Tested Applications
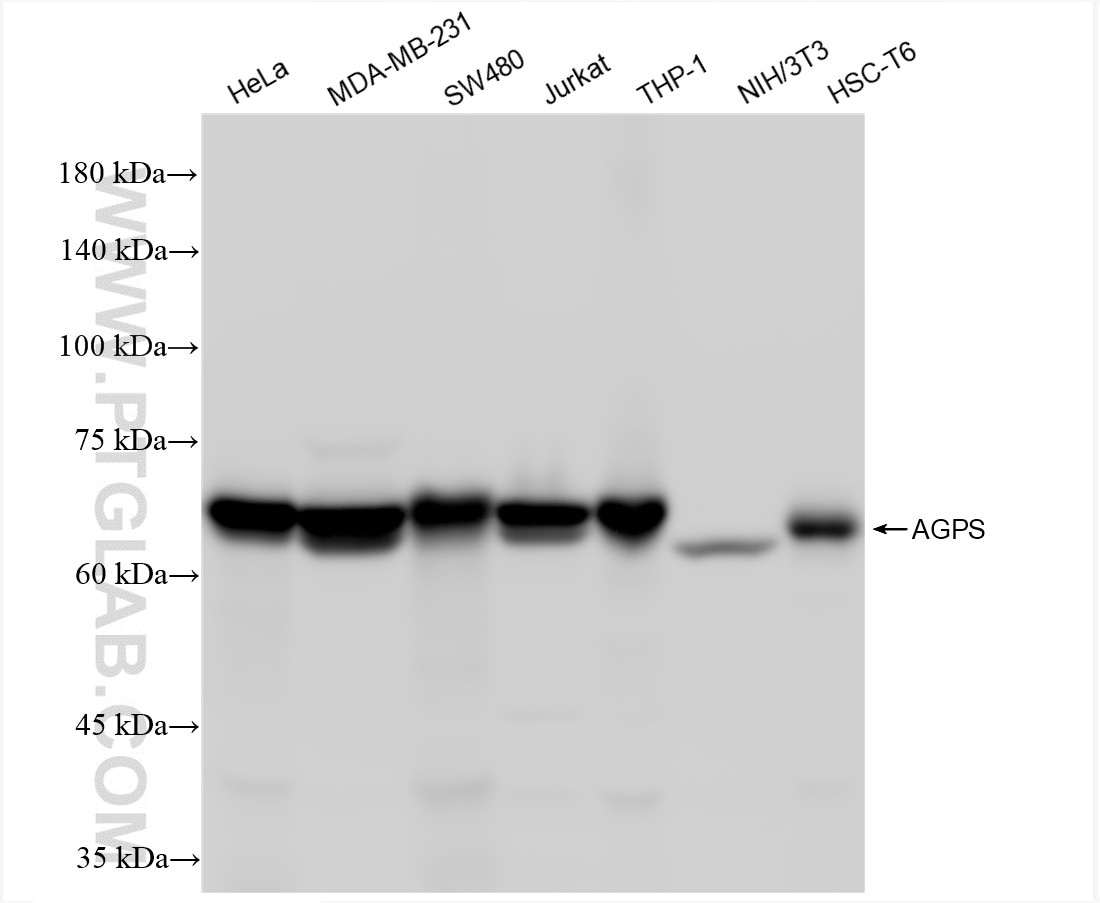
| Positive WB detected in | HeLa cells, MDA-MB-231 cells, SW480 cells, Jurkat cells, THP-1 cells, NIH/3T3 cells, HSC-T6 cells |
| Positive IHC detected in | human liver cancer tissue Note: suggested antigen retrieval with TE buffer pH 9.0; (*) Alternatively, antigen retrieval may be performed with citrate buffer pH 6.0 |
| Positive IF/ICC detected in | HeLa cells |
Recommended dilution
| Application | Dilution |
|---|---|
| Western Blot (WB) | WB : 1:5000-1:50000 |
| Immunohistochemistry (IHC) | IHC : 1:500-1:2000 |
| Immunofluorescence (IF)/ICC | IF/ICC : 1:200-1:800 |
| It is recommended that this reagent should be titrated in each testing system to obtain optimal results. | |
| Sample-dependent, Check data in validation data gallery. | |
Product Information
86472-3-RR targets Alkyl-DHAP synthase/AGPS in WB, IHC, IF/ICC, ELISA applications and shows reactivity with human, mouse, rat samples.
| Tested Reactivity | human, mouse, rat |
| Host / Isotype | Rabbit / IgG |
| Class | Recombinant |
| Type | Antibody |
| Immunogen |
CatNo: Ag15233 Product name: Recombinant human AGPS protein Source: e coli.-derived, PGEX-4T Tag: GST Domain: 309-658 aa of BC141820 Sequence: TVGGWVSTRASGMKKNIYGNIEDLVVHIKMVTPRGIIEKSCQGPRMSTGPDIHHFIMGSEGTLGVITEATIKIRPVPEYQKYGSVAFPNFEQGVACLREIAKQRCAPASIRLMDNKQFQFGHALKPQVSSIFTSFLDGLKKFYITKFKGFDPNQLSVATLLFEGDREKVLQHEKQVYDIAAKFGGLAAGEDNGQRGYLLTYVIAYIRDLALEYYVLGESFETSAPWDRVVDLCRNVKERITRECKEKGVQFAPFSTCRVTQTYDAGACIYFYFAFNYRGISDPLTVFEQTEAAAREEILANGGSLSHHHGVGKLRKQWLKESISDVGFGMLKSVKEYVDPNNIFGNRNLL Predict reactive species |
| Full Name | alkylglycerone phosphate synthase |
| Calculated Molecular Weight | 658 aa, 73 kDa |
| Observed Molecular Weight | 68-70 kDa |
| GenBank Accession Number | BC141820 |
| Gene Symbol | AGPS |
| Gene ID (NCBI) | 8540 |
| RRID | AB_3744908 |
| Conjugate | Unconjugated |
| Form | Liquid |
| Purification Method | Protein A purification |
| UNIPROT ID | O00116 |
| Storage Buffer | PBS with 0.02% sodium azide and 50% glycerol, pH 7.3. |
| Storage Conditions | Store at -20°C. Stable for one year after shipment. Aliquoting is unnecessary for -20oC storage. 20ul sizes contain 0.1% BSA. |
Protocols
| Product Specific Protocols | |
|---|---|
| IF protocol for Alkyl-DHAP synthase/AGPS antibody 86472-3-RR | Download protocol |
| IHC protocol for Alkyl-DHAP synthase/AGPS antibody 86472-3-RR | Download protocol |
| WB protocol for Alkyl-DHAP synthase/AGPS antibody 86472-3-RR | Download protocol |
| Standard Protocols | |
|---|---|
| Click here to view our Standard Protocols |







