Tested Applications
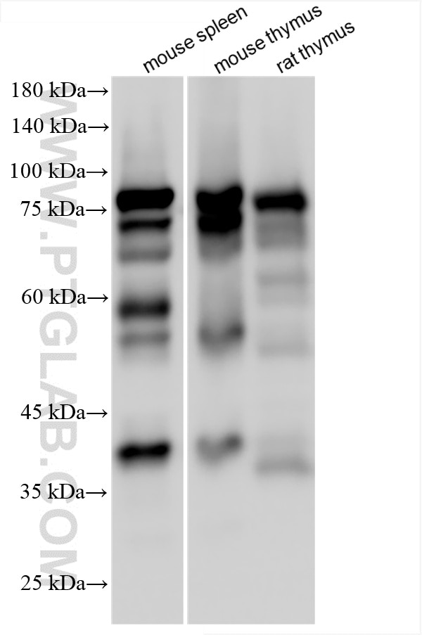
| Positive WB detected in | RAW 264.7 cells, mouse spleen tissue, mouse thymus tissue, rat thymus tissue |
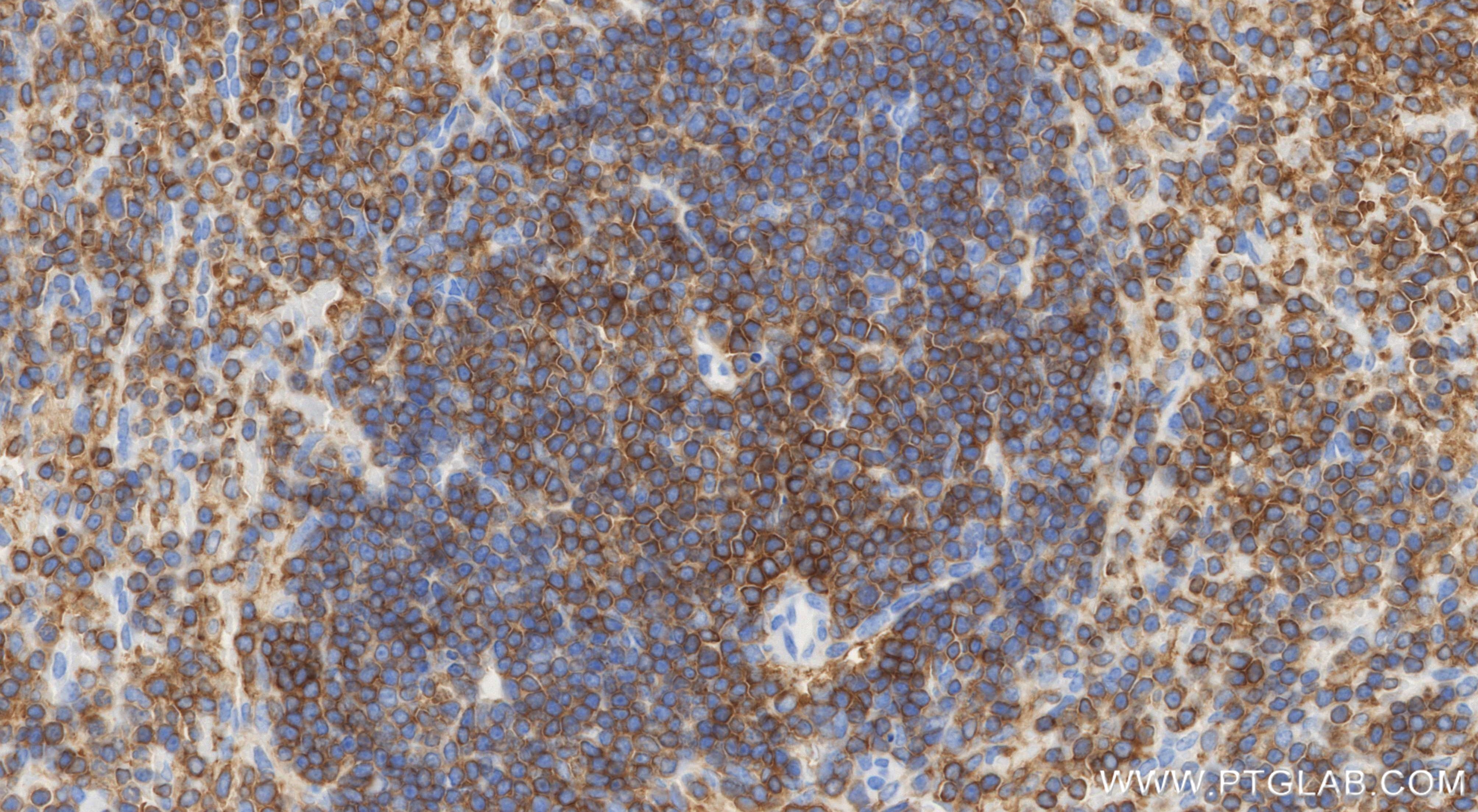
| Positive IHC detected in | mouse spleen tissue Note: suggested antigen retrieval with TE buffer pH 9.0; (*) Alternatively, antigen retrieval may be performed with citrate buffer pH 6.0 |
Recommended dilution
| Application | Dilution |
|---|---|
| Western Blot (WB) | WB : 1:20000-1:100000 |
| Immunohistochemistry (IHC) | IHC : 1:500-1:2000 |
| It is recommended that this reagent should be titrated in each testing system to obtain optimal results. | |
| Sample-dependent, Check data in validation data gallery. | |
Product Information
86421-1-RR targets IL-16 in WB, IHC, ELISA applications and shows reactivity with mouse, rat samples.
| Tested Reactivity | mouse, rat |
| Host / Isotype | Rabbit / IgG |
| Class | Recombinant |
| Type | Antibody |
| Immunogen |
CatNo: Eg3127 Product name: Recombinant Mouse IL-16 protein (rFc Tag) Source: mammalian cells-derived, V37 Tag: C-rFc Domain: 1205-1322 aa of NM_010551.3 Sequence: SAASASAASDISVESKEATVCTVTLEKTSAGLGFSLEGGKGSLHGDKPLTINRIFKGTEQGEMVQPGDEILQLAGTAVQGLTRFEAWNVIKALPDGPVTIVIRRTSLQCKQTTASADS Predict reactive species |
| Full Name | interleukin 16 |
| Calculated Molecular Weight | 141 kDa |
| Observed Molecular Weight | 66-72 kDa |
| GenBank Accession Number | NM_010551.3 |
| Gene Symbol | Il16 |
| Gene ID (NCBI) | 16170 |
| Conjugate | Unconjugated |
| Form | Liquid |
