Tested Applications
| Positive WB detected in | mouse brain tissue, rat brain tissue |
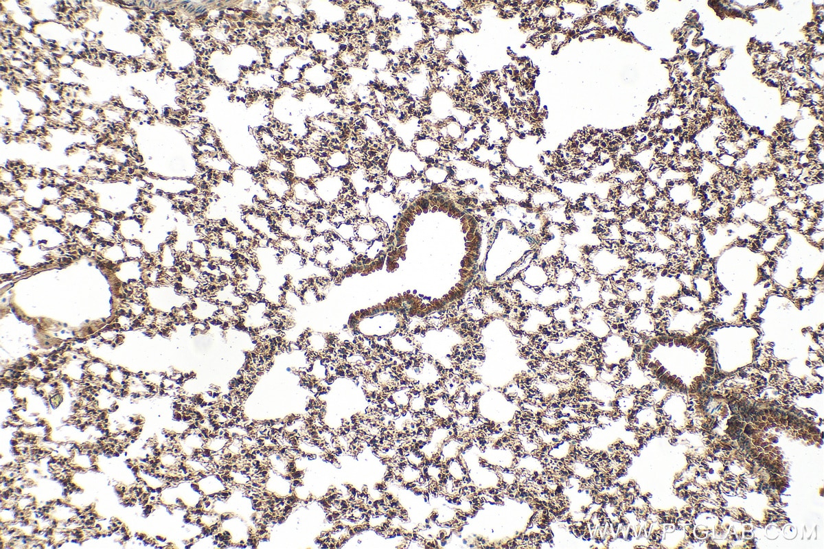
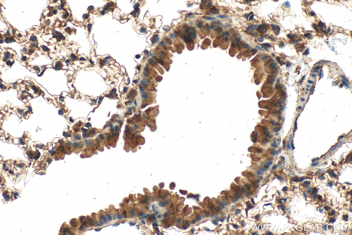
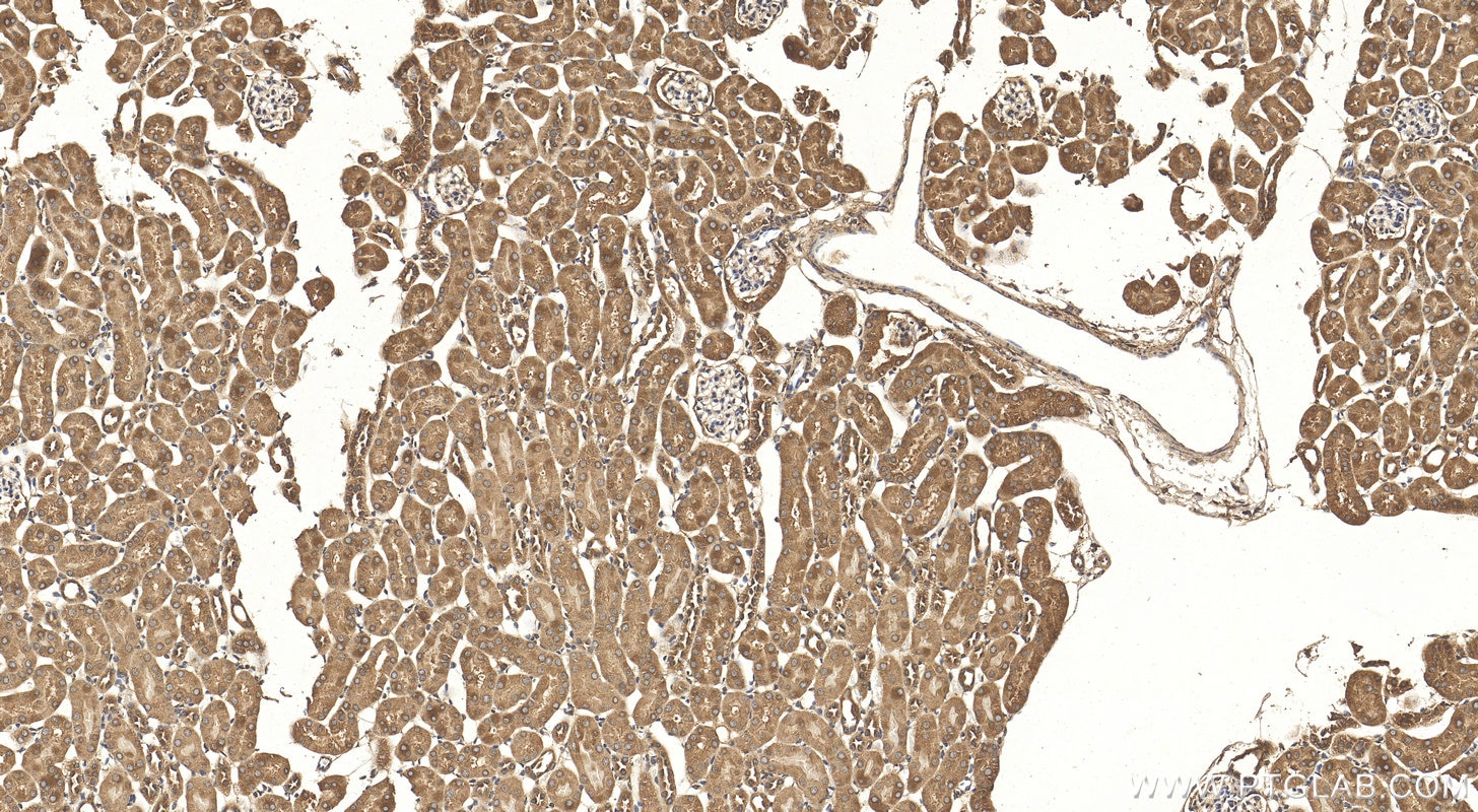
| Positive IHC detected in | mouse lung tissue, mouse kidney tissue Note: suggested antigen retrieval with TE buffer pH 9.0; (*) Alternatively, antigen retrieval may be performed with citrate buffer pH 6.0 |
Recommended dilution
| Application | Dilution |
|---|---|
| Western Blot (WB) | WB : 1:500-1:3000 |
| Immunohistochemistry (IHC) | IHC : 1:50-1:500 |
| It is recommended that this reagent should be titrated in each testing system to obtain optimal results. | |
| Sample-dependent, Check data in validation data gallery. | |
Published Applications
| WB | See 27 publications below |
| IHC | See 10 publications below |
| IF | See 3 publications below |
Product Information
26157-1-AP targets VEGFA in WB, IHC, IF, ELISA applications and shows reactivity with mouse, rat samples.
| Tested Reactivity | mouse, rat |
| Cited Reactivity | human, mouse, rat, monkey |
| Host / Isotype | Rabbit / IgG |
| Class | Polyclonal |
| Type | Antibody |
| Immunogen |
CatNo: Ag24084 Product name: Recombinant mouse Vegfa protein Source: e coli.-derived, PET28a Tag: 6*His Domain: 27-214 aa of NM_001287056 Sequence: APTTEGEQKSHEVIKFMDVYQRSYCRPIETLVDIFQEYPDEIEYIFKPSCVPLMRCAGCCNDEALECVPTSESNITMQIMRIKPHQSQHIGEMSFLQHSRCECRPKKDRTKPEKKSVRGKGKGQKRKRKKSRFKSWSVHCEPCSERRKHLFVQDPQTCKCSCKNTDSRCKARQLELNERTCRCDKPRR Predict reactive species |
| Full Name | vascular endothelial growth factor A |
| Observed Molecular Weight | 45 kDa |
| GenBank Accession Number | NM_001287056 |
| Gene Symbol | Vegfa |
| Gene ID (NCBI) | 22339 |
| RRID | AB_2880408 |
| Conjugate | Unconjugated |
| Form | Liquid |
| Purification Method | Antigen affinity purification |
| UNIPROT ID | Q00731 |
| Storage Buffer | PBS with 0.02% sodium azide and 50% glycerol, pH 7.3. |
