Tested Applications
| Positive WB detected in | HepG2 cells, Jurkat cells, MG-63 cells |
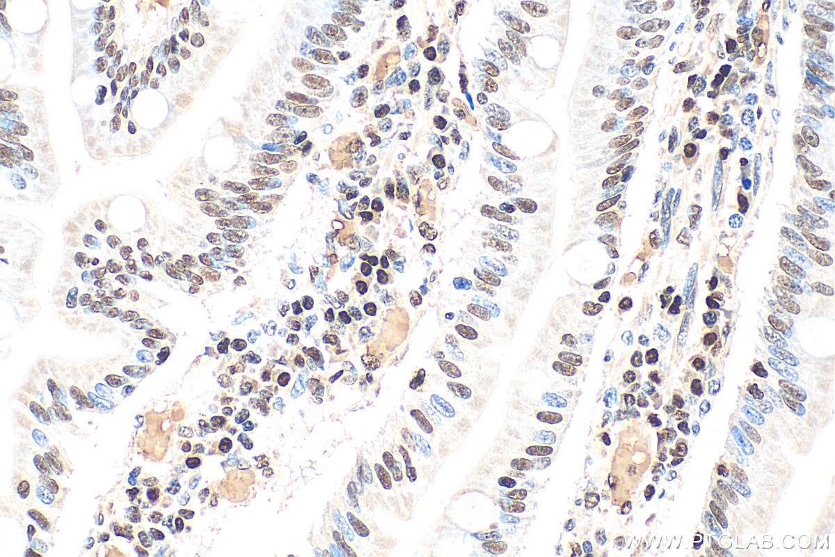
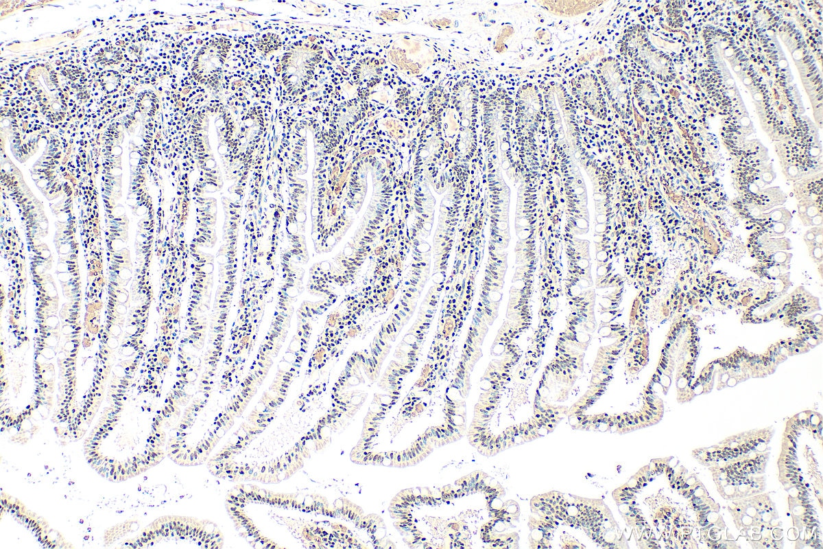
| Positive IHC detected in | human small intestine tissue Note: suggested antigen retrieval with TE buffer pH 9.0; (*) Alternatively, antigen retrieval may be performed with citrate buffer pH 6.0 |
Recommended dilution
| Application | Dilution |
|---|---|
| Western Blot (WB) | WB : 1:2000-1:10000 |
| Immunohistochemistry (IHC) | IHC : 1:300-1:1200 |
| It is recommended that this reagent should be titrated in each testing system to obtain optimal results. | |
| Sample-dependent, Check data in validation data gallery. | |
Product Information
20855-1-AP targets ZSCAN20 in WB, IHC, ELISA applications and shows reactivity with human samples.
| Tested Reactivity | human |
| Host / Isotype | Rabbit / IgG |
| Class | Polyclonal |
| Type | Antibody |
| Immunogen |
CatNo: Ag14798 Product name: Recombinant human ZSCAN20 protein Source: e coli.-derived, PGEX-4T Tag: GST Domain: 54-400 aa of BC008827 Sequence: EEAVALVEDWHRETRTAGQSGLELHTEETRPLKTGEEAQSFQLQPVDPWPEGQSQKKGVKNTCPDLPNHLNAEVAPQPLKESAVLTPRVPTLPKMGSVGDWEVTAESQEALGPGKHAEKELCKDPPGDDCGNSVCLGVPVSKPSNTSEKEQGPEFWGLSLINSGKRSTADYSLDNEPAQALTWRDSRAWEEQYQWDVEDMKVSGVHWGYEETKTFLAILSESPFSEKLRTCHQNRQVYRAIAEQLRARGFLRTLEQCRYRVKNLLRNYRKAKSSHPPGTCPFYEELEALVRARTAIRATDGPGEAVALPRLGDSDAEMDEQEEGGWDPEEMAEDCNGAGLVNVESTQ Predict reactive species |
| Full Name | zinc finger and SCAN domain containing 20 |
| Calculated Molecular Weight | 1043 aa, 118 kDa |
| Observed Molecular Weight | 100-110 kDa |
| GenBank Accession Number | BC008827 |
| Gene Symbol | ZSCAN20 |
| Gene ID (NCBI) | 7579 |
| RRID | AB_2878753 |
| Conjugate | Unconjugated |
| Form | Liquid |
| Purification Method | Antigen affinity purification |
| UNIPROT ID | P17040 |
| Storage Buffer | PBS with 0.02% sodium azide and 50% glycerol, pH 7.3. |
| Storage Conditions | Store at -20°C. Stable for one year after shipment. Aliquoting is unnecessary for -20oC storage. 20ul sizes contain 0.1% BSA. |
Protocols
| Product Specific Protocols | |
|---|---|
| IHC protocol for ZSCAN20 antibody 20855-1-AP | Download protocol |
| WB protocol for ZSCAN20 antibody 20855-1-AP | Download protocol |
| Standard Protocols | |
|---|---|
| Click here to view our Standard Protocols |





