C1orf77 Recombinant monoclonal antibody

C1orf77 Uni-rAb® Recombinant Antibody for WB, IHC, IF/ICC, ELISA
Cat No. 85147-3-RR
Clone No.242770H3

Host / Isotype

Rabbit / IgG

Reactivity

human

Applications

WB, IHC, IF/ICC, ELISA

CHTOP, FOP, 242770H3, Friend of PRMT1 protein, PP7704

Formulation:  PBS, Azide, Glycerol
PBS, Azide, Glycerol
PBS Only
Conjugate:  Unconjugated
Unconjugated
CoraLite® Plus 488
Size/Concentration: 

-/ -

Freight/Packing: -

Quantity

Please visit your regions distributor:


Tested Applications

Positive WB detected inHeLa cells, Jurkat cells, HEK-293T cells, THP-1 cells
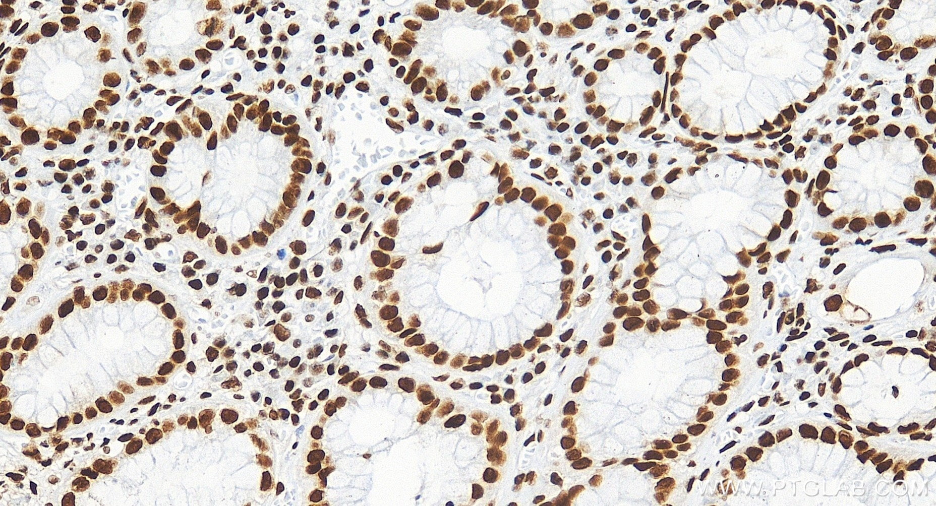
Positive IHC detected inhuman colon cancer tissue, human stomach tissue
Note: suggested antigen retrieval with TE buffer pH 9.0; (*) Alternatively, antigen retrieval may be performed with citrate buffer pH 6.0
Positive IF/ICC detected inSH-SY5Y cells, HeLa cells, A431 cells

Recommended dilution

ApplicationDilution
Western Blot (WB)WB : 1:2000-1:10000
Immunohistochemistry (IHC)IHC : 1:200-1:800
Immunofluorescence (IF)/ICCIF/ICC : 1:500-1:2000
It is recommended that this reagent should be titrated in each testing system to obtain optimal results.
Sample-dependent, Check data in validation data gallery.

Product Information

85147-3-RR targets C1orf77 in WB, IHC, IF/ICC, ELISA applications and shows reactivity with human samples.

Tested Reactivity human
Host / Isotype Rabbit / IgG
Class Recombinant
Type Antibody
Immunogen

CatNo: Ag26580

Product name: Recombinant human C1orf77 protein

Source: e coli.-derived, PGEX-4T

Tag: GST

Domain: 1-118 aa of BC002733

Sequence: MSLRGQNLLRGGRAVAPRMGLRRGGVRGRGGPGRGGLGRGAMGRGGIGGRGRGMIGRGRGGFGGRGRGRGRGRGALARPVLTKEQLDNQLDAYMSKTKGHLDAELDAYMAQTDPETND

Predict reactive species
Full Name chromosome 1 open reading frame 77
Calculated Molecular Weight 248 aa, 26 kDa
Observed Molecular Weight26-30 kDa
GenBank Accession NumberBC002733
Gene Symbol C1orf77
Gene ID (NCBI) 26097
Conjugate Unconjugated
FormLiquid
Purification MethodProtein A purification
UNIPROT IDQ9Y3Y2
Storage Buffer PBS with 0.02% sodium azide and 50% glycerol, pH 7.3.
Storage ConditionsStore at -20°C. Stable for one year after shipment. Aliquoting is unnecessary for -20oC storage. 20ul sizes contain 0.1% BSA.

Protocols

Product Specific Protocols
IF protocol for C1orf77 antibody 85147-3-RRDownload protocol
IHC protocol for C1orf77 antibody 85147-3-RRDownload protocol
WB protocol for C1orf77 antibody 85147-3-RRDownload protocol
Standard Protocols
Click here to view our Standard Protocols
Loading...
||
New chat Able
正在加载,请稍候...