Tested Applications
| Positive WB detected in | HeLa cells, HEK-293 cells, HepG2 cells, HL-60 cells, Raji cells, mouse kidney tissue, rat kidney tissue |
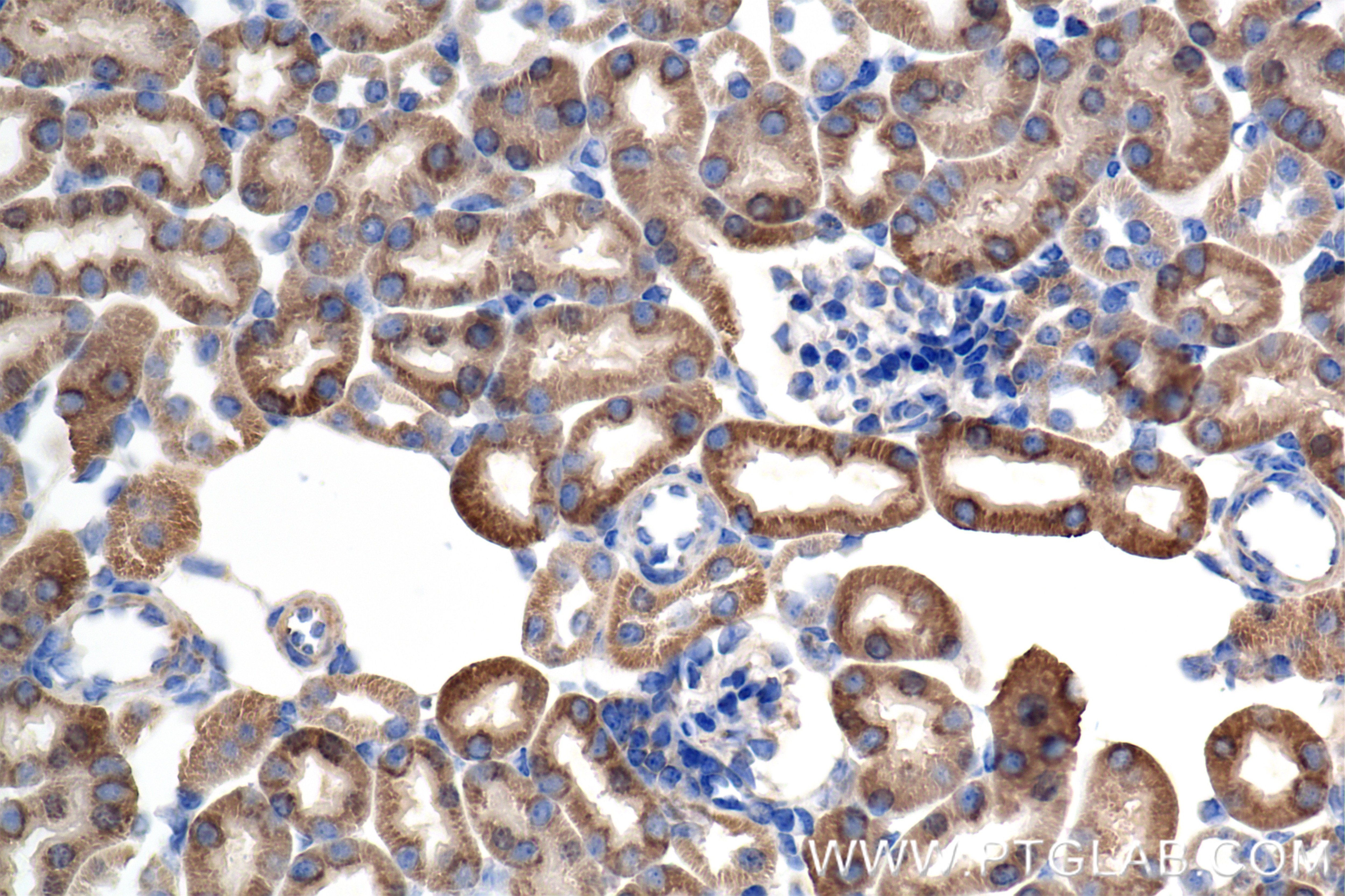
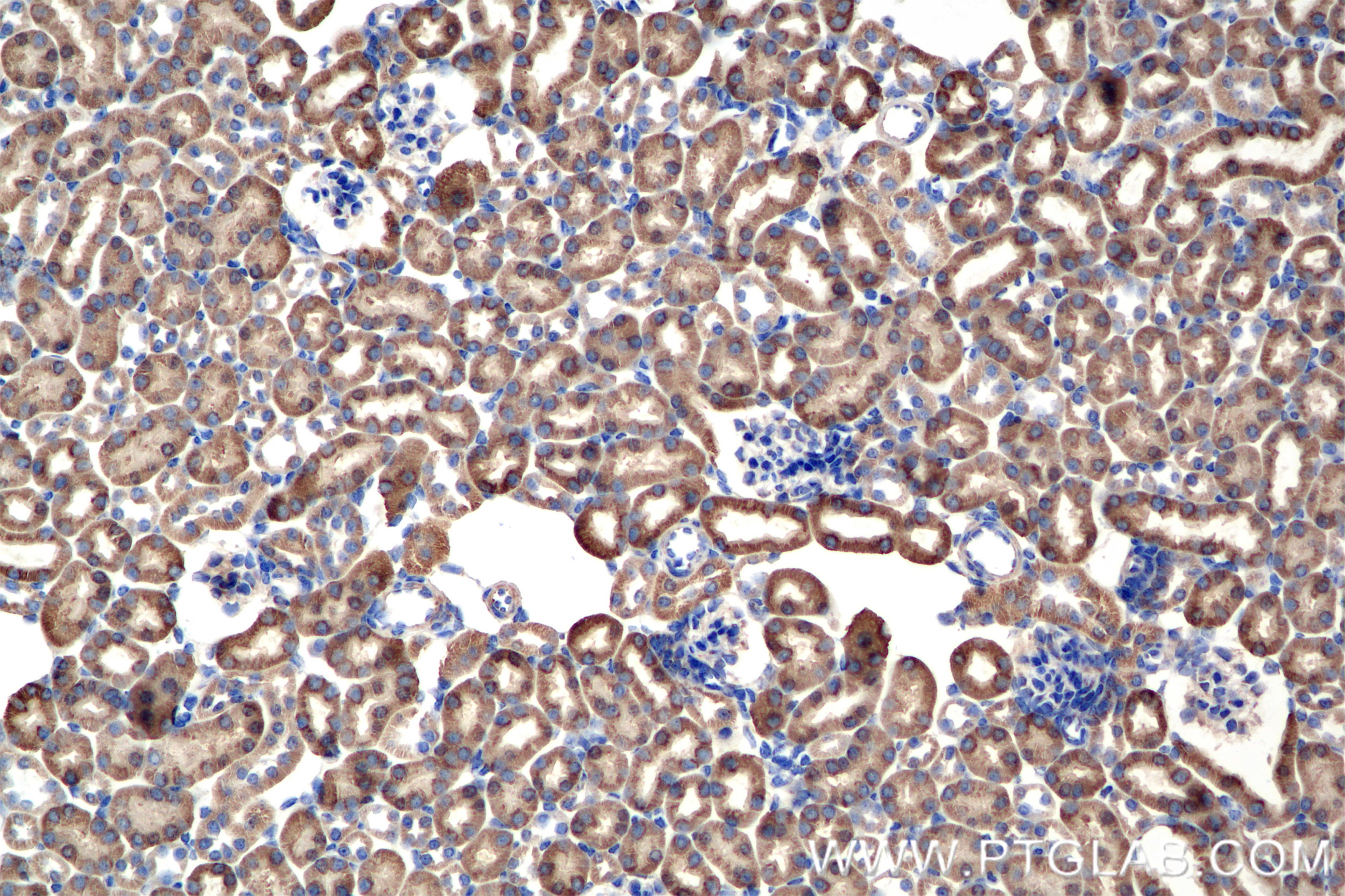
| Positive IHC detected in | mouse kidney tissue Note: suggested antigen retrieval with TE buffer pH 9.0; (*) Alternatively, antigen retrieval may be performed with citrate buffer pH 6.0 |
Recommended dilution
| Application | Dilution |
|---|---|
| Western Blot (WB) | WB : 1:5000-1:50000 |
| Immunohistochemistry (IHC) | IHC : 1:500-1:2000 |
| It is recommended that this reagent should be titrated in each testing system to obtain optimal results. | |
| Sample-dependent, Check data in validation data gallery. | |
Product Information
85406-3-RR targets AK2 in WB, IHC, ELISA applications and shows reactivity with human, mouse, rat samples.
| Tested Reactivity | human, mouse, rat |
| Host / Isotype | Rabbit / IgG |
| Class | Recombinant |
| Type | Antibody |
| Immunogen |
CatNo: Ag1464 Product name: Recombinant human AK2 protein Source: e coli.-derived, PGEX-4T Tag: GST Domain: 1-202 aa of BC009405 Sequence: MAPSVPAAEPEYPKGIRAVLLGPPGAGKGTQAPRLAENFCVCHLATGDMLRAMVASGSELGKKLKATMDAGKLVSDEMVVELIEKNLETPLCKNGFLLDGFPRTVRQAEMLDDLMEKRKEKLDSVIEFSIPDSLLIRRITGRLIHPKSGRSYHEEFNPPKEPMKDDITGEPLIRRSDDNEKALKIRLQAYHTQTTPLIEYYR Predict reactive species |
| Full Name | adenylate kinase 2 |
