Tested Applications
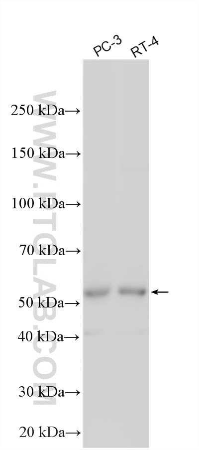
| Positive WB detected in | PC-3 cells, HeLa cells, mouse brain tissue, RT-4 cells |
| Positive IHC detected in | mouse testis tissue, human kidney tissue, human placenta tissue, human testis tissue, human skin tissue, human brain tissue, mouse brain tissue, human spleen tissue, human lung tissue, human ovary tissue Note: suggested antigen retrieval with TE buffer pH 9.0; (*) Alternatively, antigen retrieval may be performed with citrate buffer pH 6.0 |
| Positive IF/ICC detected in | HeLa cells |
Recommended dilution
| Application | Dilution |
|---|---|
| Western Blot (WB) | WB : 1:2000-1:12000 |
| Immunohistochemistry (IHC) | IHC : 1:50-1:500 |
| Immunofluorescence (IF)/ICC | IF/ICC : 1:200-1:800 |
| It is recommended that this reagent should be titrated in each testing system to obtain optimal results. | |
| Sample-dependent, Check data in validation data gallery. | |
Published Applications
| KD/KO | See 1 publications below |
| WB | See 3 publications below |
| IF | See 2 publications below |
Product Information
14706-1-AP targets UBXD1 in WB, IHC, IF/ICC, ELISA applications and shows reactivity with human, mouse, rat samples.
| Tested Reactivity | human, mouse, rat |
| Cited Reactivity | human |
| Host / Isotype | Rabbit / IgG |
| Class | Polyclonal |
| Type | Antibody |
| Immunogen |
CatNo: Ag6394 Product name: Recombinant human UBXN6 protein Source: e coli.-derived, PGEX-4T Tag: GST Domain: 49-388 aa of BC008288 Sequence: TNVVSEPREEGSAHLAVPGVYFTCPLTGATLRKDQRDACIKEAILLHFSTDPVAASIMKIYTFNKDQDRVKLGVDTIAKYLDNIHLHPEEEKYRKIKLQNKVFQERINCLEGTHEFFEAIGFQKVLLPAQDQEDPEEFYVLSETTLAQPQSLERHKEQLLAAEPVRAKLDRQRRVFQPSPLASQFELPGDFFNLTAEEIKREQRLRSEAVERLSVLRTKAMREKEEQRGLRKYNYTLLRVRLPDGCLLQGTFYARERLGAVYGFVREALQSDWLPFELLASGGQKLSEDENLALNECGLVPSALLTFSWDMAVLEDIKAAGAEPDSILKPELLSAIEKLL Predict reactive species |
| Full Name | UBX domain protein 6 |
| Calculated Molecular Weight | 50 kDa |
| Observed Molecular Weight | 50-53 kDa |
| GenBank Accession Number | BC008288 |
| Gene Symbol | UBXD1 |
| Gene ID (NCBI) | 80700 |
| RRID | AB_2210488 |
| Conjugate | Unconjugated |
| Form | Liquid |
| Purification Method | Antigen affinity purification |
| UNIPROT ID | Q9BZV1 |
| Storage Buffer | PBS with 0.02% sodium azide and 50% glycerol, pH 7.3. |
| Storage Conditions | Store at -20°C. Stable for one year after shipment. Aliquoting is unnecessary for -20oC storage. 20ul sizes contain 0.1% BSA. |
Protocols
| Product Specific Protocols | |
|---|---|
| IF protocol for UBXD1 antibody 14706-1-AP | Download protocol |
| IHC protocol for UBXD1 antibody 14706-1-AP | Download protocol |
| WB protocol for UBXD1 antibody 14706-1-AP | Download protocol |
| Standard Protocols | |
|---|---|
| Click here to view our Standard Protocols |
Publications
| Species | Application | Title |
|---|---|---|
Cell Chem Biol Site-Specific Photo-Crosslinking Proteomics Reveal Regulation of IFITM3 Trafficking and Turnover by VCP/p97 ATPase.
| ||
Acta Neuropathol Commun Proximity proteomics of C9orf72 dipeptide repeat proteins identifies molecular chaperones as modifiers of poly-GA aggregation. | ||
Sci Rep Comprehensive analysis of endoplasmic reticulum stress related signature in head and neck squamous carcinoma |
Reviews
The reviews below have been submitted by verified Proteintech customers who received an incentive for providing their feedback.
FH Tingting (Verified Customer) (01-16-2020) | Very clear bands
|

















