| Storage Conditions | Store at -20°C. Stable for one year after shipment. Aliquoting is unnecessary for -20oC storage. 20ul sizes contain 0.1% BSA. |
Background Information
Vegfa is a member of the PDGF/VEGF growth factor family. It is a mitogen that specifically acts on endothelial cells and has various effects, including mediating increased vascular permeability, inducing angiogenesis, vasculogenesis, endothelial cell growth, promoting cell migration, and inhibiting apoptosis.It binds to the FLT1/VEGFR1 and KDR/VEGFR2 receptors, heparan sulfate and heparin. It may play a role in increasing vascular permeability during lactation, when increased transport of molecules from the blood is required for efficient milk protein synthesis.
Protocols
| Product Specific Protocols | |
|---|---|
| IHC protocol for VEGFA antibody 26157-1-AP | Download protocol |
| WB protocol for VEGFA antibody 26157-1-AP | Download protocol |
| Standard Protocols | |
|---|---|
| Click here to view our Standard Protocols |
Publications
| Species | Application | Title |
|---|---|---|
Carbohydr Polym Carboxymethyl chitosan and sodium alginate oxide pH-sensitive dual-release hydrogel for diabetes wound healing: The combination of astilbin liposomes and diclofenac sodium | ||
Respir Res The role of RNA m6A methylation in the regulation of postnatal hypoxia-induced pulmonary hypertension. | ||
Aging (Albany NY) Transplanting Rac1-silenced bone marrow mesenchymal stem cells promote neurological function recovery in TBI mice. | ||
Cell Biol Int Involvement of HIF1 stabilization and VEGF signaling modulated by Grx-1 in murine model of bronchopulmonary dysplasia | ||
Cancer Biol Ther RSK4 promotes the metastasis of clear cell renal cell carcinoma by activating RUNX1-mediated angiogenesis | ||
Neuroscience Electroacupuncture ameliorates cognitive impairment and white matter injury in vascular dementia rats via activating HIF-1α/VEGF/VEGFR2 pathway |











