Tested Applications
| Positive WB detected in | HeLa cells, Jurkat cells, PC-3 cells, LNCaP cells |
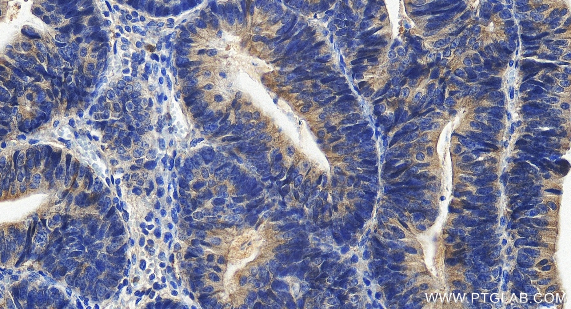
| Positive IHC detected in | human colon cancer tissue Note: suggested antigen retrieval with TE buffer pH 9.0; (*) Alternatively, antigen retrieval may be performed with citrate buffer pH 6.0 |
| Positive IF/ICC detected in | PC-3 cells, Jurkat cells |
Recommended dilution
| Application | Dilution |
|---|---|
| Western Blot (WB) | WB : 1:5000-1:50000 |
| Immunohistochemistry (IHC) | IHC : 1:400-1:1600 |
| Immunofluorescence (IF)/ICC | IF/ICC : 1:50-1:500 |
| It is recommended that this reagent should be titrated in each testing system to obtain optimal results. | |
| Sample-dependent, Check data in validation data gallery. | |
Product Information
82720-14-RR targets CAMKK2 in WB, IHC, IF/ICC, ELISA applications and shows reactivity with human samples.
| Tested Reactivity | human |
| Host / Isotype | Rabbit / IgG |
| Class | Recombinant |
| Type | Antibody |
| Immunogen |
CatNo: Ag2093 Product name: Recombinant human CAMKK2 protein Source: e coli.-derived, PGEX-4T Tag: GST Domain: 1-353 aa of BC026060 Sequence: MSSCVSSQPSSNRAAPQDELGGRGSSSSESQKPCEALRGLSSLSIHLGMESFIVVTECEPGCAVDLGLARDRPLEADGQEVPLDSSGSQARPHLSGRKLSLQERSQGGLAAGGSLDMNGRCICPSLPYSPVSSPQSSPRLPRRPTVESHHVSITGMQDCVQLNQYTLKDEIGKGSYGVVKLAYNENDNTYYAMKVLSKKKLIRQAGFPRRPPPRGTRPAPGGCIQPRGPIEQVYQEIAILKKLDHPNVVKLVEVLDDPNEDHLYMVFELVNQGPVMEVPTLKPLSEDQARFYFQDLIKGIEYLHYQKIIHRDIKPSNLLVGEDGHIKIADFGVSNEFKGSDALLSNTVGTPAF Predict reactive species |
| Full Name | calcium/calmodulin-dependent protein kinase kinase 2, beta |
| Calculated Molecular Weight | 588 aa, 60 kDa |
| Observed Molecular Weight | 60-70 kDa |
| GenBank Accession Number | BC026060 |
| Gene Symbol | CAMKK2 |
| Gene ID (NCBI) | 10645 |
| Conjugate | Unconjugated |
| Form | Liquid |
| Purification Method | Protein A purification |
| UNIPROT ID | Q96RR4 |
| Storage Buffer | PBS with 0.02% sodium azide and 50% glycerol, pH 7.3. |
| Storage Conditions | Store at -20°C. Stable for one year after shipment. Aliquoting is unnecessary for -20oC storage. 20ul sizes contain 0.1% BSA. |
Background Information
CAMKK2(calcium/calmodulin-dependent protein kinase kinase 2) is also named as CAMKKB, KIAA0787 and belongs to the protein kinase superfamily. It regulates hypothalamic production of the orexigenic hormone NPY and contributes to the regulation of energy balance. CAMKK2 in vivo reduces tumor growth suggests that reactivation of CAMKK2 by development of new drugs may be a new strategy to prolong the period to respond androgen-deprivation therapy(ADT)(PMID:22549914). It can be autophosphorylated(PMID:19369195). It has 7 isoforms produced by alternative splicing.
Protocols
| Product Specific Protocols | |
|---|---|
| IF protocol for CAMKK2 antibody 82720-14-RR | Download protocol |
| IHC protocol for CAMKK2 antibody 82720-14-RR | Download protocol |
| WB protocol for CAMKK2 antibody 82720-14-RR | Download protocol |
| Standard Protocols | |
|---|---|
| Click here to view our Standard Protocols |











