Tested Applications
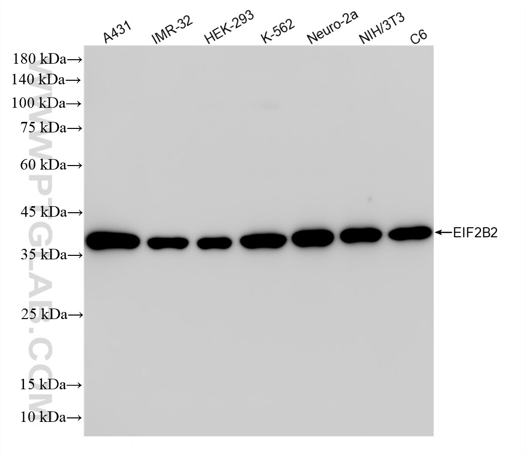
| Positive WB detected in | A431 cells, IMR-32 cells, HEK-293 cells,K-562 cells, Neuro-2a cells, NIH/3T3 cells, C6 cells |
| Positive IP detected in | A431 cells |
| Positive IHC detected in | rat brain tissue Note: suggested antigen retrieval with TE buffer pH 9.0; (*) Alternatively, antigen retrieval may be performed with citrate buffer pH 6.0 |
Recommended dilution
| Application | Dilution |
|---|---|
| Western Blot (WB) | WB : 1:5000-1:50000 |
| Immunoprecipitation (IP) | IP : 0.5-4.0 ug for 1.0-3.0 mg of total protein lysate |
| Immunohistochemistry (IHC) | IHC : 1:250-1:1000 |
| It is recommended that this reagent should be titrated in each testing system to obtain optimal results. | |
| Sample-dependent, Check data in validation data gallery. | |
Product Information
86578-1-RR targets EIF2B2 in WB, IHC, IP, ELISA applications and shows reactivity with human, mouse, rat samples.
| Tested Reactivity | human, mouse, rat |
| Host / Isotype | Rabbit / IgG |
| Class | Recombinant |
| Type | Antibody |
| Immunogen |
CatNo: Ag1502 Product name: Recombinant human EIF2B2 protein Source: e coli.-derived, PGEX-4T Tag: GST Domain: 1-351 aa of BC011750 Sequence: MPGSAAKGSELSERIESFVETLKRGGGPRSSEEMARETLGLLRQIITDHRWSNAGELMELIRREGRRMTAAQPSETTVGNMVRRVLKIIREEYGRLHGRSDESDQQESLHKLLTSGGLNEDFSFHYAQLQSNIIEAINELLVELEGTMENIAAQALEHIHSNEVIMTIGFSRTVEAFLKEAARKRKFHVIVAECAPFCQGHEMAVNLSKAGIETTVMTDAAIFAVMSRVNKVIIGTKTILANGALRAVTGTHTLALAAKHHSTPLIVCAPMFKLSPQFPNEEDSFHKFVAPEEVLPFTEGDILEKVSVHCPVFDYVPPELITLFISNIGGNAPSYIYRLMSELYHPDDHVL Predict reactive species |
| Full Name | eukaryotic translation initiation factor 2B, subunit 2 beta, 39kDa |
| Calculated Molecular Weight | 39 kDa |
| Observed Molecular Weight | 39 kDa |
| GenBank Accession Number | BC011750 |
| Gene Symbol | EIF2B2 |
| Gene ID (NCBI) | 8892 |
| Conjugate | Unconjugated |
| Form | Liquid |
| Purification Method | Protein A purification |
| UNIPROT ID | P49770 |
| Storage Buffer | PBS with 0.02% sodium azide and 50% glycerol, pH 7.3. |
| Storage Conditions | Store at -20°C. Stable for one year after shipment. Aliquoting is unnecessary for -20oC storage. 20ul sizes contain 0.1% BSA. |
Protocols
| Product Specific Protocols | |
|---|---|
| IHC protocol for EIF2B2 antibody 86578-1-RR | Download protocol |
| IP protocol for EIF2B2 antibody 86578-1-RR | Download protocol |
| WB protocol for EIF2B2 antibody 86578-1-RR | Download protocol |
| Standard Protocols | |
|---|---|
| Click here to view our Standard Protocols |







