Tested Applications
| Positive WB detected in | HEK-293T cells, MCF-7 cells, Raji cells, HeLa cells, Jurkat cells, RAW 264.7 cells, PC-12 cells |
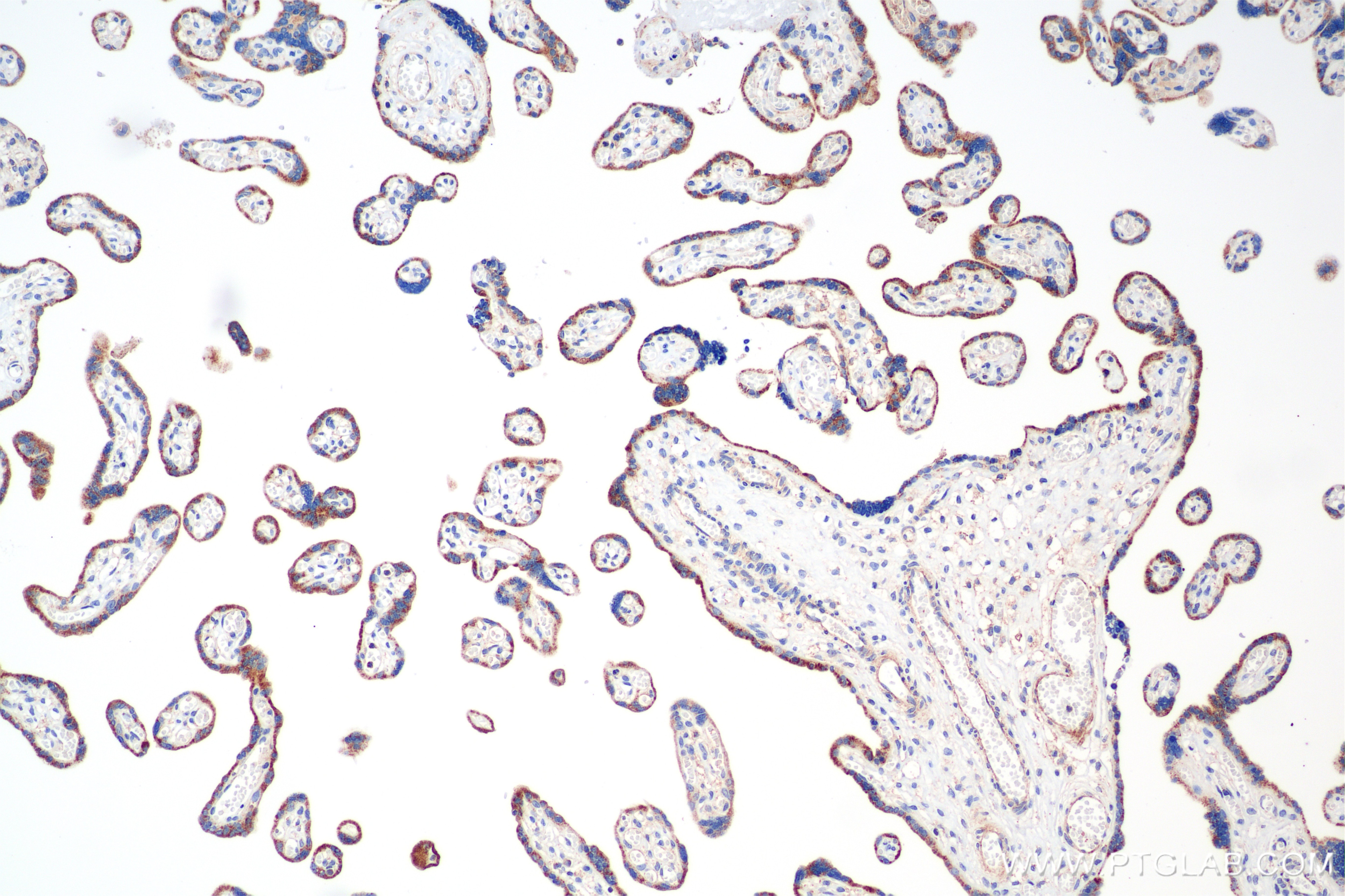
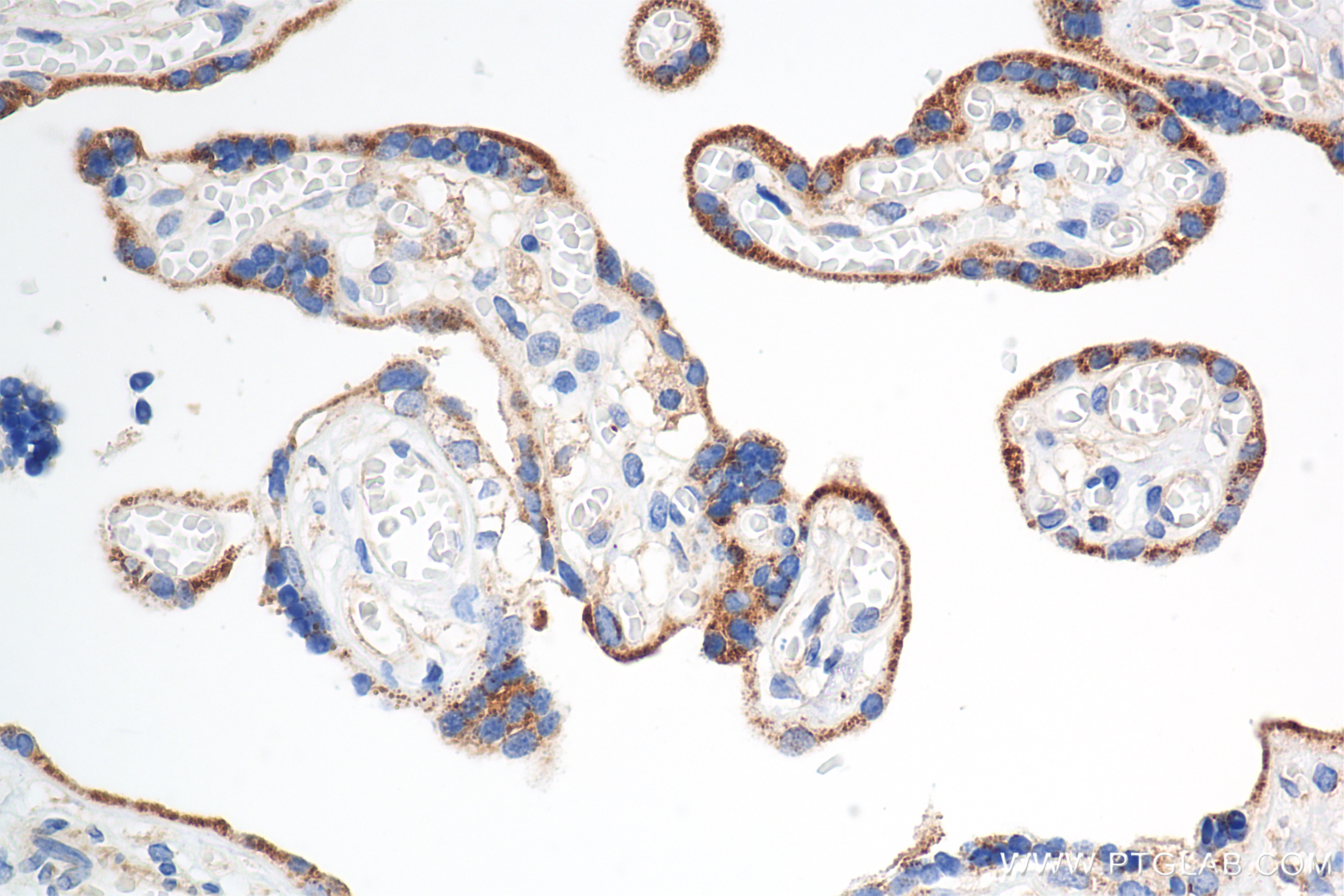
| Positive IHC detected in | human placenta tissue Note: suggested antigen retrieval with TE buffer pH 9.0; (*) Alternatively, antigen retrieval may be performed with citrate buffer pH 6.0 |
Recommended dilution
| Application | Dilution |
|---|---|
| Western Blot (WB) | WB : 1:5000-1:50000 |
| Immunohistochemistry (IHC) | IHC : 1:400-1:1600 |
| It is recommended that this reagent should be titrated in each testing system to obtain optimal results. | |
| Sample-dependent, Check data in validation data gallery. | |
Product Information
86367-1-RR targets BCAT2 in WB, IHC, ELISA applications and shows reactivity with human, mouse, rat samples.
| Tested Reactivity | human, mouse, rat |
| Host / Isotype | Rabbit / IgG |
| Class | Recombinant |
| Type | Antibody |
| Immunogen |
CatNo: Ag9573 Product name: Recombinant human BCAT2 protein Source: e coli.-derived, PGEX-4T Tag: GST Domain: 41-392 aa of BC001900 Sequence: MTQKPHKKPGPGEPLVFGKTFTDHMLMVEWNDKGWGQPRIQPFQNLTLHPASSSLHYSLQLFEGMKAFKGKDQQVRLFRPWLNMDRMLRSAMRLCLPSFDKLELLECIRRLIEVDKDWVPDAAGTSLYVRPVLIGNEPSLGVSQPTRALLFVILCPVGAYFPGGSVTPVSLLADPAFIRAWVGGVGNYKLGGNYGPTVLVQQEALKRGCEQVLWLYGPDHQLTEVGTMNIFVYWTHEDGVLELVTPPLNGVILPGVVRQSLLDMAQTWGEFRVVERTITMKQLLRALEEGRVREVFGSGTACQVCPVHRILYKDRNLHIPTMENGPELILRFQKELKEIQYGIRAHEWMFPV Predict reactive species |
