Tested Applications
| Positive WB detected in | mouse lung tissue, rat spleen tissue, rat lung tissue |
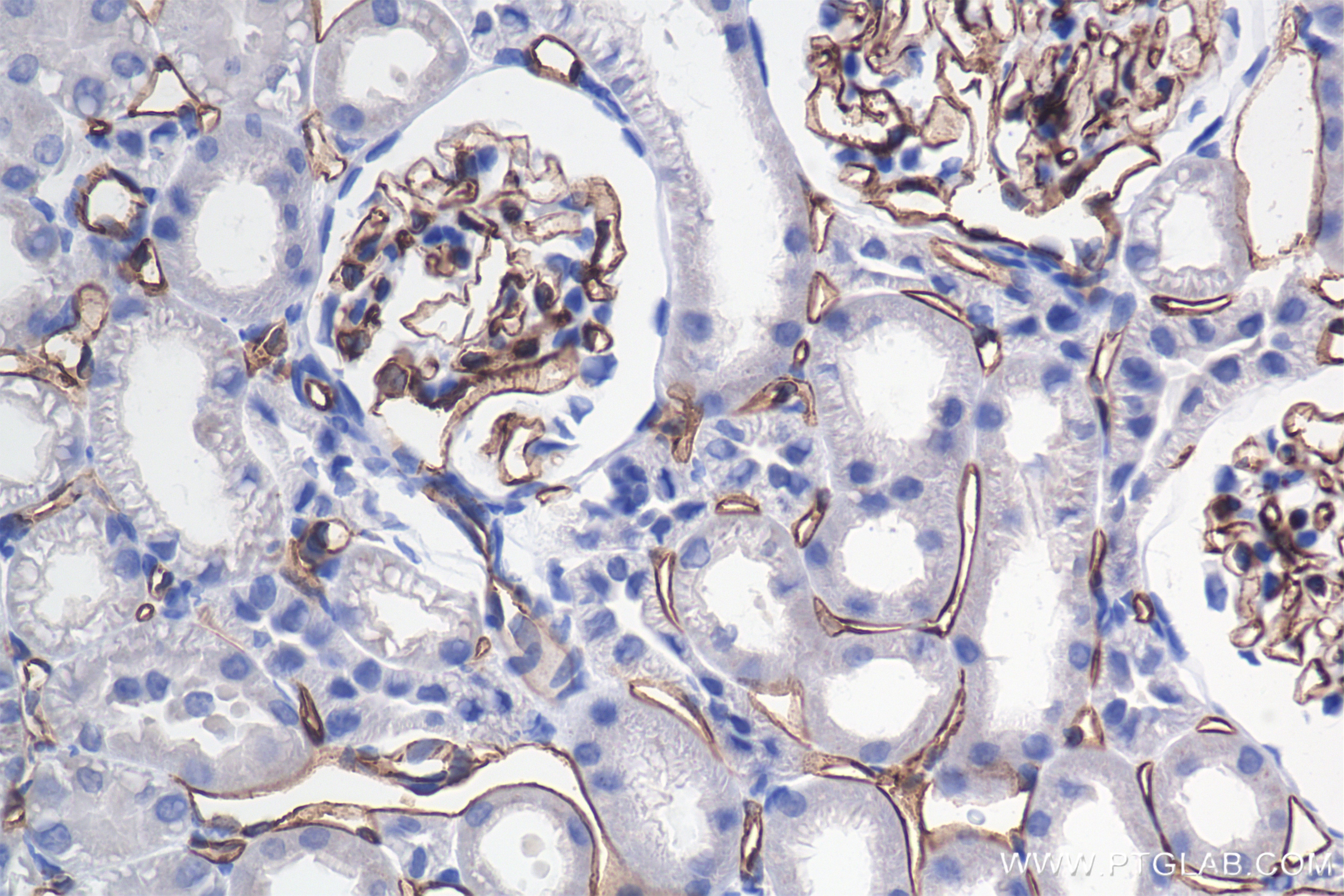
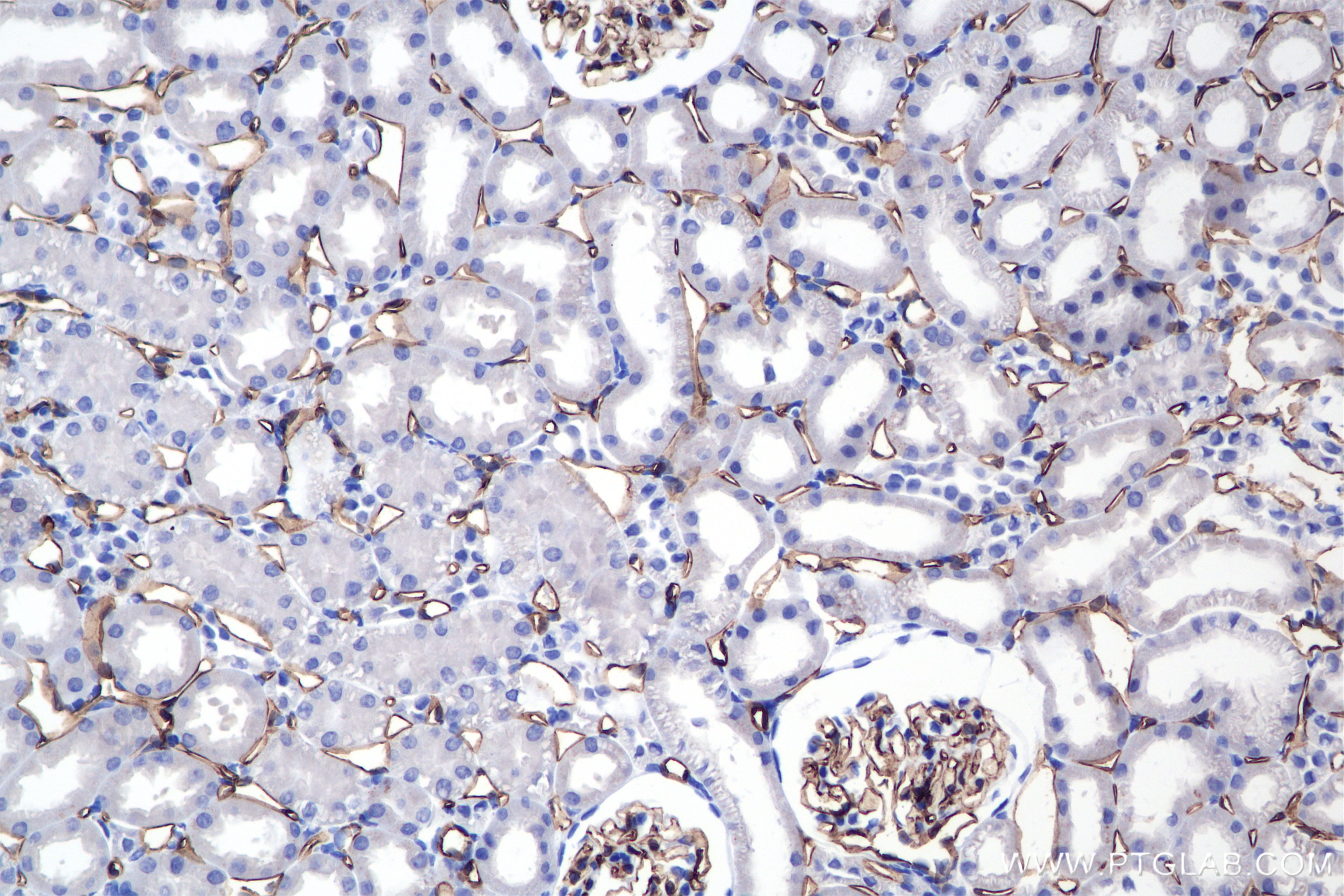
| Positive IHC detected in | rat liver tissue, rat kidney tissue Note: suggested antigen retrieval with TE buffer pH 9.0; (*) Alternatively, antigen retrieval may be performed with citrate buffer pH 6.0 |
| Positive IF-P detected in | rat liver tissue |
This antibody does not react with human CD31.
Recommended dilution
| Application | Dilution |
|---|---|
| Western Blot (WB) | WB : 1:2000-1:10000 |
| Immunohistochemistry (IHC) | IHC : 1:500-1:2000 |
| Immunofluorescence (IF)-P | IF-P : 1:250-1:1000 |
| It is recommended that this reagent should be titrated in each testing system to obtain optimal results. | |
| Sample-dependent, Check data in validation data gallery. | |
Published Applications
| IHC | See 1 publications below |
| IF | See 6 publications below |
Product Information
85898-4-RR targets CD31 in WB, IHC, IF-P, ELISA applications and shows reactivity with mouse, rat samples.
