Tested Applications
| Positive WB detected in | Ramos cells |
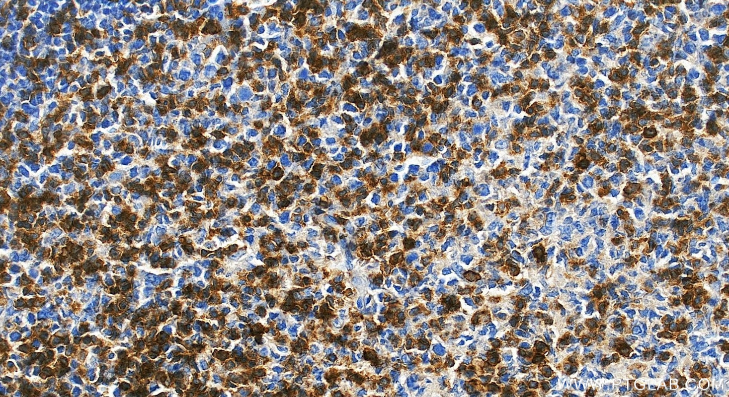
| Positive IHC detected in | human tonsillitis tissue Note: suggested antigen retrieval with TE buffer pH 9.0; (*) Alternatively, antigen retrieval may be performed with citrate buffer pH 6.0 |
| Positive IF-P detected in | human tonsillitis tissue |
| Positive IF/ICC detected in | Ramos cells |
Recommended dilution
| Application | Dilution |
|---|---|
| Western Blot (WB) | WB : 1:2000-1:10000 |
| Immunohistochemistry (IHC) | IHC : 1:250-1:1000 |
| Immunofluorescence (IF)-P | IF-P : 1:300-1:1200 |
| Immunofluorescence (IF)/ICC | IF/ICC : 1:200-1:800 |
| It is recommended that this reagent should be titrated in each testing system to obtain optimal results. | |
| Sample-dependent, Check data in validation data gallery. | |
Product Information
85066-5-RR targets CD27 in WB, IHC, IF/ICC, IF-P, ELISA applications and shows reactivity with human samples.
| Tested Reactivity | human |
| Host / Isotype | Rabbit / IgG |
| Class | Recombinant |
| Type | Antibody |
| Immunogen |
CatNo: Eg1644 Product name: Recombinant Human CD27 protein (rFc Tag) Source: mammalian cells-derived, pHZ-KIsec-C-rFc Tag: C-rFc Domain: 20-191 aa of BC012160 Sequence: ATPAPKSCPERHYWAQGKLCCQMCEPGTFLVKDCDQHRKAAQCDPCIPGVSFSPDHHTRPHCESCRHCNSGLLVRNCTITANAECACRNGWQCRDKECTECDPLPNPSLTARSSQALSPHPQPTHLPYVSEMLEARTAGHMQTLADFRQLPARTLSTHWPPQRSLCSSDFIR Predict reactive species |
| Full Name | CD27 molecule |
| Calculated Molecular Weight | 29 kDa |
| Observed Molecular Weight | 50 kDa |
| GenBank Accession Number | BC012160 |
| Gene Symbol | CD27 |
| Gene ID (NCBI) | 939 |
| ENSEMBL Gene ID | ENSG00000139193 |
| RRID | AB_3743984 |
| Conjugate | Unconjugated |
| Form | Liquid |
| Purification Method | Protein A purification |
| UNIPROT ID | P26842 |
| Storage Buffer | PBS with 0.02% sodium azide and 50% glycerol, pH 7.3. |
| Storage Conditions | Store at -20°C. Stable for one year after shipment. Aliquoting is unnecessary for -20oC storage. 20ul sizes contain 0.1% BSA. |
Background Information
CD27 (also known as TNFRSF7) is a type I glycoprotein expressed on some B cells and the majority of T cells, and is a member of the tumor necrosis factor (TNF) receptor family. CD27 is required for generation and long-term maintenance of T cell immunity (PMID: 11062504). It is a receptor for CD70 (CD27L). Ligation of CD27 by CD70 induces strong ubiquitination of TRAF and the activation of both canonical and non-canonical NF-kappaB pathways, as well as the JNK pathway (PMID: 19426224). CD27 may also play a role in apoptosis through association with SIVA1.
Protocols
| Product Specific Protocols | |
|---|---|
| IF protocol for CD27 antibody 85066-5-RR | Download protocol |
| IHC protocol for CD27 antibody 85066-5-RR | Download protocol |
| WB protocol for CD27 antibody 85066-5-RR | Download protocol |
| Standard Protocols | |
|---|---|
| Click here to view our Standard Protocols |











