Tested Applications
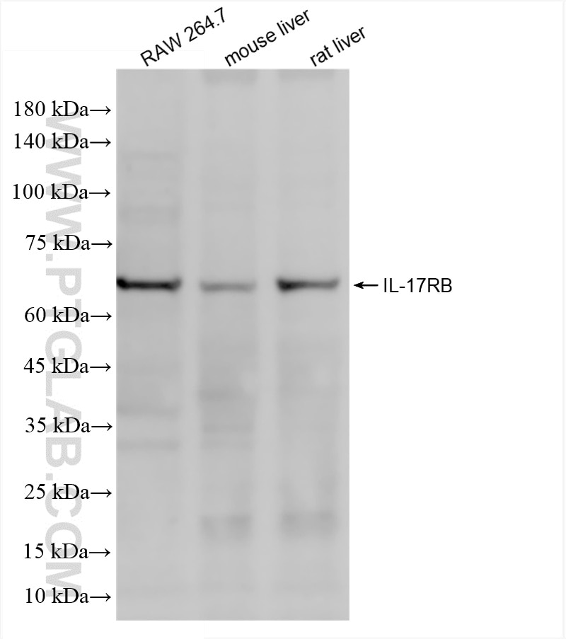
| Positive WB detected in | RAW 264.7 cells, Transfected HEK-293T cells, mouse liver tissue, rat liver tissue |
Recommended dilution
| Application | Dilution |
|---|---|
| Western Blot (WB) | WB : 1:500-1:2000 |
| It is recommended that this reagent should be titrated in each testing system to obtain optimal results. | |
| Sample-dependent, Check data in validation data gallery. | |
Product Information
85961-1-RR targets IL-17RB in WB, ELISA applications and shows reactivity with mouse, rat samples.
| Tested Reactivity | mouse, rat |
| Host / Isotype | Rabbit / IgG |
| Class | Recombinant |
| Type | Antibody |
| Immunogen |
CatNo: Eg2798 Product name: recombinant mouse Il17rb protein Source: mammalian cells-derived, V37 Tag: C-rFc Domain: 18-286 aa of NM_019583.3 Sequence: REPTIQCGSETGPSPEWMVQHTLTPGDLRDLQVELVKTSVAAEEFSILMNISWILRADASIRLLKATKICVSGKNNMNSYSCVRCNYTEAFQSQTRPSGGKWTFSYVGFPVELSTLYLISAHNIPNANMNEDSPSLSVNFTSPGCLNHVMKYKKQCTEAGSLWDPDITACKKNEKMVEVNFTTNPLGNRYTILIQRDTTLGFSRVLENKLMRTSVAIPVTEESEGAVVQLTPYLHTCGNDCIRREGTVVLCSETSAPIPPDDNRRMLGG Predict reactive species |
| Full Name | interleukin 17 receptor B |
| Calculated Molecular Weight | 56 kDa |
| Observed Molecular Weight | 67 kDa |
| GenBank Accession Number | NM_019583.3 |
| Gene Symbol | Il17rb |
| Gene ID (NCBI) | 50905 |
| Conjugate | Unconjugated |
| Form | Liquid |
| Purification Method | Protein A purification |
| UNIPROT ID | Q9JIP3-1 |
| Storage Buffer | PBS with 0.02% sodium azide and 50% glycerol, pH 7.3. |
| Storage Conditions | Store at -20°C. Stable for one year after shipment. Aliquoting is unnecessary for -20oC storage. 20ul sizes contain 0.1% BSA. |
Background Information
IL-17RB is a transmembrane protein that belongs to the IL-17 receptor family. IL-17RB has a SEFIR cytoplasmic domain implicated in homotypic dimerization and recruitment of signaling proteins (shared with IL-17RA) and a TRAF6-binding domain (not found in IL-17RA). IL-17RB is expressed in various endocrine tissues and epithelial cells in different organs such as kidney, liver, and mucosal tissues. The IL-17B/IL-17RB pathway is considered as a signaling cascade that promotes cancer cell survival, proliferation and migration. The pro-tumor functions associated with the IL 17B/IL-17RB pathway are diverse and complex because they involve mechanisms that act directly on tumor cells, and also indirect mechanisms that lead to tumor microenvironment remodeling.
Protocols
| Product Specific Protocols | |
|---|---|
| WB protocol for IL-17RB antibody 85961-1-RR | Download protocol |
| Standard Protocols | |
|---|---|
| Click here to view our Standard Protocols |



