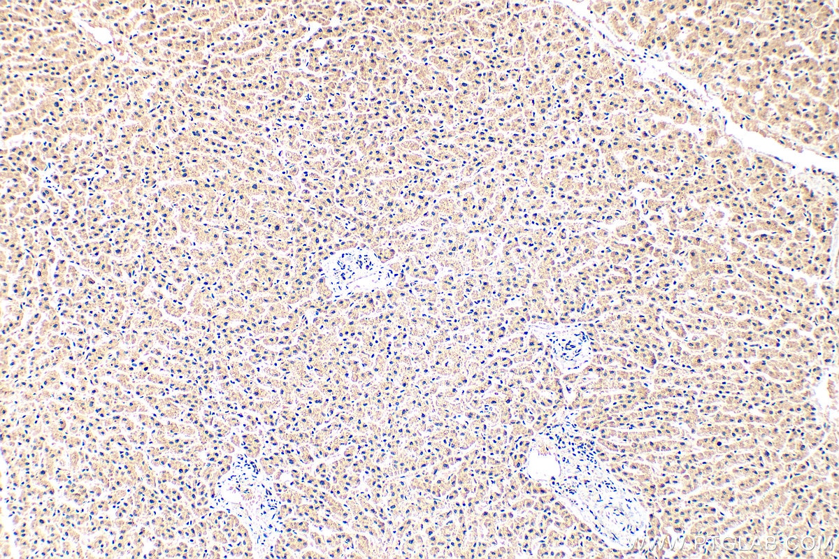
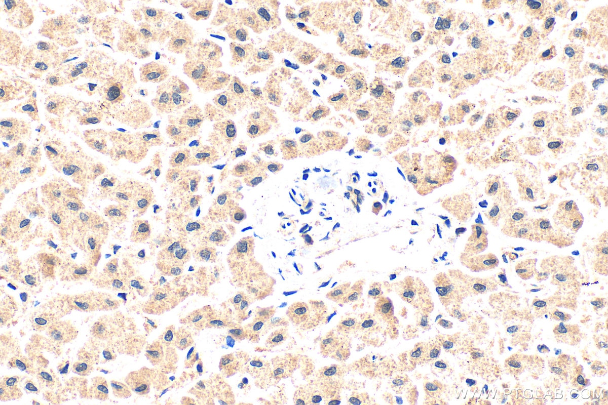
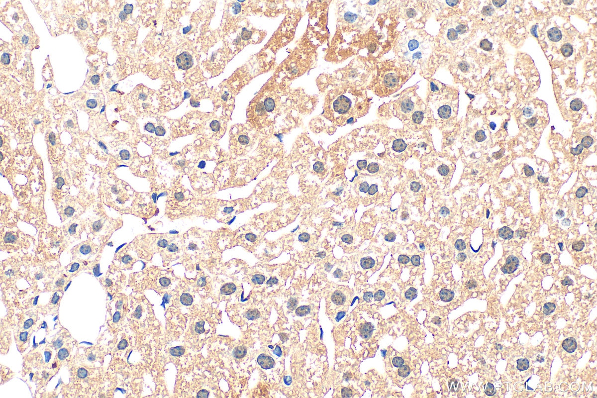
| Positive IHC detected in | human liver tissue, mouse liver tissue Note: suggested antigen retrieval with TE buffer pH 9.0; (*) Alternatively, antigen retrieval may be performed with citrate buffer pH 6.0 |
| Positive IF/ICC detected in | U2OS cells |
Recommended dilution
| Application | Dilution |
|---|---|
| Western Blot (WB) | WB : 1:500-1:2000 |
| Immunohistochemistry (IHC) | IHC : 1:50-1:500 |
| Immunofluorescence (IF)/ICC | IF/ICC : 1:200-1:800 |
| It is recommended that this reagent should be titrated in each testing system to obtain optimal results. | |
| Sample-dependent, Check data in validation data gallery. | |
Product Information
19806-1-AP targets TRIM35 in WB, IHC, IF/ICC, ELISA applications and shows reactivity with human, mouse, rat samples.
| Tested Reactivity | human, mouse, rat |
| Host / Isotype | Rabbit / IgG |
| Class | Polyclonal |
| Type | Antibody |
| Immunogen |
CatNo: Ag13584 Product name: Recombinant human TRIM35 protein Source: e coli.-derived, PGEX-4T Tag: GST Domain: 1-206 aa of BC018337 Sequence: MERSPDVSPGPSRSFKEELLCAVCYDPFRDAVTLRCGHNFCRGCVSRCWEVQVSPTCPVCKDRASPADLRTNHTLNNLVEKLLREEAEGARWTSYRFSRVCRLHRGQLSLFCLEDKELLCCSCQADPRHQGHRVQPVKDTAHDFRVRSLIAEERRNFLPTHQWIVTKTRLQTSSPNLQSRRQGQVQEHGACTAGEGQGLLGHAALL Predict reactive species |
| Full Name | tripartite motif-containing 35 |
| Calculated Molecular Weight | 57 kDa |
| Observed Molecular Weight | 45~50 kDa |
| GenBank Accession Number | BC018337 |
| Gene Symbol | TRIM35 |
| Gene ID (NCBI) | 23087 |
| Conjugate | Unconjugated |
| Form | Liquid |
| Purification Method | Antigen affinity purification |
| UNIPROT ID | Q9UPQ4 |
| Storage Buffer | PBS with 0.02% sodium azide and 50% glycerol, pH 7.3. |
| Storage Conditions | Store at -20°C. Stable for one year after shipment. Aliquoting is unnecessary for -20oC storage. 20ul sizes contain 0.1% BSA. |
Background Information
Tripartite motif 35 (TRIM35), also called hemopoietic lineage switch (Hls5), is a member of the RING finger, B box, coiled-coil (RBCC), or TRIM family E3 ligases expressed in a wide variety of hemopoietic cell types, including fetal liver progenitors. TRIM35 is reported to be a tumor suppressor gene and is expressed at low levels in several types of cancer (PMID: 34124276, 35081724). Western detected a band at 45-50 kDa possibly due to the high proline content.
Protocols
| Product Specific Protocols | |
|---|---|
| IF protocol for TRIM35 antibody 19806-1-AP | Download protocol |
| IHC protocol for TRIM35 antibody 19806-1-AP | Download protocol |
| WB protocol for TRIM35 antibody 19806-1-AP | Download protocol |
| Standard Protocols | |
|---|---|
| Click here to view our Standard Protocols |











