Tested Applications
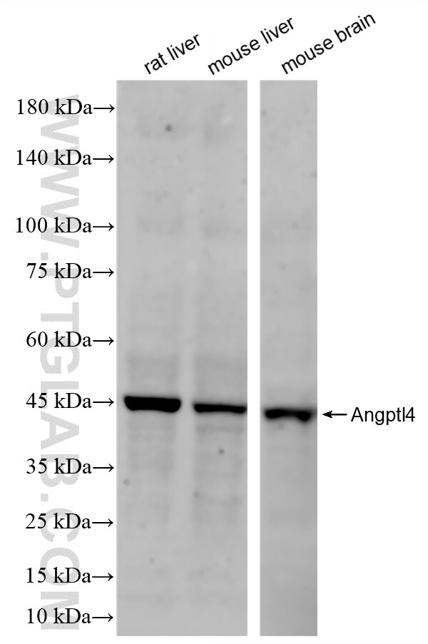
| Positive WB detected in | rat liver tissue, mouse liver tissue, mouse brain tissue |
Recommended dilution
| Application | Dilution |
|---|---|
| Western Blot (WB) | WB : 1:500-1:2000 |
| It is recommended that this reagent should be titrated in each testing system to obtain optimal results. | |
| Sample-dependent, Check data in validation data gallery. | |
Product Information
86006-4-RR targets ANGPTL4 in WB, ELISA applications and shows reactivity with mouse, rat samples.
| Tested Reactivity | mouse, rat |
| Host / Isotype | Rabbit / IgG |
| Class | Recombinant |
| Type | Antibody |
| Immunogen |
CatNo: Eg2770 Product name: Recombinant Mouse ANGPTL4 protein (rFc Tag) Source: mammalian cells-derived, V37 Tag: C-rFc Domain: 168-410 aa of NM_020581.2 Sequence: RLPKMTQLIGLTPNATHLHRPPRDCQELFQEGERHSGLFQIQPLGSPPFLVNCEMTSDGGWTVIQRRLNGSVDFNQSWEAYKDGFGDPQGEFWLGLEKMHSITGNRGSQLAVQLQDWDGNAKLLQFPIHLGGEDTAYSLQLTEPTANELGATNVSPNGLSLPFSTWDQDHDLRGDLNCAKSLSGGWWFGTCSHSNLNGQYFHSIPRQRQERKKGIFWKTWKGRYYPLQATTLLIQPMEATAAS Predict reactive species |
| Full Name | angiopoietin-like 4 |
| Calculated Molecular Weight | 46 kDa |
| Observed Molecular Weight | 45 kDa |
| GenBank Accession Number | NM_020581.2 |
| Gene Symbol | Angptl4 |
| Gene ID (NCBI) | 57875 |
| RRID | AB_3744543 |
| Conjugate | Unconjugated |
| Form | Liquid |
| Purification Method | Protein A purification |
| UNIPROT ID | Q9Z1P8 |
| Storage Buffer | PBS with 0.02% sodium azide and 50% glycerol, pH 7.3. |
| Storage Conditions | Store at -20°C. Stable for one year after shipment. Aliquoting is unnecessary for -20oC storage. 20ul sizes contain 0.1% BSA. |
Background Information
ANGPTL4 was first identified in adipose tissue and later found to be widely expressed in several tissues including the liver, skeletal muscle, small intestine, placenta, heart, and kidney. ANGPTL4 expression was first identified to be regulated by peroxisome proliferator-activator receptors (PPARs), PPARα and PPARγ.
Protocols
| Product Specific Protocols | |
|---|---|
| WB protocol for ANGPTL4 antibody 86006-4-RR | Download protocol |
| Standard Protocols | |
|---|---|
| Click here to view our Standard Protocols |

