Tested Applications
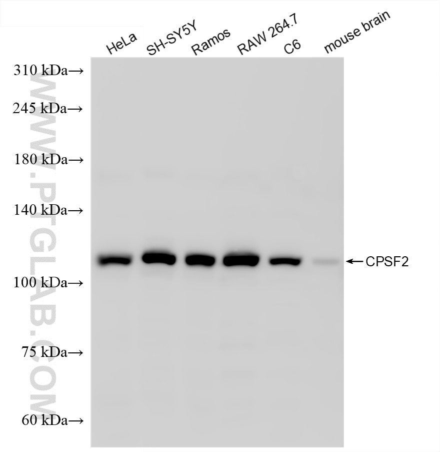
| Positive WB detected in | HeLa cells, SH-SY5Y cells, Ramos cells, RAW 264.7 cells, C6 cells, mouse brain tissue |
| Positive IF/ICC detected in | HeLa cells |
Recommended dilution
| Application | Dilution |
|---|---|
| Western Blot (WB) | WB : 1:2000-1:10000 |
| Immunofluorescence (IF)/ICC | IF/ICC : 1:50-1:500 |
| It is recommended that this reagent should be titrated in each testing system to obtain optimal results. | |
| Sample-dependent, Check data in validation data gallery. | |
Product Information
86513-3-RR targets CPSF2 in WB, IF/ICC, ELISA applications and shows reactivity with human, mouse, rat samples.
| Tested Reactivity | human, mouse, rat |
| Host / Isotype | Rabbit / IgG |
| Class | Recombinant |
| Type | Antibody |
| Immunogen |
CatNo: Ag11950 Product name: Recombinant human CPSF2 protein Source: e coli.-derived, PGEX-4T Tag: GST Domain: 433-782 aa of BC070095 Sequence: SAHKTKHDLMMKGEGSRKGSFFKQAKKSYPMFPAPEERIKWDEYGEIIKPEDFLVPELQATEEEKSKLESGLTNGDEPMDQDLSDVPTKCISTTESIEIKARVTYIDYEGRSDGDSIKKIINQMKPRQLIIVHGPPEASQDLAECCRAFGGKDIKVYMPKLHETVDATSETHIYQVRLKDSLVSSLQFCKAKDAELAWIDGVLDMRVSKVDTGVILEEGELRDDGEDSEMQVEAPSDSSVIAQQKAMKSLFGDDEKETGEESEIIPTLEPLPPHEVPGHQSVFMNEPRLSDFKQVLLREGIQAEFVGGVLVCNNQVAVRRTETGRIGLEGCLCQDFYRIRDLLYEQYAIV Predict reactive species |
| Full Name | cleavage and polyadenylation specific factor 2, 100kDa |
| Calculated Molecular Weight | 782 aa, 88 kDa |
| Observed Molecular Weight | 110 kDa |
| GenBank Accession Number | BC070095 |
| Gene Symbol | CPSF2 |
| Gene ID (NCBI) | 53981 |
| Conjugate | Unconjugated |
| Form | Liquid |
| Purification Method | Protein A purification |
| UNIPROT ID | Q9P2I0 |
| Storage Buffer | PBS with 0.02% sodium azide and 50% glycerol, pH 7.3. |
| Storage Conditions | Store at -20°C. Stable for one year after shipment. Aliquoting is unnecessary for -20oC storage. 20ul sizes contain 0.1% BSA. |
Background Information
Cleavage and Polyadenylation Specificity Factor Subunit 2 (CPSF2) is a critical component of the mRNA 3′ end processing machinery, playing a pivotal role in the cleavage and polyadenylation of pre-mRNA. This process is essential for the stability, nuclear export, and translation efficiency of mRNA, making CPSF2 a key player in gene expression regulation. Recent studies have highlighted the significance of CPSF2 in various diseases, particularly cancer. It's reported that in papillary thyroid carcinoma (PTC), negative expression of CPSF2 has been associated with poorer clinical outcomes, including higher rates of cervical lymph node metastasis, distant metastasis, and reduced recurrence-free survival. (PMID:26148673)
Protocols
| Product Specific Protocols | |
|---|---|
| IF protocol for CPSF2 antibody 86513-3-RR | Download protocol |
| WB protocol for CPSF2 antibody 86513-3-RR | Download protocol |
| Standard Protocols | |
|---|---|
| Click here to view our Standard Protocols |





