Tested Applications
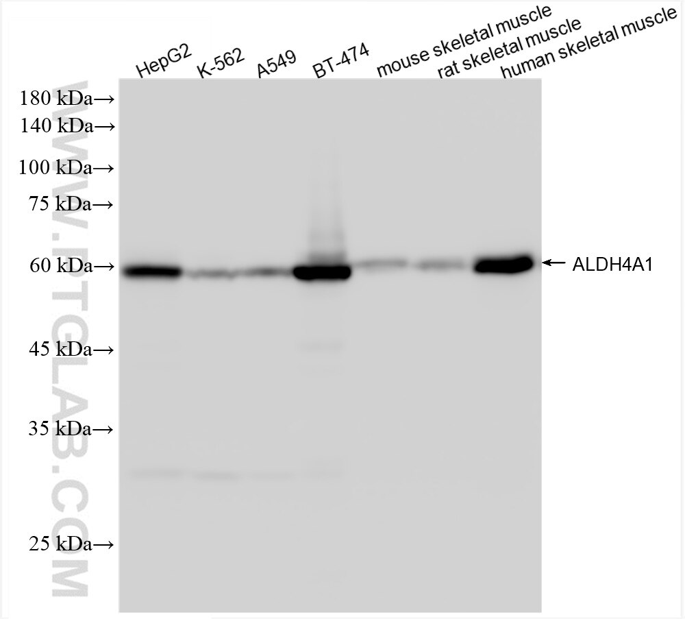
| Positive WB detected in | HepG2 cells, K-562 cells, A549 cells, BT-474 cells, mouse skeletal muscle tissue, rat skeletal muscle tissue, human skeletal muscle tissue |
Recommended dilution
| Application | Dilution |
|---|---|
| Western Blot (WB) | WB : 1:5000-1:50000 |
| It is recommended that this reagent should be titrated in each testing system to obtain optimal results. | |
| Sample-dependent, Check data in validation data gallery. | |
Product Information
86297-1-RR targets ALDH4A1 in WB, ELISA applications and shows reactivity with human, mouse, rat samples.
| Tested Reactivity | human, mouse, rat |
| Host / Isotype | Rabbit / IgG |
| Class | Recombinant |
| Type | Antibody |
| Immunogen |
CatNo: Ag2147 Product name: Recombinant human ALDH4A1 protein Source: e coli.-derived, PGEX-4T Tag: GST Domain: 246-563 aa of BC023600 Sequence: YRILREAGLPPNIIQFVPADGPLFGDTVTSSEHLCGINFTGSVPTFKHLWKQVAQNLDRFHTFPRLAGECGGKNFHFVHRSADVESVVSGTLRSAFEYGGQKCSACSRLYVPHSLWPQIKGRLLEEHSRIKVGDPAEDFGTFFSAVIDAKSFARIKKWLEHARSSPSLTILAGGKCDDSVGYFVEPCIVESKDPQEPIMKEEIFGPVLSVYVYPDDKYKETLQLVDSTTSYGLTGAVFSQDKDVVQEATKVLRNAAGNFYINDKSTGSIVGQQPFGGARASGTNDKPGGPHYILRWTSPQVIKETHKPLGDWSYAYMQ Predict reactive species |
| Full Name | aldehyde dehydrogenase 4 family, member A1 |
| Calculated Molecular Weight | 563 aa, 62 kDa |
| Observed Molecular Weight | 62 kDa |
| GenBank Accession Number | BC023600 |
| Gene Symbol | ALDH4A1 |
| Gene ID (NCBI) | 8659 |
| RRID | AB_3744790 |
| Conjugate | Unconjugated |
| Form | Liquid |
| Purification Method | Protein A purification |
| UNIPROT ID | P30038 |
| Storage Buffer | PBS with 0.02% sodium azide and 50% glycerol, pH 7.3. |
| Storage Conditions | Store at -20°C. Stable for one year after shipment. Aliquoting is unnecessary for -20oC storage. 20ul sizes contain 0.1% BSA. |
Background Information
ALDH4A1(Aldehyde dehydrogenase family 4 member A1) is also named as ALDH4, P5CDH,P5C dehydrogenase and belongs to the aldehyde dehydrogenase family. P5CDH is a mitochondrial matrix NAD(+)-dependent dehydrogenase which catalyzes the second step of the proline degradation pathway, converting pyrroline-5-carboxylate to glutamate. Defects in ALDH4A1 are the cause of hyperprolinemia type 2 (HP-2).
Protocols
| Product Specific Protocols | |
|---|---|
| WB protocol for ALDH4A1 antibody 86297-1-RR | Download protocol |
| Standard Protocols | |
|---|---|
| Click here to view our Standard Protocols |