| Calculated Molecular Weight | 26 kDa |
| Observed Molecular Weight | 26 kDa |
| GenBank Accession Number | BC009405 |
| Gene Symbol | AK2 |
| Gene ID (NCBI) | 204 |
| RRID | AB_3744200 |
| Conjugate | Unconjugated |
| Form | Liquid |
| Purification Method | Protein A purification |
| UNIPROT ID | P54819 |
| Storage Buffer | PBS with 0.02% sodium azide and 50% glycerol, pH 7.3. |
| Storage Conditions | Store at -20°C. Stable for one year after shipment. Aliquoting is unnecessary for -20oC storage. 20ul sizes contain 0.1% BSA. |
Background Information
AK2(Adenylate kinase 2, mitochondrial ) is also named as ADK2 and belongs to the adenylate kinase family. It plays a unique role in energy metabolism and energy transfer by regulating the ATP/ADP rate between the cytoplasma matrix and the mitochondria and it is increased expression during adipocyte and B cell differentiation(PMID:23020757). AK2 catalyzes the reversible transfer of a phosphoryl group from ATP to AMP(PMID:19043417). Defects in AK2 are the cause of reticular dysgenesis (RDYS)(PMID:19043416). It has 6 isoforms produced by alternative splicing.
Protocols
| Product Specific Protocols | |
|---|---|
| IHC protocol for AK2 antibody 85406-3-RR | Download protocol |
| WB protocol for AK2 antibody 85406-3-RR | Download protocol |
| Standard Protocols | |
|---|---|
| Click here to view our Standard Protocols |







