Tested Applications
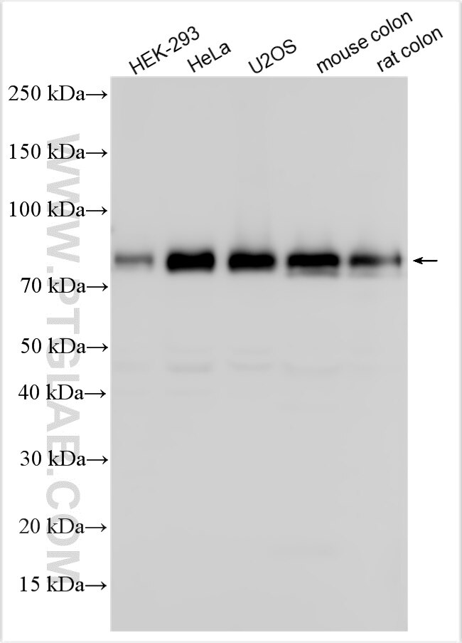
| Positive WB detected in | HEK-293 cells, HeLa cells, U2OS cells, mouse colon tissue, rat colon tissue |
| Positive IP detected in | U2OS cells |
| Positive IHC detected in | human colon cancer tissue, human kidney tissue, mouse colon tissue, rat kidney tissue Note: suggested antigen retrieval with TE buffer pH 9.0; (*) Alternatively, antigen retrieval may be performed with citrate buffer pH 6.0 |
Recommended dilution
| Application | Dilution |
|---|---|
| Western Blot (WB) | WB : 1:1000-1:6000 |
| Immunoprecipitation (IP) | IP : 0.5-4.0 ug for 1.0-3.0 mg of total protein lysate |
| Immunohistochemistry (IHC) | IHC : 1:200-1:800 |
| It is recommended that this reagent should be titrated in each testing system to obtain optimal results. | |
| Sample-dependent, Check data in validation data gallery. | |
Published Applications
| KD/KO | See 7 publications below |
| WB | See 14 publications below |
| IHC | See 9 publications below |
| IF | See 6 publications below |
| IP | See 4 publications below |
| CoIP | See 1 publications below |
Product Information
26885-1-AP targets TRIM47 in WB, IHC, IF, IP, CoIP, ELISA applications and shows reactivity with human, mouse, rat samples.
| Tested Reactivity | human, mouse, rat |
| Cited Reactivity | human, mouse, rat |
| Host / Isotype | Rabbit / IgG |
| Class | Polyclonal |
| Type | Antibody |
| Immunogen |
CatNo: Ag22868 Product name: Recombinant human TRIM47 protein Source: e coli.-derived, PGEX-4T Tag: GST Domain: 1-400 aa of BC017299 Sequence: MDELGAGIAQSRRTVALIKSAAVAERERVSRLFADAAAALQGFQTQVLGFIEEGEAAMLGRSQGDLRRQEEQRSRLSRARQNLSQVPEADSVSFLQELLALRLALEDGCGPGPGPPRELSFTKSSQAVRAVRDMLAVACVNQWEQLRGPGGNEDGPQKLDSEADAEPQDLESTNLLESEAPRDYFLKFAYIVDLDSDTADKFLQLFGTKGVKRVLCPINYPLSPTRFTHCEQVLGEGALDRGTYYWEVEIIEGWVSMGVMAEDFSPQEPYDRGRLGRNAHSCCLQWNGRSFSVWFHGLEAPLPHPFSPTVGVCLEYADRALAFYAVRDGKMSLLRRLKASRPRRGGIPASPIDPFQSRLDSHFAGLFTHRLKPAFFLESVDAHLQIGPLKKSCISVLKRR Predict reactive species |
| Full Name | tripartite motif-containing 47 |
| Calculated Molecular Weight | 638 aa, 70 kDa |
| Observed Molecular Weight | 70 kDa |
| GenBank Accession Number | BC017299 |
| Gene Symbol | TRIM47 |
| Gene ID (NCBI) | 91107 |
| RRID | AB_2880669 |
| Conjugate | Unconjugated |
| Form | Liquid |
| Purification Method | Antigen affinity purification |
| UNIPROT ID | Q96LD4 |
| Storage Buffer | PBS with 0.02% sodium azide and 50% glycerol, pH 7.3. |
| Storage Conditions | Store at -20°C. Stable for one year after shipment. Aliquoting is unnecessary for -20oC storage. 20ul sizes contain 0.1% BSA. |
Background Information
TRIM47/GOA is a member of the tripartite motif RBCC/Trim domain family that contains a RING-finger domain, B-boxes, and an alpha-helical coiled-coil region. TRIM47/GOA was identified as a protein overexpressed in astrocytoma tumor cells and is thought to play a role in dedifferentiation associated with tumorigenesis.
Protocols
| Product Specific Protocols | |
|---|---|
| IHC protocol for TRIM47 antibody 26885-1-AP | Download protocol |
| IP protocol for TRIM47 antibody 26885-1-AP | Download protocol |
| WB protocol for TRIM47 antibody 26885-1-AP | Download protocol |
| Standard Protocols | |
|---|---|
| Click here to view our Standard Protocols |
Publications
| Species | Application | Title |
|---|---|---|
Signal Transduct Target Ther TRIM47 is a novel endothelial activation factor that aggravates lipopolysaccharide-induced acute lung injury in mice via K63-linked ubiquitination of TRAF2.
| ||
Acta Pharm Sin B GRK2 activates TRAF2-NF-κB signalling to promote hyperproliferation of fibroblast-like synoviocytes in rheumatoid arthritis | ||
Comput Struct Biotechnol J Featured interactome of homocysteine-inducible endoplasmic reticulum protein uncovers novel binding partners in response to ER stress | ||
Cancer Sci TRIM47 promotes hypopharyngeal and laryngeal cancers progression through promoting K63-linked ubiquitination of vimentin
| ||
Toxicol Res (Camb) TRIM47 promotes trichloroethylene-induced immune kidney injury by degrading SIRT1 through ubiquitination |



















