Tested Applications
| Positive WB detected in | Transfected with Mouse Cxcl13 Transfected HEK-293T cells, Recombinant protein |
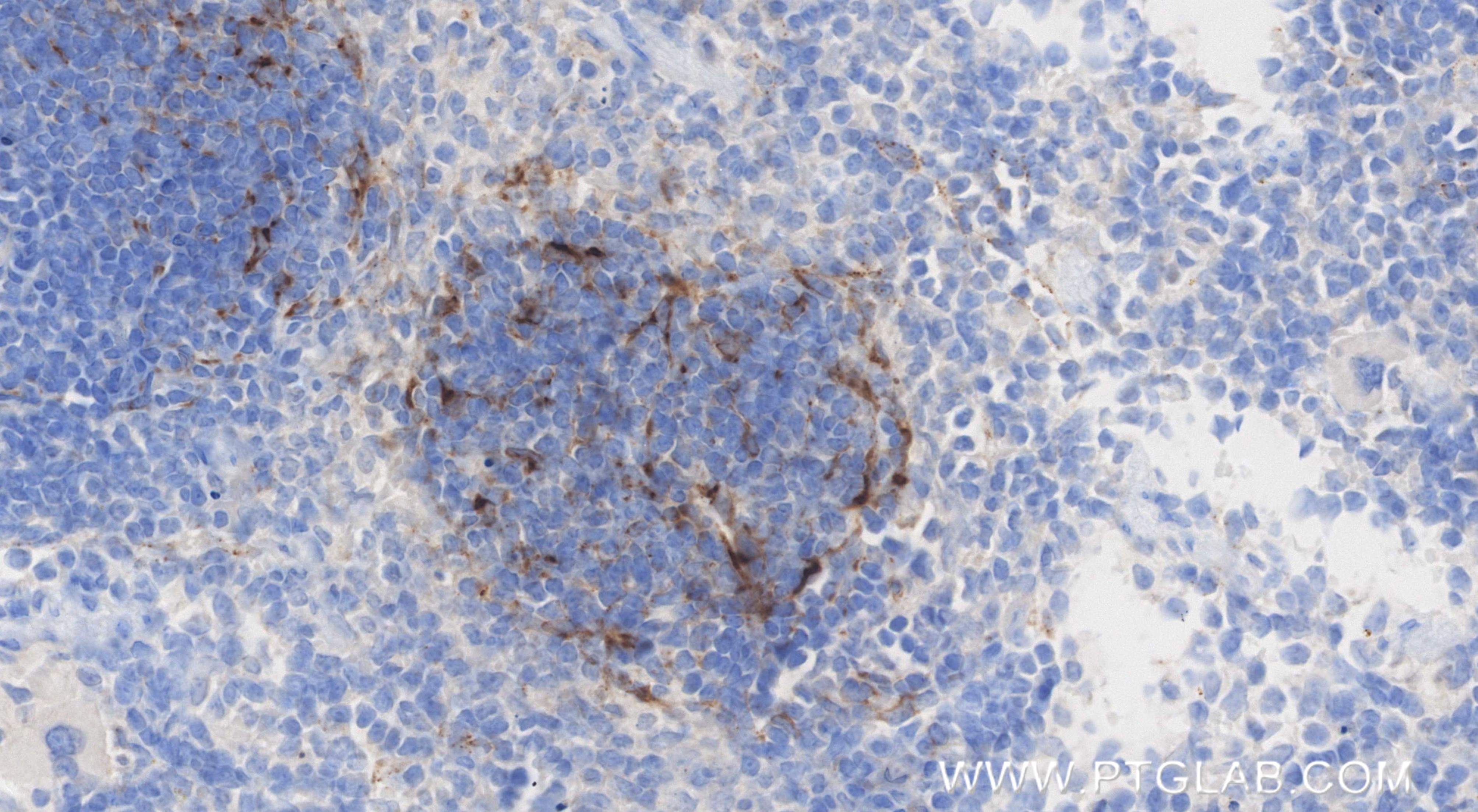
| Positive IHC detected in | mouse spleen tissue Note: suggested antigen retrieval with TE buffer pH 9.0; (*) Alternatively, antigen retrieval may be performed with citrate buffer pH 6.0 |
Recommended dilution
| Application | Dilution |
|---|---|
| Western Blot (WB) | WB : 1:2000-1:10000 |
| Immunohistochemistry (IHC) | IHC : 1:500-1:2000 |
| It is recommended that this reagent should be titrated in each testing system to obtain optimal results. | |
| Sample-dependent, Check data in validation data gallery. | |
Product Information
86564-1-RR targets CXCL13/BCA1 in WB, IHC, ELISA applications and shows reactivity with mouse samples.
| Tested Reactivity | mouse |
| Host / Isotype | Rabbit / IgG |
| Class | Recombinant |
| Type | Antibody |
| Immunogen |
CatNo: Eg3331 Product name: Recombinant Mouse Cxcl13 protein (rFc Tag) Source: mammalian cells-derived, pHZ-KIsec-C-rFc Tag: C-rFc Domain: 22-109 aa of NM_018866 Sequence: ILEAHYTNLKCRCSGVISTVVGLNIIDRIQVTPPGNGCPKTEVVIWTKMKKVICVNPRAKWLQRLLRHVQSKSLSSTPQAPVSKRRAA Predict reactive species |
| Full Name | chemokine (C-X-C motif) ligand 13 |
| Calculated Molecular Weight | 12 kDa |
| GenBank Accession Number | NM_018866 |
| Gene Symbol | Cxcl13 |
| Gene ID (NCBI) | 55985 |
| Conjugate | Unconjugated |
| Form | Liquid |
| Purification Method | Protein A purification |
| UNIPROT ID | O55038 |
| Storage Buffer | PBS with 0.02% sodium azide and 50% glycerol, pH 7.3. |
| Storage Conditions | Store at -20°C. Stable for one year after shipment. Aliquoting is unnecessary for -20oC storage. 20ul sizes contain 0.1% BSA. |
Background Information
CXCL13 (C-X-C motif chemokine 13), originally named B-lymphocyte chemoattractant (BLC) or B cell-attracting chemokine 1 (BCA-1), is a homeostatic chemokine that is constitutively secreted by stromal cells in the B-cell follicles of secondary lymphoid tissues (e.g., spleen, lymph nodes, tonsils, and Peyer's patches). It plays a crucial role in orchestrating cell migration within distinct regions of secondary lymphoid organs, strongly attracting B lymphocytes (and, to a lesser extent, T cells and macrophages) via its receptor CXCR5 (originally named Burkitt's lymphoma receptor 1, BLR1). In addition to maintaining immune cell trafficking and lymphoid follicle development, CXCL13 is implicated in inflammatory and autoimmune diseases (e.g., systemic lupus erythematosus, rheumatoid arthritis) and tumor progression (e.g., multiple myeloma).
Protocols
| Product Specific Protocols | |
|---|---|
| IHC protocol for CXCL13/BCA1 antibody 86564-1-RR | Download protocol |
| WB protocol for CXCL13/BCA1 antibody 86564-1-RR | Download protocol |
| Standard Protocols | |
|---|---|
| Click here to view our Standard Protocols |







