CXCL3/GRO Gamma Recombinant monoclonal antibody

CXCL3/GRO Gamma Uni-rAb® Recombinant Antibody for WB, ELISA
Cat No. 86261-1-RR
Clone No.250114C9

Host / Isotype

Rabbit / IgG

Reactivity

human, mouse, rat

Applications

WB, ELISA

CXCL/GRO Gamma, CXCL3, C X C motif chemokine 3, C-X-C motif chemokine 3, GRO gamma

Formulation:  PBS, Azide, Glycerol
PBS, Azide, Glycerol
PBS Only
Conjugate:  Unconjugated
Unconjugated
Size/Concentration: 

-/ -

Freight/Packing: -

Quantity

Please visit your regions distributor:


Tested Applications

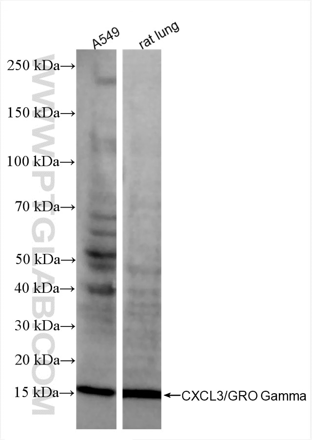
Positive WB detected inRAW 264.7 cells, A549 cells, rat lung tissue

Recommended dilution

ApplicationDilution
Western Blot (WB)WB : 1:5000-1:50000
It is recommended that this reagent should be titrated in each testing system to obtain optimal results.
Sample-dependent, Check data in validation data gallery.

Product Information

86261-1-RR targets CXCL3/GRO Gamma in WB, ELISA applications and shows reactivity with human, mouse, rat samples.

Tested Reactivity human, mouse, rat
Host / Isotype Rabbit / IgG
Class Recombinant
Type Antibody
Immunogen

CatNo: Eg2982

Product name: Recombinant Human CXCL3/GRO Gamma protein (rFc Tag)

Source: mammalian cells-derived, V37

Tag: C-rFc

Domain: 35-107 aa of NM_002090.3

Sequence: ASVVTELRCQCLQTLQGIHLKNIQSVNVRSPGPHCAQTEVIATLKNGKKACLNPASPMVQKIIEKILNKGSTN

Predict reactive species
Full Name chemokine (C-X-C motif) ligand 3
Calculated Molecular Weight11 kDa
Observed Molecular Weight11 kDa
GenBank Accession NumberNM_002090.3
Gene Symbol CXCL3
Gene ID (NCBI) 2921
Conjugate Unconjugated
FormLiquid
Purification MethodProtein A purification
UNIPROT IDP19876
Storage Buffer PBS with 0.02% sodium azide and 50% glycerol, pH 7.3.
Storage ConditionsStore at -20°C. Stable for one year after shipment. Aliquoting is unnecessary for -20oC storage. 20ul sizes contain 0.1% BSA.

Background Information

CXC chemokine ligand 3 (CXCL3) is a member of CXC-type chemokine family that is identified as a major regulator in immune and inflammation responses. CXCL3 is broadly expressed in various human tumor types, and it is also known to play a critical role in mediating tumor development and progression.

Protocols

Product Specific Protocols
WB protocol for CXCL3/GRO Gamma antibody 86261-1-RRDownload protocol
Standard Protocols
Click here to view our Standard Protocols
Loading...
||
New chat

Able

正在加载,请稍候...