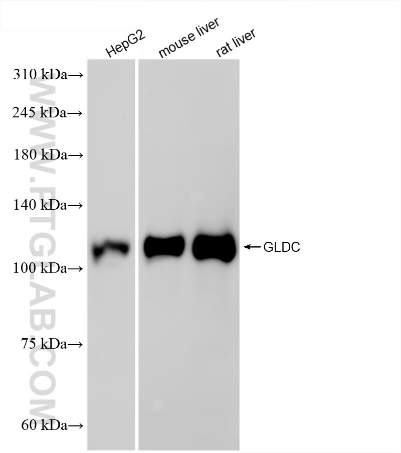
Tested Applications
| Positive WB detected in | HepG2 cells, Vero cells, mouse liver tissue, rat liver tissue |
Recommended dilution
| Application | Dilution |
|---|---|
| Western Blot (WB) | WB : 1:5000-1:50000 |
| It is recommended that this reagent should be titrated in each testing system to obtain optimal results. | |
| Sample-dependent, Check data in validation data gallery. | |
Product Information
86378-1-RR targets GLDC in WB, ELISA applications and shows reactivity with human, mouse, rat, monkey samples.
| Tested Reactivity | human, mouse, rat, monkey |
| Host / Isotype | Rabbit / IgG |
| Class | Recombinant |
| Type | Antibody |
| Immunogen |
CatNo: Ag20410 Product name: Recombinant human GLDC protein Source: e coli.-derived, PET28a Tag: 6*His Domain: 675-1020 aa of BC111995 Sequence: NIDAVHLKAMVDKHKENLAAIMITYPSTNGVFEENISDVCDLIHQHGGQVYLDGANMNAQVGICRPGDFGSDVSHLNLHKTFCIPHGGGGPGMGPIGVKKHLAPFLPNHPVISLKRNEDACPVGTVSAAPWGSSSILPISWAYIKMMGGKGLKQATETAILNANYMAKRLETHYRILFRGARGYVGHEFILDTRPFKKSANIEAVDVAKRLQDYGFHAPTMSWPVAGTLMVEPTESEDKAELDRFCDAMISIRQEIADIEEGRIDPRVNPLKMSPHSLTCVTSSHWDRPYSREVAAFPLPFVKPENKFWPTIARIDDIYGDQHLVCTCPPMEVYESPFSEQKRASS Predict reactive species |
| Full Name | glycine dehydrogenase (decarboxylating) |
| Calculated Molecular Weight | 1020 aa, 113 kDa |
| Observed Molecular Weight | 113 kDa |
| GenBank Accession Number | BC111995 |
| Gene Symbol | GLDC |
| Gene ID (NCBI) | 2731 |
| Conjugate | Unconjugated |
| Form | Liquid |
| Purification Method | Protein A purification |
| UNIPROT ID | P23378 |
| Storage Buffer | PBS with 0.02% sodium azide and 50% glycerol, pH 7.3. |
| Storage Conditions | Store at -20°C. Stable for one year after shipment. Aliquoting is unnecessary for -20oC storage. 20ul sizes contain 0.1% BSA. |
Background Information
GLDC(Glycine dehydrogenase [decarboxylating], mitochondrial) is also named as GCSP and belongs to the GcvP family. It induces dramatic changes in glycolysis and glycine/serine metabolism that leads to changes in pyrimidine metabolism to regulate cancer cell proliferation(PMID:22225612).
Protocols
| Product Specific Protocols | |
|---|---|
| WB protocol for GLDC antibody 86378-1-RR | Download protocol |
| Standard Protocols | |
|---|---|
| Click here to view our Standard Protocols |



