Tested Applications
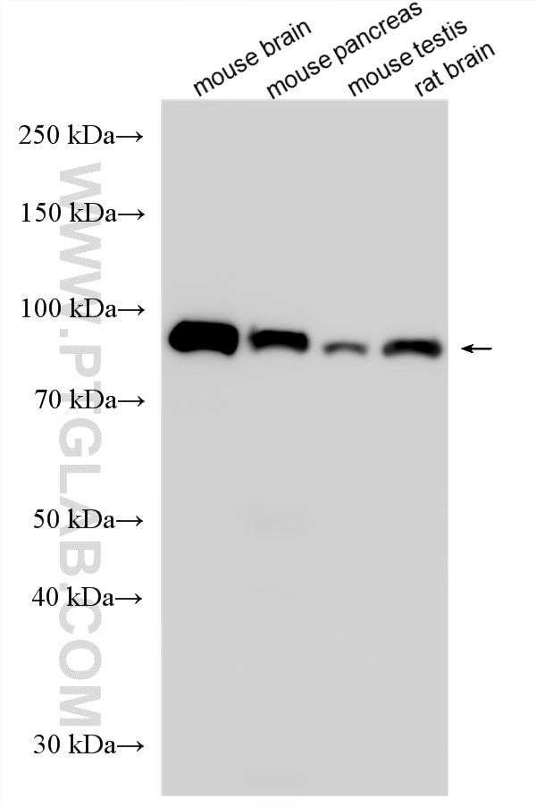
| Positive WB detected in | mouse brain tissue, human brain tissue, mouse pancreas tissue, mouse testis tissue, rat brain tissue |
| Positive IP detected in | mouse brain tissue |
Recommended dilution
| Application | Dilution |
|---|---|
| Western Blot (WB) | WB : 1:500-1:2000 |
| Immunoprecipitation (IP) | IP : 0.5-4.0 ug for 1.0-3.0 mg of total protein lysate |
| It is recommended that this reagent should be titrated in each testing system to obtain optimal results. | |
| Sample-dependent, Check data in validation data gallery. | |
Published Applications
| KD/KO | See 1 publications below |
| WB | See 3 publications below |
Product Information
13327-1-AP targets VPS54 in WB, IP, ELISA applications and shows reactivity with human, mouse, rat samples.
| Tested Reactivity | human, mouse, rat |
| Cited Reactivity | human, mouse |
| Host / Isotype | Rabbit / IgG |
| Class | Polyclonal |
| Type | Antibody |
| Immunogen |
CatNo: Ag4123 Product name: Recombinant human VPS54 protein Source: e coli.-derived, PGEX-4T Tag: GST Domain: 746-965 aa of BC030275 Sequence: CVDNIPSVTTDMLTRLSDLLKYFNSRSCQLVLGAGALQVVGLKTITTKNLALSSRCLQLIVHYIPVIRAHFEARLPPKQYSMLRHFDHITKDYHDHIAEISAKLVAIMDSLFDKLLSKYEVKAPVPSACFRNICKQMTKMHEAIFDLLPEEQTQMLFLRINASYKLHLKKQLSHLNVINDGGPQNGLVTADVAFYTGNLQALKGLKDLDLNMAEIWEQKR Predict reactive species |
| Full Name | vacuolar protein sorting 54 homolog (S. cerevisiae) |
| Calculated Molecular Weight | 977 aa, 111 kDa |
| Observed Molecular Weight | 90-93kDa, 111 kDa |
| GenBank Accession Number | BC030275 |
| Gene Symbol | VPS54 |
| Gene ID (NCBI) | 51542 |
| RRID | AB_2304414 |
| Conjugate | Unconjugated |
| Form | Liquid |
| Purification Method | Antigen affinity purification |
| UNIPROT ID | Q9P1Q0 |
| Storage Buffer | PBS with 0.02% sodium azide and 50% glycerol, pH 7.3. |
| Storage Conditions | Store at -20°C. Stable for one year after shipment. Aliquoting is unnecessary for -20oC storage. 20ul sizes contain 0.1% BSA. |
Background Information
VPS54 is a part of the Golgi-associated retrograde protein (GARP) complex protein required for tethering and fusion of endosome-derived transport vesicles to the trans-Golgi network. It may particpate in retrograde transport from early and late endosomes to the late Golgi. The GARP complex is required for the maintenance of the cycling of mannose 6-phosphate receptors between the TGN and endosomes, this cycling is necessary for proper lysosomal sorting of acid hydrolases such as CTSD.
Protocols
| Product Specific Protocols | |
|---|---|
| IP protocol for VPS54 antibody 13327-1-AP | Download protocol |
| WB protocol for VPS54 antibody 13327-1-AP | Download protocol |
| Standard Protocols | |
|---|---|
| Click here to view our Standard Protocols |
Publications
| Species | Application | Title |
|---|---|---|
Cell Rep The GARP Complex Is Involved in Intracellular Cholesterol Transport via Targeting NPC2 to Lysosomes. | ||
J Biol Chem TDP-43 and FUS RNA-binding proteins bind distinct sets of cytoplasmic messenger RNAs and differently regulate their post-transcriptional fate in motoneuron-like cells. | ||
Cancer Res Commun Repurposing Itraconazole and Hydroxychloroquine to Target Lysosomal Homeostasis in Epithelial Ovarian Cancer
|









