Tested Applications
| Positive WB detected in | HepG2 cells, HeLa cells |
| Positive IP detected in | HeLa cells |
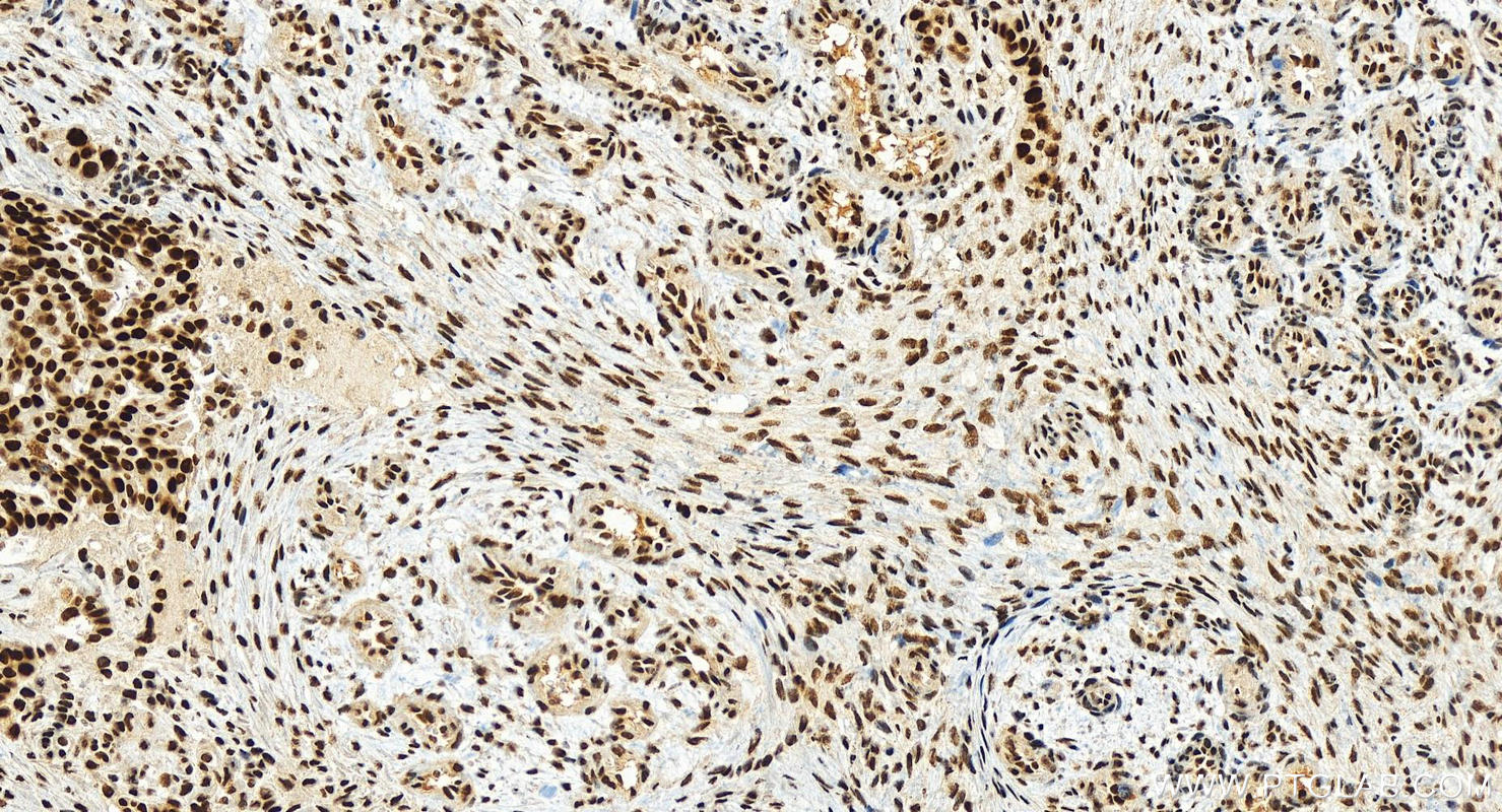
| Positive IHC detected in | human ovarian cancer Note: suggested antigen retrieval with TE buffer pH 9.0; (*) Alternatively, antigen retrieval may be performed with citrate buffer pH 6.0 |
Recommended dilution
| Application | Dilution |
|---|---|
| Western Blot (WB) | WB : 1:500-1:2000 |
| Immunoprecipitation (IP) | IP : 0.5-4.0 ug for 1.0-3.0 mg of total protein lysate |
| Immunohistochemistry (IHC) | IHC : 1:500-1:2000 |
| It is recommended that this reagent should be titrated in each testing system to obtain optimal results. | |
| Sample-dependent, Check data in validation data gallery. | |
Published Applications
| WB | See 1 publications below |
Product Information
22614-1-AP targets WDR33 in WB, IHC, IP, ELISA applications and shows reactivity with human samples.
