Tested Applications
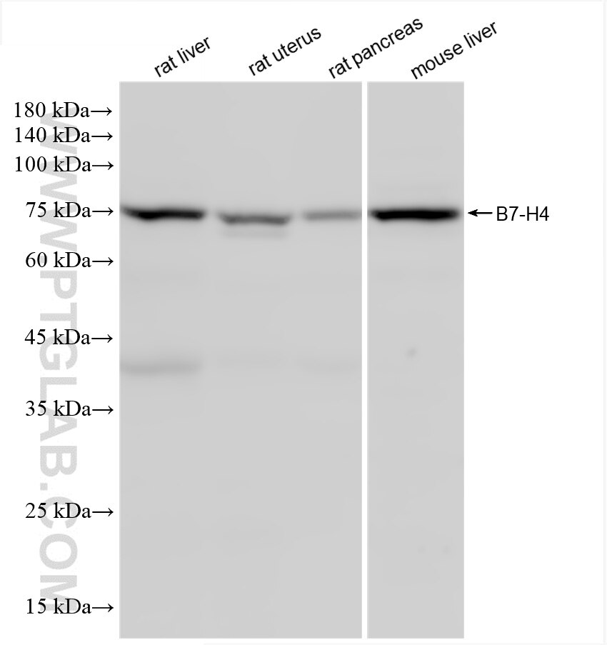
| Positive WB detected in | rat liver tissue, rat uterus tissue, rat pancreas tissue, mouse liver tissue |
Recommended dilution
| Application | Dilution |
|---|---|
| Western Blot (WB) | WB : 1:1000-1:4000 |
| It is recommended that this reagent should be titrated in each testing system to obtain optimal results. | |
| Sample-dependent, Check data in validation data gallery. | |
Product Information
86484-1-RR targets B7-H4 in WB, ELISA applications and shows reactivity with mouse, rat samples.
| Tested Reactivity | mouse, rat |
| Host / Isotype | Rabbit / IgG |
| Class | Recombinant |
| Type | Antibody |
| Immunogen |
CatNo: Eg3230 Product name: Recombinant Rat B7-H4 protein (rFc Tag) Source: mammalian cells-derived, pHZ-KIsec-C-rFc Tag: C-rFc Domain: 29-257 aa of NM_001024244.1 Sequence: FGISGKHFITVTTFTSAGNIGEDGTLSCTFEPDIKLNGIVIQWLKEGIKGLVHEFKEGKDDLSQQHEMFRGRTAVFADQVVVGNASLRLKNVQLTDAGTYTCYIHTSKGKGNANLEYKTGAFSMPEINVDYNASSESLRCEAPRWFPQPTVAWASQVDQGANFSEVSNTSFELNSENVTMKVVSVLYNVTINNTYSCMIENDIAKATGDIKVTDSEVKRRSQLELLNSG Predict reactive species |
| Full Name | V-set domain containing T cell activation inhibitor 1 |
| Calculated Molecular Weight | 31 kDa |
| Observed Molecular Weight | 75 kDa |
| GenBank Accession Number | NM_001024244.1 |
| Gene Symbol | Vtcn1 |
| Gene ID (NCBI) | 295322 |
| RRID | AB_3744916 |
| Conjugate | Unconjugated |
| Form | Liquid |
| Purification Method | Protein A purification |
| UNIPROT ID | Q501W4 |
| Storage Buffer | PBS with 0.02% sodium azide and 50% glycerol, pH 7.3. |
| Storage Conditions | Store at -20°C. Stable for one year after shipment. Aliquoting is unnecessary for -20oC storage. 20ul sizes contain 0.1% BSA. |
Background Information
B7-H4, also named VTCN1, B7X, or B7S1, is a single-pass type I membrane protein, which contains two immunoglobulin-like domains and belongs to the immunoglobulin superfamily. B7-H4 negatively regulates T-cell mediated immune response by inhibiting T-cell activation, proliferation, cytokine production and development of cytotoxicity. B7-H4 is over-expressed in many cancers, including breast, ovarian, endometrial, renal cell and non-small-cell lung cancers. The predicted molecular weight of B7‑H4 is 31 kDa. The glycosylated B7‑H4 is 50 to 80 kDa, and the non-glycosylated form is 28 kDa.
Protocols
| Product Specific Protocols | |
|---|---|
| WB protocol for B7-H4 antibody 86484-1-RR | Download protocol |
| Standard Protocols | |
|---|---|
| Click here to view our Standard Protocols |