| Full Name | branched chain aminotransferase 2, mitochondrial |
| Calculated Molecular Weight | 44 kDa |
| Observed Molecular Weight | 38 kDa |
| GenBank Accession Number | BC001900 |
| Gene Symbol | BCAT2 |
| Gene ID (NCBI) | 587 |
| RRID | AB_3744843 |
| Conjugate | Unconjugated |
| Form | Liquid |
| Purification Method | Protein A purification |
| UNIPROT ID | O15382 |
| Storage Buffer | PBS with 0.02% sodium azide and 50% glycerol, pH 7.3. |
| Storage Conditions | Store at -20°C. Stable for one year after shipment. Aliquoting is unnecessary for -20oC storage. 20ul sizes contain 0.1% BSA. |
Background Information
Branched-chain amino acid transaminase 2 (BCAT2) is an important enzyme in branched-chain amino acids (BCAAs) catabolism that reversibly catalyzes the initial step of BCAA degradation to branched-chain acyl-CoA. In humans, BCAT2 encodes a mitochondrial protein that is ubiquitously expressed in all organs (except hepatocytes) (PMID:32467562). Moreover, other reports showed that overexpressed BCAT2 in pancreatic ductal adenocarcinoma (PDAC) cells enhanced cell proliferation and survival in vitro and in vivo (PMID:35663242).
Protocols
| Product Specific Protocols | |
|---|---|
| IHC protocol for BCAT2 antibody 86367-1-RR | Download protocol |
| WB protocol for BCAT2 antibody 86367-1-RR | Download protocol |
| Standard Protocols | |
|---|---|
| Click here to view our Standard Protocols |