| Tested Reactivity | human |
| Cited Reactivity | human |
| Host / Isotype | Rabbit / IgG |
| Class | Polyclonal |
| Type | Antibody |
| Immunogen |
CatNo: Ag18382 Product name: Recombinant human WDR33 protein Source: e coli.-derived, PGEX-4T Tag: GST Domain: 1-239 aa of BC010283 Sequence: GRREESFRRGAPPRHEGRAPPRGRDGFPGPEDFGPEENFDASEEAARGRDLRGRGRGTPRGGRKGLLPTPDEFPRFEGGRKPDSWDGNREPGPGHEHFRDTPRPDHPPHDGHSPASRERSSSLQGMDMASLPPRKRPWHDGPGTSEHREMEAPGGPSEDRGGKGRGGPGPAQRVPKSGRSSSLDGEHHDGYHRDEPFGGPPGSGTPSRGGRSGSNWGRGSNMNSGPPRRGASRGGGRGR Predict reactive species |
| Full Name | WD repeat domain 33 |
| Calculated Molecular Weight | 1336 aa, 146 kDa |
| Observed Molecular Weight | 170 kDa |
| GenBank Accession Number | BC010283 |
| Gene Symbol | WDR33 |
| Gene ID (NCBI) | 55339 |
| RRID | AB_2879135 |
| Conjugate | Unconjugated |
| Form | Liquid |
| Purification Method | Antigen Affinity purified |
| UNIPROT ID | Q9C0J8 |
| Storage Buffer | PBS with 0.02% sodium azide and 50% glycerol, pH 7.3. |
| Storage Conditions | Store at -20°C. Stable for one year after shipment. Aliquoting is unnecessary for -20oC storage. 20ul sizes contain 0.1% BSA. |
Background Information
WD repeat domain 33 (WDR33), also named WDC146, is a member of the WD repeat protein family. WD repeats are minimally conserved regions of approximately 40 amino acids typically bracketed by gly-his and trp-asp (GH-WD), which may facilitate formation of heterotrimeric or multiprotein complexes. Members of this family are involved in a variety of cellular processes, including cell cycle progression, signal transduction, apoptosis, and gene regulation. This gene is highly expressed in testis and the protein is localized to the nucleus. This gene may play important roles in the mechanisms of cytodifferentiation and/or DNA recombination.This gene encodes a member of the WD repeat protein family. WD repeats are minimally conserved regions of approximately 40 amino acids typically bracketed by gly-his and trp-asp (GH-WD), which may facilitate formation of heterotrimeric or multiprotein complexes. Members of this family are involved in a variety of cellular processes, including cell cycle progression, signal transduction, apoptosis, and gene regulation. This gene is highly expressed in testis and the protein is localized to the nucleus. This gene may play important roles in the mechanisms of cytodifferentiation and/or DNA recombination. Multiple alternatively spliced transcript variants encoding distinct isoforms have been found for this gene. This antibody recognizes the full length WDR33 protein.
Protocols
| Product Specific Protocols | |
|---|---|
| IHC protocol for WDR33 antibody 22614-1-AP | Download protocol |
| IP protocol for WDR33 antibody 22614-1-AP | Download protocol |
| WB protocol for WDR33 antibody 22614-1-AP | Download protocol |
| Standard Protocols | |
|---|---|
| Click here to view our Standard Protocols |
Publications
| Species | Application | Title |
|---|---|---|
Sci China Life Sci Mutual regulation between cell cycle and transcription termination factor TTF2 | ||
Front Med Polymorphism in the Hsa-miR-4274 seed region influences the expression of PEX5 and enhances radiotherapy resistance in colorectal cancer |







