Tested Applications
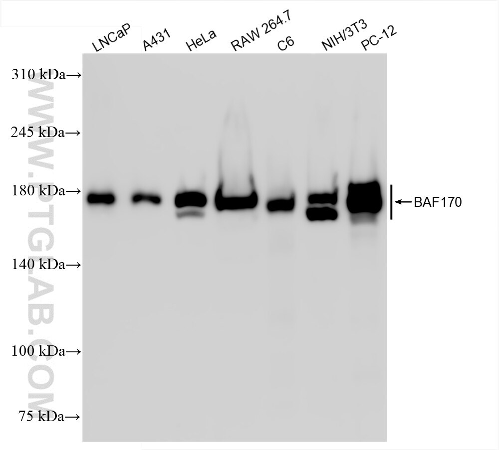
| Positive WB detected in | LNCaP cells, A431 cells, HeLa cells, RAW 264.7 cells, C6 cells, NIH/3T3 cells, PC-12 cells |
| Positive IHC detected in | human heart tissue Note: suggested antigen retrieval with TE buffer pH 9.0; (*) Alternatively, antigen retrieval may be performed with citrate buffer pH 6.0 |
Recommended dilution
| Application | Dilution |
|---|---|
| Western Blot (WB) | WB : 1:5000-1:50000 |
| Immunohistochemistry (IHC) | IHC : 1:500-1:2000 |
| It is recommended that this reagent should be titrated in each testing system to obtain optimal results. | |
| Sample-dependent, Check data in validation data gallery. | |
Product Information
86473-3-RR targets BAF170 in WB, IHC, ELISA applications and shows reactivity with human, mouse, rat samples.
| Tested Reactivity | human, mouse, rat |
| Host / Isotype | Rabbit / IgG |
| Class | Recombinant |
| Type | Antibody |
| Immunogen |
CatNo: Ag2634 Product name: Recombinant human BAF170 protein Source: e coli.-derived, PGEX-4T Tag: GST Domain: 300-647 aa of BC013045 Sequence: KRSPSPSPTPEAKKKNAKKGPSTPYTKSKRGHREEEQEDLTKDMDEPSPVPNVEEVTLPKTVNTKKDSESAPVKGGTMTDLDEQEDESMETTGKDEDENSTGNKGEQTKNPDLHEDNVTEQTHHIIIPSYAAWFDYNSVHAIERRALPEFFNGKNKSKTPEIYLAYRNFMIDTYRLNPQEYLTSTACRRNLAGDVCAIMRVHAFLEQWGLINYQVDAESRPTPMGPPPTSHFHVLADTPSGLVPLQPKTPQGRQVDADTKAGRKGKELDDLVPETAKGKPELQTSASQQMLNFPDKGKEKPTDMQNFGLRTDMYTKKNVPSKSKAAASATREWTEQETLLLLEALEMY Predict reactive species |
| Full Name | SWI/SNF related, matrix associated, actin dependent regulator of chromatin, subfamily c, member 2 |
| Calculated Molecular Weight | 1214 aa, 132 kDa |
| Observed Molecular Weight | 170 kDa |
| GenBank Accession Number | BC013045 |
| Gene Symbol | BAF170 |
| Gene ID (NCBI) | 6601 |
| RRID | AB_3744909 |
| Conjugate | Unconjugated |
| Form | Liquid |
| Purification Method | Protein A purification |
| UNIPROT ID | Q8TAQ2 |
| Storage Buffer | PBS with 0.02% sodium azide and 50% glycerol, pH 7.3. |
| Storage Conditions | Store at -20°C. Stable for one year after shipment. Aliquoting is unnecessary for -20oC storage. 20ul sizes contain 0.1% BSA. |
Background Information
BAF170, also named as SWI/SNF complex 170 kDa subunit or SMARCC2, is a 1214 amino acid protein, which belongs to the SMARCC family. BAF170 is ubiquitously expressed. BAF170 is involved in transcriptional activation and repression of select genes by chromatin remodeling. BAF170 may be required for CoREST dependent repression of neuronal specific gene promoters in non-neuronal cells. BAF170 belongs to the neural progenitors-specific chromatin remodeling complex (npBAF complex) and the neuron-specific chromatin remodeling complex (nBAF complex). The calcualted molecular weight of BAF170, is 133 kDa, but modified BAF170 is about 170 kDa. (PMID: 8804307)
Protocols
| Product Specific Protocols | |
|---|---|
| IHC protocol for BAF170 antibody 86473-3-RR | Download protocol |
| WB protocol for BAF170 antibody 86473-3-RR | Download protocol |
| Standard Protocols | |
|---|---|
| Click here to view our Standard Protocols |





