Tested Applications
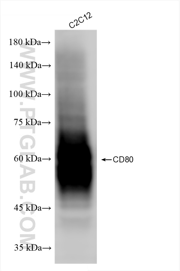
| Positive WB detected in | NR8383 cells, C2C12 cells, RAW 264.7 cells |
| Positive IF/ICC detected in | C2C12 cells |
Recommended dilution
| Application | Dilution |
|---|---|
| Western Blot (WB) | WB : 1:1000-1:6000 |
| Immunofluorescence (IF)/ICC | IF/ICC : 1:200-1:800 |
| It is recommended that this reagent should be titrated in each testing system to obtain optimal results. | |
| Sample-dependent, Check data in validation data gallery. | |
Published Applications
| IHC | See 1 publications below |
| IF | See 1 publications below |
Product Information
86532-1-RR targets CD80 in WB, IHC, IF/ICC, ELISA applications and shows reactivity with mouse, rat samples.
| Tested Reactivity | mouse, rat |
| Cited Reactivity | rat |
| Host / Isotype | Rabbit / IgG |
| Class | Recombinant |
| Type | Antibody |
| Immunogen |
CatNo: Eg3841 Product name: Recombinant Rat CD80 protein (rFc Tag) (HPLC verified) Source: mammalian cells-derived, pHZ-KIsec-C-rFc Tag: C-rFc Sequence: IVGQVSKSVREKALLSCDYKFCSEEQSIHRIYWQKHDKMVLSVISGVPEVWPEYKNRTVYDIANNYSFSLLGLILSDRGTYTCVVQRYEGGSYVVKHLTTVELSVRADFPTPNITESGNPSADIKRITCFASGGFPKPRLSWLENGRELNGINTTISQDPESELYTISSQLDFNTTYDHFIDCFIEYGDAHVSQNFTWEKPPEDPPDEKQ Predict reactive species |
| Full Name | Cd80 molecule |
| Calculated Molecular Weight | 33 kDa |
| Observed Molecular Weight | 60-70 kDa |
| Gene Symbol | CD80 |
| Gene ID (NCBI) | 25408 |
| RRID | AB_3744949 |
| Conjugate | Unconjugated |
| Form | Liquid |
| Purification Method | Protein A purification |
| UNIPROT ID | Q62680 |
| Storage Buffer | PBS with 0.02% sodium azide and 50% glycerol, pH 7.3. |
| Storage Conditions | Store at -20°C. Stable for one year after shipment. Aliquoting is unnecessary for -20oC storage. 20ul sizes contain 0.1% BSA. |
Background Information
CD80 (also known as B7-1) is a type I membrane protein that is a member of the immunoglobulin superfamily, with an extracellular immunoglobulin constant-like domain and a variable-like domain required for receptor binding. It is expressed on antigen-presenting cells (APCs), including B cells, dendritic cells, monocytes, and macrophages. CD80 is the receptor for the proteins CD28 and CTLA-4 found on the surface of T-cells. It is involved in the costimulatory signal essential for T-lymphocyte activation. T-cell proliferation and cytokine production is induced by the binding of CD28, binding to CTLA-4 has opposite effects and inhibits T-cell activation. CD80 also acts as a cellular attachment receptor for adenovirus subgroup B. (PMID: 7545666; 12015893; 16920215)
Protocols
| Product Specific Protocols | |
|---|---|
| IF protocol for CD80 antibody 86532-1-RR | Download protocol |
| WB protocol for CD80 antibody 86532-1-RR | Download protocol |
| Standard Protocols | |
|---|---|
| Click here to view our Standard Protocols |
Publications
| Species | Application | Title |
|---|---|---|
Cureus Effect of Low-Intensity Pulsed Ultrasound on Macrophage Properties and Fibrosis in the Infrapatellar Fat Pad in a Carrageenan-Induced Knee Osteoarthritis Rat Model. | ||
Front Immunol Hydrogen sulfide as a therapeutic agent for diabetic wounds: effects on inflammation and fibroblast pyroptosis. |







