Tested Applications
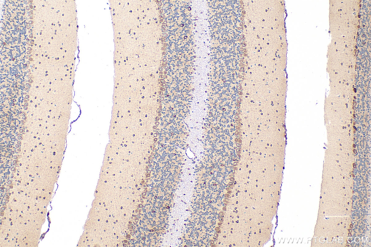
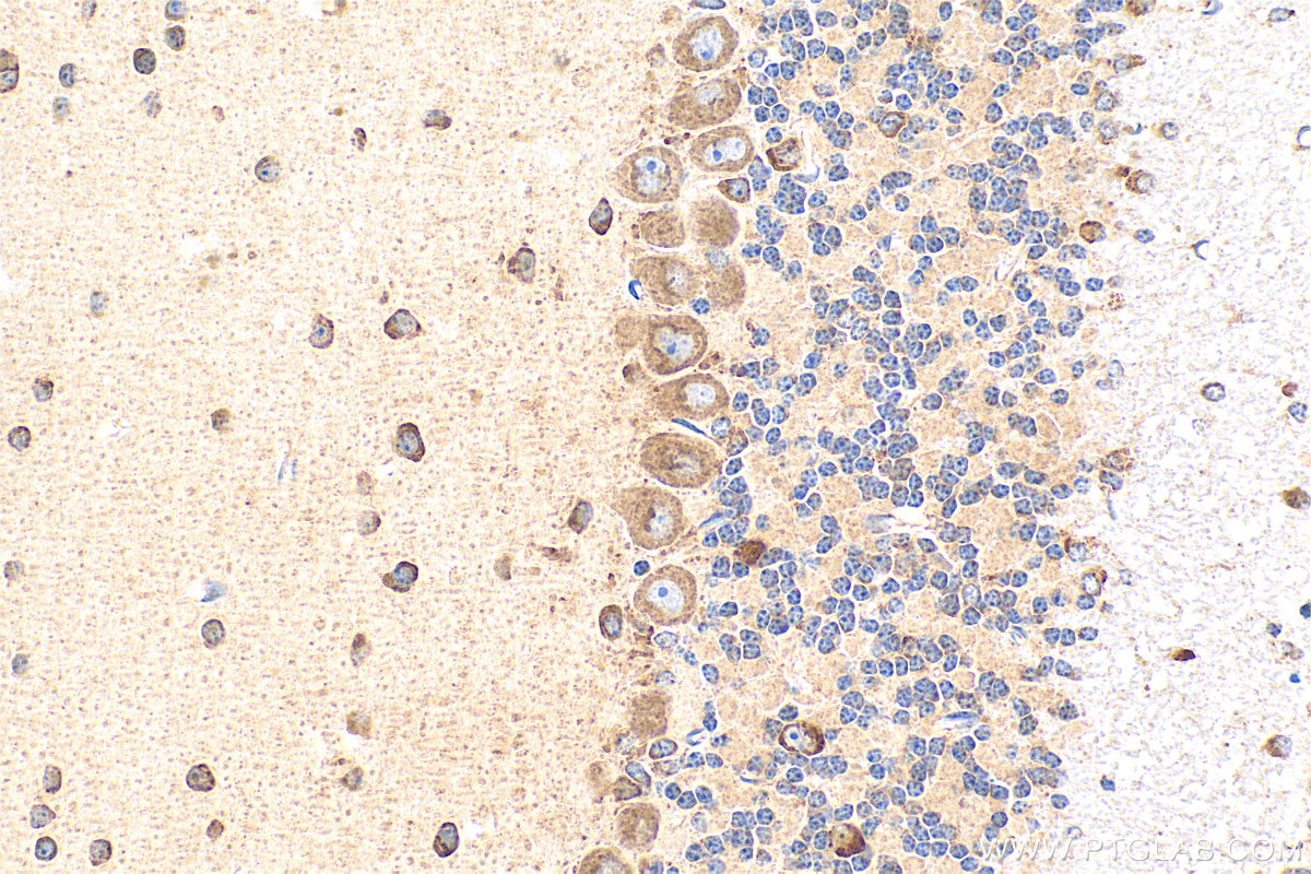
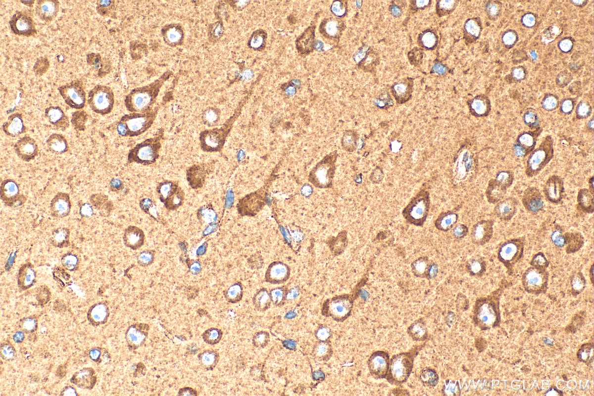
| Positive IHC detected in | mouse cerebellum tissue, human cerebellum tissue, mouse brain tissue Note: suggested antigen retrieval with TE buffer pH 9.0; (*) Alternatively, antigen retrieval may be performed with citrate buffer pH 6.0 |
Recommended dilution
| Application | Dilution |
|---|---|
| Immunohistochemistry (IHC) | IHC : 1:50-1:500 |
| It is recommended that this reagent should be titrated in each testing system to obtain optimal results. | |
| Sample-dependent, Check data in validation data gallery. | |
Product Information
20559-1-AP targets CBLN4 in IHC, ELISA applications and shows reactivity with human, mouse samples.
| Tested Reactivity | human, mouse |
| Host / Isotype | Rabbit / IgG |
| Class | Polyclonal |
| Type | Antibody |
| Immunogen |
Peptide Predict reactive species |
| Full Name | cerebellin 4 precursor |
| Calculated Molecular Weight | 22 kDa |
| Observed Molecular Weight | 22 kDa |
| GenBank Accession Number | NM_080617 |
| Gene Symbol | CBLN4 |
| Gene ID (NCBI) | 140689 |
| RRID | AB_2878701 |
| Conjugate | Unconjugated |
| Form | Liquid |
| Purification Method | Antigen affinity purification |
| UNIPROT ID | Q9NTU7 |
| Storage Buffer | PBS with 0.02% sodium azide and 50% glycerol, pH 7.3. |
| Storage Conditions | Store at -20°C. Stable for one year after shipment. Aliquoting is unnecessary for -20oC storage. 20ul sizes contain 0.1% BSA. |
Background Information
CBLN4 may be involved in synaptic functions in the CNS. CBLN4 can enable ER export and secretion of CBLN3. The antibody has no cross-reaction to CBLN1, 2, or 3.
Protocols
| Product Specific Protocols | |
|---|---|
| IHC protocol for CBLN4 antibody 20559-1-AP | Download protocol |
| Standard Protocols | |
|---|---|
| Click here to view our Standard Protocols |











