Use Able AI chat for product recommendations

BRSK1 Recombinant monoclonal antibody

BRSK1 Uni-rAb® Recombinant Antibody for WB, IHC, ELISA

Cat No. 86462-1-RR
Clone No.251341A11

Host / Isotype

Rabbit / IgG

Reactivity

human, mouse, rat

Applications

WB, IHC, ELISA

BR serine/threonine kinase 1, BR serine/threonine-protein kinase 1, Brain-selective kinase 1, Brain-specific serine/threonine-protein kinase 1, EC:2.7.11.1

Formulation:  PBS, Azide, Glycerol
PBS, Azide, Glycerol
PBS Only
Conjugate:  Unconjugated
Unconjugated
Size/Concentration: 

-/ -

Freight/Packing: -

Quantity

Please visit your regions distributor:


Tested Applications

Positive WB detected inmouse brain tissue, rat brain tissue
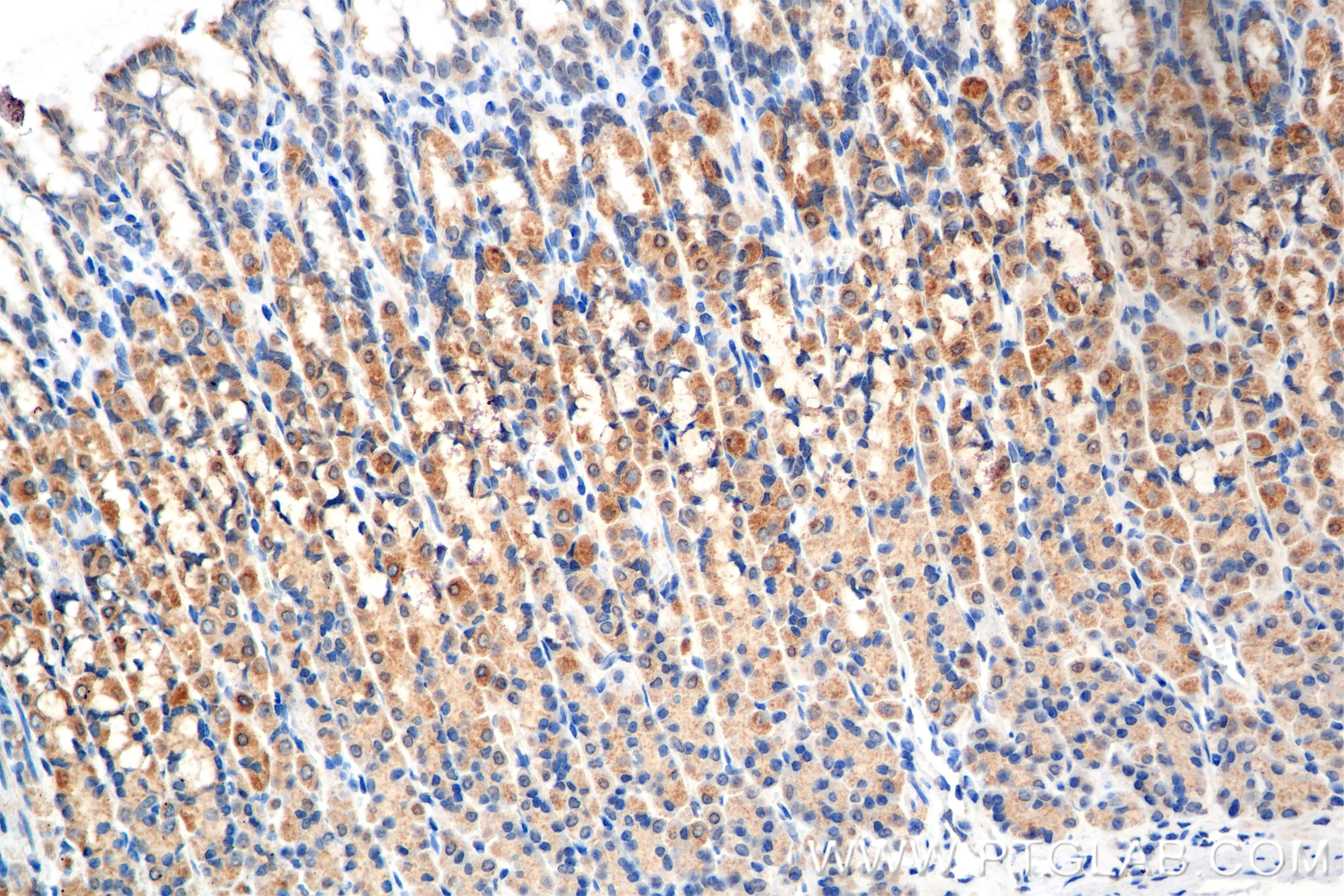
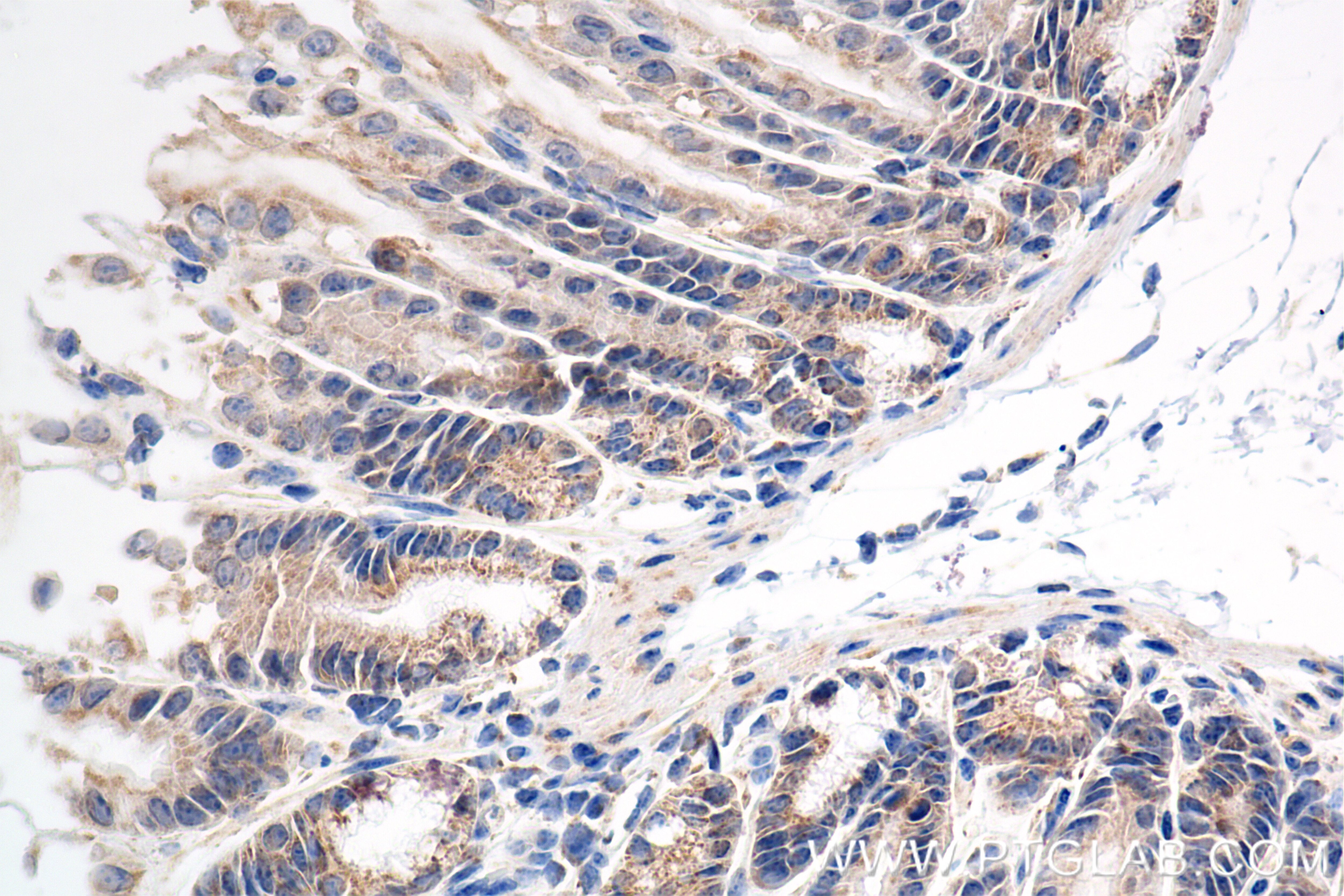
Positive IHC detected inrat stomach tissue, mouse stomach tissue
Note: suggested antigen retrieval with TE buffer pH 9.0; (*) Alternatively, antigen retrieval may be performed with citrate buffer pH 6.0

