Tested Applications
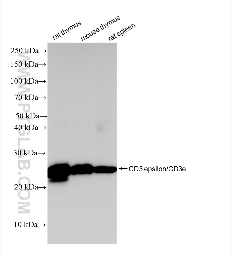
| Positive WB detected in | rat thymus tissue, CTLL-2 cells, mouse thymus tissue, rat spleen tissue |
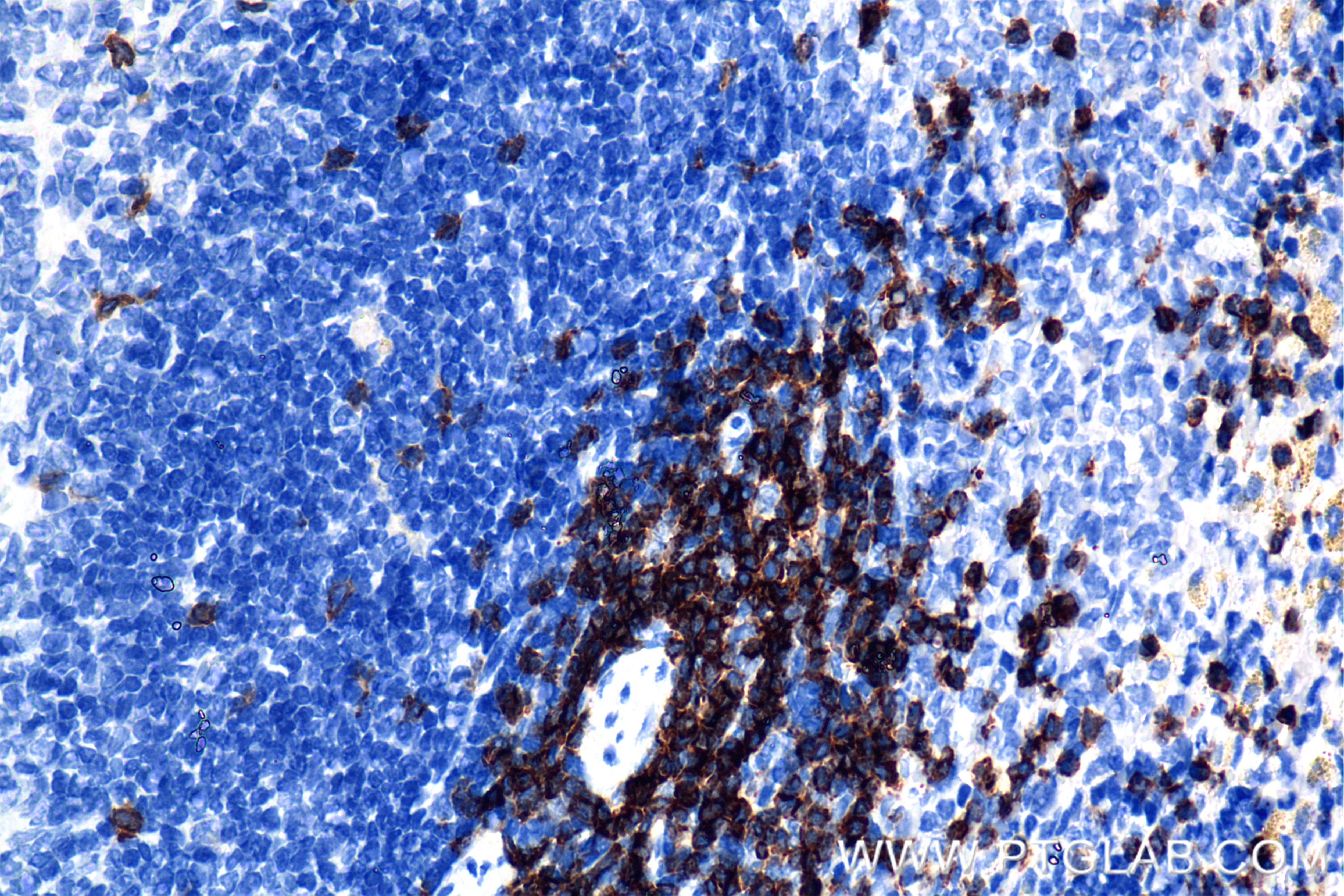
| Positive IHC detected in | rat spleen tissue, rat thymus tissue Note: suggested antigen retrieval with TE buffer pH 9.0; (*) Alternatively, antigen retrieval may be performed with citrate buffer pH 6.0 |
| Positive IF-P detected in | rat thymus tissue, rat spleen tissue |
Recommended dilution
| Application | Dilution |
|---|---|
| Western Blot (WB) | WB : 1:2000-1:10000 |
| Immunohistochemistry (IHC) | IHC : 1:500-1:2000 |
| Immunofluorescence (IF)-P | IF-P : 1:500-1:2000 |
| It is recommended that this reagent should be titrated in each testing system to obtain optimal results. | |
| Sample-dependent, Check data in validation data gallery. | |
Product Information
86053-1-RR targets CD3 epsilon in WB, IHC, IF-P, ELISA applications and shows reactivity with mouse, rat samples.
| Tested Reactivity | mouse, rat |
| Host / Isotype | Rabbit / IgG |
| Class | Recombinant |
| Type | Antibody |
| Immunogen |
CatNo: Eg1450 Product name: Recombinant Rat CD3 epsilon protein (rFc Tag) Source: mammalian cells-derived, pHZ-KIsec-C-rFc Tag: C-rFc Domain: 24-103 aa of NP_001101610.2 Sequence: IEDTVTDDGAQKQYEVSISGTSVELTCPLENEDNLKWEKNDKVLPDKNEKHLVLEDFSEVKDSGYYVCYTESSRKNTYLY Predict reactive species |
| Full Name | CD3 molecule, epsilon polypeptide |
| Calculated Molecular Weight | 22kDa |
| Observed Molecular Weight | 22 kDa |
| GenBank Accession Number | NP_001101610.2 |
| Gene Symbol | Cd3e |
| Gene ID (NCBI) | 315609 |
| RRID | AB_3744583 |
| Conjugate | Unconjugated |
| Form | Liquid |
| Purification Method | Protein A purification |
| UNIPROT ID | A6J423 |
| Storage Buffer | PBS with 0.02% sodium azide and 50% glycerol, pH 7.3. |
| Storage Conditions | Store at -20°C. Stable for one year after shipment. Aliquoting is unnecessary for -20oC storage. 20ul sizes contain 0.1% BSA. |
Background Information
CD3 is a multimeric protein associated with the T-cell receptor (TCR) to form a complex involved in antigen recognition and signal transduction (PMID: 15885124). CD3 is composed of CD3γ, δ, ε, and ζ chains (PMID: 1826255). It is expressed by thymocytes in a developmentally regulated manner, T cells, and some NK cells (PMID: 3289580). The TCR recognizes antigens bound to major histocompatibility complex (MHC) molecules. TCR-mediated peptide-MHC recognition is transmitted to the CD3 complex, leading to the intracellular signal transduction (PMID: 11985657). This antibody was raised against the epsilon chain of rat CD3 molecule.
Protocols
| Product Specific Protocols | |
|---|---|
| IF protocol for CD3 epsilon antibody 86053-1-RR | Download protocol |
| IHC protocol for CD3 epsilon antibody 86053-1-RR | Download protocol |
| WB protocol for CD3 epsilon antibody 86053-1-RR | Download protocol |
| Standard Protocols | |
|---|---|
| Click here to view our Standard Protocols |

















