Tested Applications
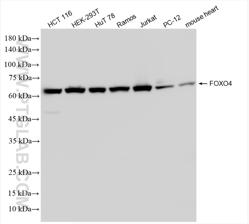
| Positive WB detected in | HCT 116 cells, HEK-293T cells, HuT 78 cells, Ramos cells, Jurkat cells, PC-12 cells, mouse heart tissue |
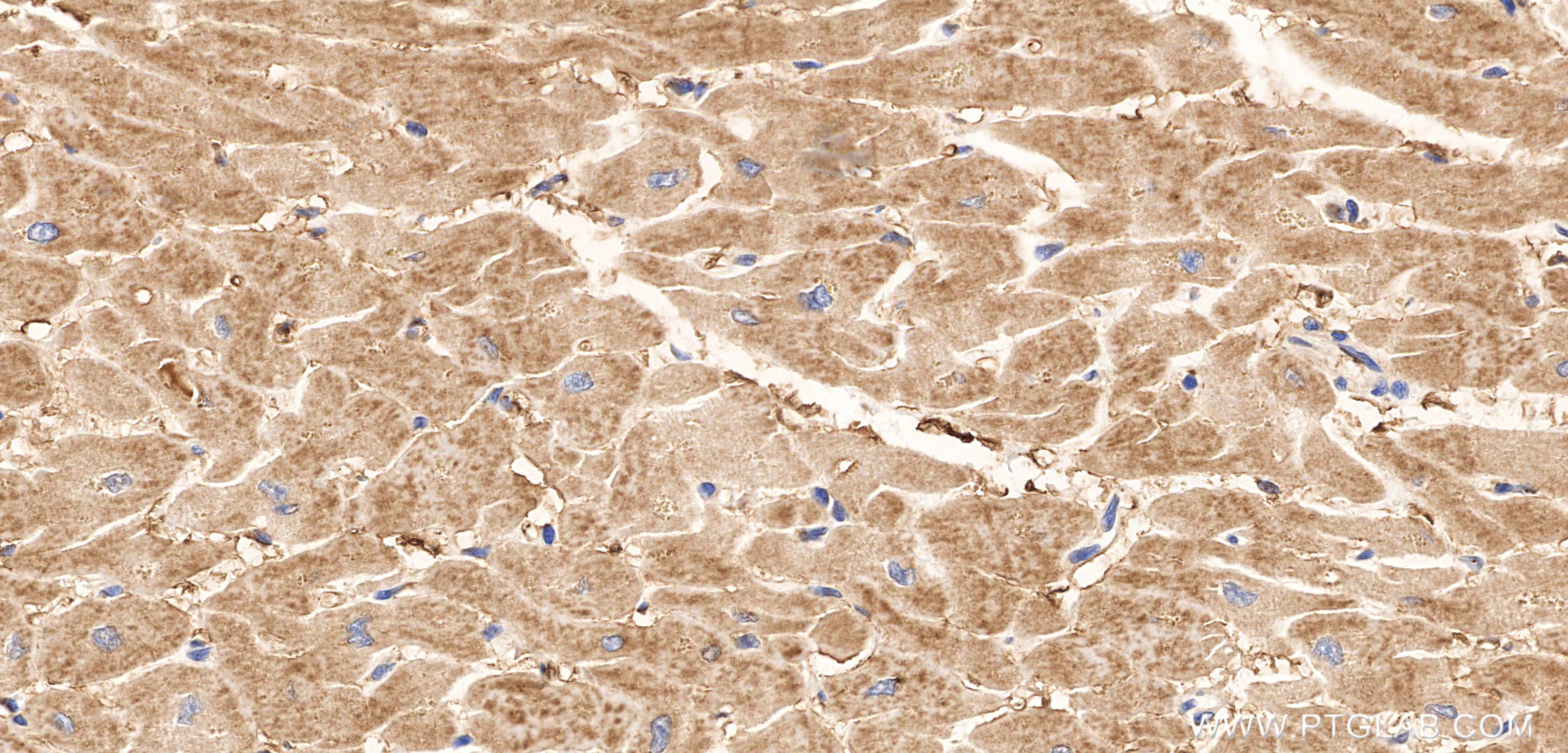
| Positive IHC detected in | human heart tissue Note: suggested antigen retrieval with TE buffer pH 9.0; (*) Alternatively, antigen retrieval may be performed with citrate buffer pH 6.0 |
| Positive IF/ICC detected in | HEK-293T cells |
Recommended dilution
| Application | Dilution |
|---|---|
| Western Blot (WB) | WB : 1:1000-1:8000 |
| Immunohistochemistry (IHC) | IHC : 1:500-1:2000 |
| Immunofluorescence (IF)/ICC | IF/ICC : 1:50-1:500 |
| It is recommended that this reagent should be titrated in each testing system to obtain optimal results. | |
| Sample-dependent, Check data in validation data gallery. | |
Product Information
86236-1-RR targets FOXO4 in WB, IHC, IF/ICC, ELISA applications and shows reactivity with human, mouse, rat samples.
| Tested Reactivity | human, mouse, rat |
| Host / Isotype | Rabbit / IgG |
| Class | Recombinant |
| Type | Antibody |
| Immunogen |
CatNo: Ag16169 Product name: Recombinant human FOXO4 protein Source: e coli.-derived, PGEX-4T Tag: GST Domain: 198-505 aa of BC106761 Sequence: MDSSSKLLRGRSKAPKKKPSVLPAPPEGATPTSPVGHFAKWSGSPCSRNREEADMWTTFRPRSSSNASSVSTRLSPLRPESEVLAEEIPASVSSYAGGVPPTLNEGLELLDGLNLTSSHSLLSRSGLSGFSLQHPGVTGPLHTYSSSLFSPAEGPLSAGEGCFSSSQALEALLTSDTPPPPADVLMTQVDPILSQAPTLLLLGGLPSSSKLATGVGLCPKPLEAPGPSSLVPTLSMIAPPPVMASAPIPKALGTPVLTPPTEAASQDRMPQDLDLDMYMENLECDMDNIISDLMDEGEGLDFNFEPDP Predict reactive species |
| Full Name | forkhead box O4 |
| Calculated Molecular Weight | 505 aa, 54 kDa |
| Observed Molecular Weight | 65 kDa |
| GenBank Accession Number | BC106761 |
| Gene Symbol | FOXO4 |
| Gene ID (NCBI) | 4303 |
| Conjugate | Unconjugated |
| Form | Liquid |
| Purification Method | Protein A purification |
| UNIPROT ID | P98177 |
| Storage Buffer | PBS with 0.02% sodium azide and 50% glycerol, pH 7.3. |
| Storage Conditions | Store at -20°C. Stable for one year after shipment. Aliquoting is unnecessary for -20oC storage. 20ul sizes contain 0.1% BSA. |
Background Information
FOXO4, also named as AFX, AFX1 and MLLT7, is a transcription factor that is involved in the regulation of the insulin signaling pathway. It binds to insulin-response elements (IREs) and can activate transcription of IGFBP1.FOXO downregulates the expression of HIF1A and suppresses hypoxia-induced transcriptional activation of HIF1A-modulated genes. It is involved in negative regulation of the cell cycle. A chromosomal aberration involving FOXO4 is found in acute leukemias.
Protocols
| Product Specific Protocols | |
|---|---|
| IF protocol for FOXO4 antibody 86236-1-RR | Download protocol |
| IHC protocol for FOXO4 antibody 86236-1-RR | Download protocol |
| WB protocol for FOXO4 antibody 86236-1-RR | Download protocol |
| Standard Protocols | |
|---|---|
| Click here to view our Standard Protocols |









