Tested Applications
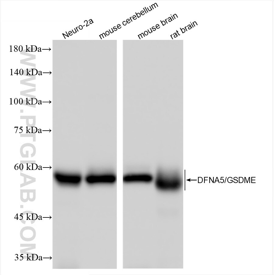
| Positive WB detected in | Neuro-2a cells, mouse cerebellum tissue, mouse brain tissue, rat brain tissue |
Recommended dilution
| Application | Dilution |
|---|---|
| Western Blot (WB) | WB : 1:5000-1:20000 |
| It is recommended that this reagent should be titrated in each testing system to obtain optimal results. | |
| Sample-dependent, Check data in validation data gallery. | |
Product Information
82955-2-RR targets DFNA5/GSDME in WB, ELISA applications and shows reactivity with mouse, rat samples.
| Tested Reactivity | mouse, rat |
| Host / Isotype | Rabbit / IgG |
| Class | Recombinant |
| Type | Antibody |
| Immunogen |
CatNo: Ag33622 Product name: Recombinant mouse Dfna5 protein Source: e coli.-derived, PGEX-4T Tag: GST Domain: 1-200 aa of BC132303 Sequence: MFAKATRNFLKEVDAGGDLISVSHLNDSDKLQLLSLVTKKKRYWCWQRPKYQILSATLEDVLTEGHCLSPVVVESDFVKYESKCENHKSGAIGTVVGKVKLNVGGKGVVESHSSFGTLRKQEVDVQQLIQDAVKRTVNMDNLVLQQVLESRNEVLCVLTQKIMTTQKCVISEHVQSEETCGGMVGIQTKTIQVSATEDGT* Predict reactive species |
| Full Name | deafness, autosomal dominant 5 (human) |
| Calculated Molecular Weight | 57 kDa |
| Observed Molecular Weight | 57 kDa |
| GenBank Accession Number | BC132303 |
| Gene Symbol | DFNA5/GSDME |
| Gene ID (NCBI) | 54722 |
| Conjugate | Unconjugated |
| Form | Liquid |
| Purification Method | Protein A purification |
| UNIPROT ID | Q9Z2D3 |
| Storage Buffer | PBS with 0.02% sodium azide and 50% glycerol, pH 7.3. |
| Storage Conditions | Store at -20°C. Stable for one year after shipment. Aliquoting is unnecessary for -20oC storage. 20ul sizes contain 0.1% BSA. |
Background Information
DFNA5 (deafness, autosomal dominant 5), also known as GSDME or ICERE-1, is a 496 amino acid protein that is expressed in cochlea tissue, as well as in placenta, brain, heart, liver, lung and pancreas. Defects in the gene encoding DFNA5 are the cause of non-syndromic sensorineural deafness autosomal dominant type 5 (DFNA5), a form of sensorineural hearing loss that results from damage to one of various structures that receive sound information in the brain.
Protocols
| Product Specific Protocols | |
|---|---|
| WB protocol for DFNA5/GSDME antibody 82955-2-RR | Download protocol |
| Standard Protocols | |
|---|---|
| Click here to view our Standard Protocols |