Recommended dilution

ApplicationDilution
Western Blot (WB)WB : 1:5000-1:50000
Immunohistochemistry (IHC)IHC : 1:400-1:1600
It is recommended that this reagent should be titrated in each testing system to obtain optimal results.
Sample-dependent, Check data in validation data gallery.

Product Information

86462-1-RR targets BRSK1 in WB, IHC, ELISA applications and shows reactivity with human, mouse, rat samples.

Tested Reactivity human, mouse, rat
Host / Isotype Rabbit / IgG
Class Recombinant
Type Antibody
Immunogen

CatNo: Ag3357

Product name: Recombinant human BRSK1 protein

Source: e coli.-derived, PGEX-4T

Tag: GST

Domain: 475-778 aa of BC016681

Sequence: TQTLPSRGPRGGGAGEQPPPPSARSTPLPGPPGSPRSSGGTPLHSPLHTPRASPTGTPGTTPPPSPGGGVGGAAWRSRLNSIRNSFLGSPRFHRRKMQVPTAEEMSSLTPESSPELAKRSWFGNFISLDKEEQIFLVLKDKPLSSIKADIVHAFLSIPSLSHSVLSQTSFRAEYKASGGPSVFQKPVRFQVDISSSEGPEPSPRRDGSGGGGIYSVTFTLISGPSRRFKRVVETIQAQLLSTHDQPSVQALADEKNGAQTRPAGAPPRSLQPPPGRPDPELSSSPRRAPPKDKKLLATNGTPLP

Predict reactive species
Full Name BR serine/threonine kinase 1
Calculated Molecular Weight 87 kDa
Observed Molecular Weight 85-90 kDa
GenBank Accession NumberBC016681
Gene Symbol BRSK1
Gene ID (NCBI) 84446
RRIDAB_3744902
Conjugate Unconjugated
FormLiquid
Purification MethodProtein A purification
UNIPROT IDQ8TDC3
Storage Buffer PBS with 0.02% sodium azide and 50% glycerol, pH 7.3.
Storage ConditionsStore at -20°C. Stable for one year after shipment. Aliquoting is unnecessary for -20oC storage. 20ul sizes contain 0.1% BSA.

Background Information

BRSK1(Brain-specific serine/threonine-protein kinase 1) is also named as KIAA1811, SAD1, SADB and belongs to the SNF1 subfamily. BRSKs are crucial for establishing neuronal polarity, and BRSK1 has also been shown to regulate neurotransmitter release presynaptically. BRSK1 is a serine-threonine kinases specifically expressed in the brain, and activated by LKB1-mediated phosphorylation of a threonine residue at their T-loop. (PMID:22020259). It has 3 isoforms produced by alternative splicing.

Protocols

Product Specific Protocols
IHC protocol for BRSK1 antibody 86462-1-RRDownload protocol
WB protocol for BRSK1 antibody 86462-1-RRDownload protocol
Standard Protocols
Click here to view our Standard Protocols
Loading...
||
New chat

Able

正在加载,请稍候...