| Purification Method | Protein A purification |
| UNIPROT ID | O54824-1 |
| Storage Buffer | PBS with 0.02% sodium azide and 50% glycerol, pH 7.3. |
| Storage Conditions | Store at -20°C. Stable for one year after shipment. Aliquoting is unnecessary for -20oC storage. 20ul sizes contain 0.1% BSA. |
Background Information
IL-16 is a pleiotropic cytokine that functions as a chemoattractant, a modulator of T cell activation, and an inhibitor of HIV replication. It is mainly produced by T lymphocytes but also by other immune cells, neuronal cells, fibroblasts and epithelial cells. The signaling process of this cytokine is mediated by CD4. IL-16 induces chemotaxis of CD4+ cells such as lymphocytes, eosinophils, and dendritic cells by ligating CD4 directly at a site distinct from other ligands. Among its multiple functions, IL-16 is a T cell chemoattractant involved in T helper cell inflammatory responses and the regulation of both T cell growth, and responsiveness to regulatory cytokines. The cytokine function is exclusively attributed to the secreted C-terminal peptide, while the N-terminal product may play a role in cell cycle control. Pro-IL-16 can be detected at about 80 kDa, and cleaved fragments can be deteced at between 40 and 75 kDa.
Protocols
| Product Specific Protocols | |
|---|---|
| IHC protocol for IL-16 antibody 86421-1-RR | Download protocol |
| WB protocol for IL-16 antibody 86421-1-RR | Download protocol |
| Standard Protocols | |
|---|---|
| Click here to view our Standard Protocols |





