Tested Applications
| Positive WB detected in | HEK-293 cells, MCF-7 cells, HeLa cells, HepG2 cells, mouse testis tissue |
| Positive IP detected in | mouse testis tissue |
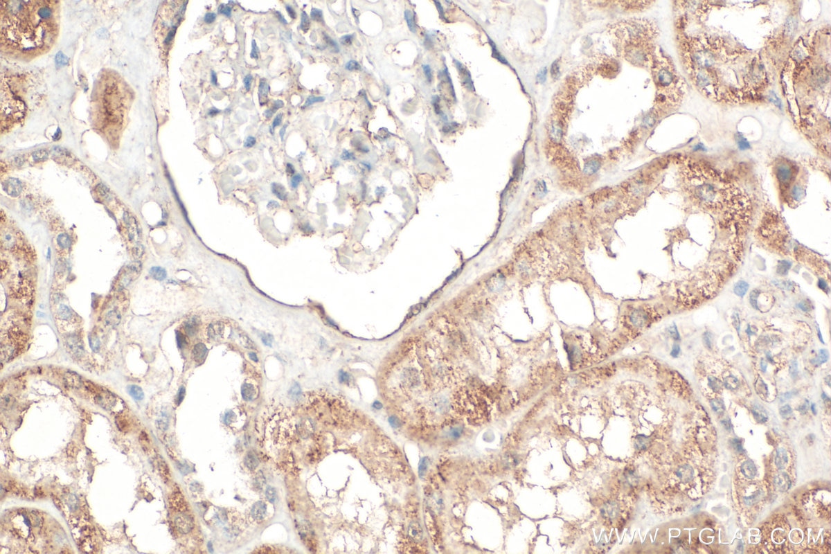
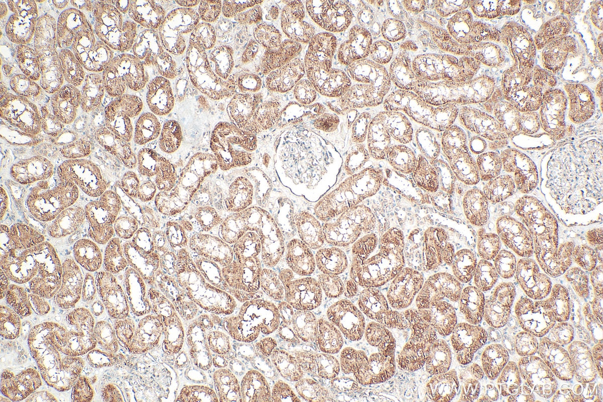
| Positive IHC detected in | human kidney tissue Note: suggested antigen retrieval with TE buffer pH 9.0; (*) Alternatively, antigen retrieval may be performed with citrate buffer pH 6.0 |
| Positive IF/ICC detected in | A549 cells |
Recommended dilution
| Application | Dilution |
|---|---|
| Western Blot (WB) | WB : 1:500-1:1000 |
| Immunoprecipitation (IP) | IP : 0.5-4.0 ug for 1.0-3.0 mg of total protein lysate |
| Immunohistochemistry (IHC) | IHC : 1:200-1:800 |
| Immunofluorescence (IF)/ICC | IF/ICC : 1:200-1:800 |
| It is recommended that this reagent should be titrated in each testing system to obtain optimal results. | |
| Sample-dependent, Check data in validation data gallery. | |
Published Applications
| KD/KO | See 1 publications below |
| WB | See 4 publications below |
Product Information
24594-1-AP targets TTC37 in WB, IHC, IF/ICC, IP, ELISA applications and shows reactivity with human, mouse samples.
| Tested Reactivity | human, mouse |
| Cited Reactivity | human, mouse |
| Host / Isotype | Rabbit / IgG |
| Class | Polyclonal |
| Type | Antibody |
| Immunogen |
CatNo: Ag18442 Product name: Recombinant human TTC37 protein Source: e coli.-derived, PET28a Tag: 6*His Domain: 1215-1564 aa of BC056893 Sequence: VVAGNVAHILDSNHGKKALLYTAVNQLAMGSSSAEDEKNTALKTIQKAALLSPGDPAIWAGLMAACHADDKLALVNNTQPKRIDLYLALLSAVSASIKDEKFFENYNQSLEKWSLSQAVTGLIDTGRISEAETLCTKNLKSNPDQPAVILLLRQVQCKPLLESQKPLPDAVLEELQKTVMSNSTSVPAWQWLAHVYQSQGMMRAAEMCYRKSLQLASQRGSWSGKLSSLLRLALLALKVCMANISNDHWPSLVQEATTEALKLCFCPLAVLLQALLQFKRKMGARETRRLLERVVYQPGYPKSIASTARWYLLRHLYAKDDYELIDVLVNNAKTHGDTRALELNQRLSSQ Predict reactive species |
| Full Name | tetratricopeptide repeat domain 37 |
| Calculated Molecular Weight | 1564 aa, 175 kDa |
| Observed Molecular Weight | 140-150 kDa |
| GenBank Accession Number | BC056893 |
| Gene Symbol | TTC37 |
| Gene ID (NCBI) | 9652 |
| RRID | AB_2879628 |
| Conjugate | Unconjugated |
| Form | Liquid |
| Purification Method | Antigen affinity purification |
| UNIPROT ID | Q6PGP7 |
| Storage Buffer | PBS with 0.02% sodium azide and 50% glycerol, pH 7.3. |
| Storage Conditions | Store at -20°C. Stable for one year after shipment. Aliquoting is unnecessary for -20oC storage. 20ul sizes contain 0.1% BSA. |
Background Information
TTC37 (tetratricopeptide repeat protein 37), also named as Thespin, encodes 1,564 amino acid protein that contains twenty tetratricopeptide (TPR) repeats. TPR repeat-containing motifs are found in a variety of proteins and may mediate protein-protein interactions and chaperone activity. Although not expressed in liver, TTC37 is a widely expressed protein with highest levels of expression in vascular tissues, lymph node, pituitary, lung and intestine. TTC37 is a component of the SKI complex which is thought to be involved in exosome-mediated RNA decay and associates with transcriptionally active genes in a manner dependent on PAF1 complex (PAF1C). Defects in TTC37 are associated with Trico-Hepato-Enteric (THE) syndrome.
Protocols
| Product Specific Protocols | |
|---|---|
| IF protocol for TTC37 antibody 24594-1-AP | Download protocol |
| IHC protocol for TTC37 antibody 24594-1-AP | Download protocol |
| IP protocol for TTC37 antibody 24594-1-AP | Download protocol |
| WB protocol for TTC37 antibody 24594-1-AP | Download protocol |
| Standard Protocols | |
|---|---|
| Click here to view our Standard Protocols |
Publications
| Species | Application | Title |
|---|---|---|
J Clin Invest Cytoplasmic RNA quality control failure engages mTORC1-mediated autoinflammatory disease. | ||
PLoS Genet A Comprehensive Genomic Analysis Reveals the Genetic Landscape of Mitochondrial Respiratory Chain Complex Deficiencies. | ||
Mol Cancer Ther Targeting the synthetic lethal relationship between FOCAD and TUT7 represents a potential therapeutic opportunity for TUT4/7 small molecule inhibitors in cancer | ||
EMBO J RNA helicase SKIV2L limits antiviral defense and autoinflammation elicited by the OAS-RNase L pathway
|