| Tested Reactivity | mouse, rat |
| Cited Reactivity | rat |
| Host / Isotype | Rabbit / IgG |
| Class | Recombinant |
| Type | Antibody |
| Immunogen |
CatNo: Eg1456 Product name: recombinant rat CD31/PECAM-1 protein Source: mammalian cells-derived, pHZ-KIsec-C-rFc Tag: C-rFc Domain: 18-589 aa of NP_113779.1 Sequence: QENSFTINSIHMESRPSWEVSNGQKLTLQCLVDISTTSKSRPQHQVLFYKDDALVYNVSSSEHTESFVIPQSRVFHAGKYKCTVILNSKEKTTIEYQLTVNGVPMPEVTVDKKEVTEGGIVTVNCSMQEEKPPIYFKIEKVELGTKNVKLSREKTSNMNFVLIEFPIEEQDHLLVFRCQAGVLSGIKMQTSEFIRSEYVTVQEFFSTPKFQIQPPEMIIEGNQLHIKCSVQVAHLAQEFPEIIIQKDKAIVATSKQSKEAVYSVMALVEHSGHYTCKVESNRISKASSILVNITELFPRPKLELSSSRLDQGEMLDLSCSVSGAPVANFTIQKEETVLSQYQNFSKIAEERDSGLYSCTAGIGKVVKRSNLVPVQVCEMLSKPRIFHDAKFEIIKGQIIGISCQSVNGTAPITYRLLRAKSNFQTVQKNSNDPVTFTDKPTRDMEYQCIVDNCHSHPEVRSEILRVKVIAPVDEVTISILSGNDVQSGDEMVLRCSVKEGTGPVTFQFYKEKEGRPFHEETVNDTQVFWHHEQTSKEQEGQYYCTAFNRASIVTSLRSGPLTVRVFLAPWKK Predict reactive species |
| Full Name | platelet/endothelial cell adhesion molecule 1 |
| Calculated Molecular Weight | 76kDa |
| Observed Molecular Weight | 100-130 kDa |
| GenBank Accession Number | NP_113779.1 |
| Gene Symbol | Pecam1 |
| Gene ID (NCBI) | 29583 |
| RRID | AB_3744456 |
| Conjugate | Unconjugated |
| Form | Liquid |
| Purification Method | Protein A purification |
| UNIPROT ID | Q3SWT0 |
| Storage Buffer | PBS with 0.02% sodium azide and 50% glycerol, pH 7.3. |
| Storage Conditions | Store at -20°C. Stable for one year after shipment. Aliquoting is unnecessary for -20oC storage. 20ul sizes contain 0.1% BSA. |
Background Information
Platelet endothelial cell adhesion molecule-1 (PECAM-1, CD31) is a member of the immunoglobulin gene superfamily of cell adhesion molecules. CD31 is a transmembrane glycoprotein that is highly expressed on the surface of the endothelium, making up a large portion of its intracellular junctions. PECAM-1 is also present on the surface of hematopoietic cells and immune cells including platelets, monocytes, neutrophils, natural killer cells, megakaryocytes and some types of T-cell (PMID: 9011572). As well as its role in cell-cell adhesion, PECAM-1 functions as a signaling receptor, and is involved in important physiological events such as nitric oxide production, regulation of T-cell immunity and tolerance, leukocyte transendothelial migration and inflammation and angiogenesis (PMID: 21183735; 20978210; 17872453; 20634489).
Protocols
| Product Specific Protocols | |
|---|---|
| IF protocol for CD31 antibody 85898-4-RR | Download protocol |
| IHC protocol for CD31 antibody 85898-4-RR | Download protocol |
| WB protocol for CD31 antibody 85898-4-RR | Download protocol |
| Standard Protocols | |
|---|---|
| Click here to view our Standard Protocols |
Publications
| Species | Application | Title |
|---|---|---|
Int J Biol Macromol Multifunctional double-network hydrogel with antibacterial and anti-inflammatory synergistic effects contributes to wound healing of bacterial infection. | ||
Zhonghua Shao Shang Yu Chuang Mian Xiu Fu Za Zhi [Effects of mitochondrial transplantation on full-thickness skin defects in diabetic rats]. | ||
Mater Today Bio 3D printing combined with thermally induced phase separation for engineering hierarchical osteogenic PLA scaffolds. | ||
Int Immunopharmacol Punicalin ameliorates vascular endothelial cell pyroptosis and dysfunction induced by hyperlipidemia and hyperglycemia through activation of PPARγ. | ||
J Nanobiotechnology Piezo-herbal microneedle patches enable wireless endometrial regeneration and fertility recovery. | ||
Acta Biomater Adhesive polyethylene glycol hydrogels with metformin enabling in-situ drug delivery reprogramming immuno-metabolism for tissue repair in diabetic foot ulcers. |













