Tested Applications
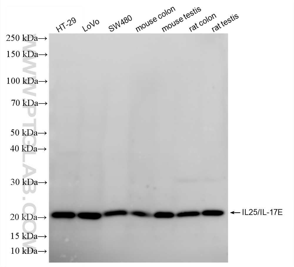
| Positive WB detected in | HT-29 cells, rat testis tissue, LoVo cells, SW480 cells, mouse colon tissue, mouse testis tissue, rat colon tissue |
Recommended dilution
| Application | Dilution |
|---|---|
| Western Blot (WB) | WB : 1:1000-1:4000 |
| It is recommended that this reagent should be titrated in each testing system to obtain optimal results. | |
| Sample-dependent, Check data in validation data gallery. | |
Product Information
86396-1-RR targets IL-25/IL-17E in WB, ELISA applications and shows reactivity with human, mouse, rat samples.
| Tested Reactivity | human, mouse, rat |
| Host / Isotype | Rabbit / IgG |
| Class | Recombinant |
| Type | Antibody |
| Immunogen |
CatNo: Eg3316 Product name: recombinant mouse IL25/IL-17E protein Source: mammalian cells-derived, pHZ-KIsec-C-rFc Tag: C-rFc Domain: 17-169 aa of NM_080729.3 Sequence: VSLRIQEGCSHLPSCCPSKEQEPPEEWLKWSSASVSPPEPLSHTHHAESCRASKDGPLNSRAISPWSYELDRDLNRVPQDLYHARCLCPHCVSLQTGSHMDPLGNSVPLYHNQTVFYRRPCHGEEGTHRRYCLERRLYRVSLACVCVRPRVMA Predict reactive species |
| Full Name | interleukin 25 |
| Calculated Molecular Weight | 19KD |
| Observed Molecular Weight | 20 kda |
| GenBank Accession Number | NM_080729.3 |
| Gene Symbol | Il25 |
| Gene ID (NCBI) | 140806 |
| Conjugate | Unconjugated |
| Form | Liquid |
| Purification Method | Protein A purification |
| UNIPROT ID | Q8VHH8 |
| Storage Buffer | PBS with 0.02% sodium azide and 50% glycerol, pH 7.3. |
| Storage Conditions | Store at -20°C. Stable for one year after shipment. Aliquoting is unnecessary for -20oC storage. 20ul sizes contain 0.1% BSA. |
Protocols
| Product Specific Protocols | |
|---|---|
| WB protocol for IL-25/IL-17E antibody 86396-1-RR | Download protocol |
| Standard Protocols | |
|---|---|
| Click here to view our Standard Protocols |



