Tested Applications
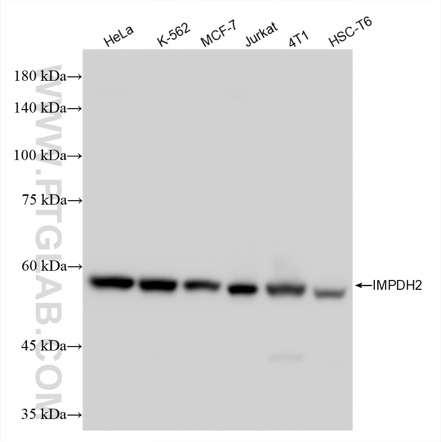
| Positive WB detected in | HeLa cells, K-562 cells, MCF-7 cells, Jurkat cells, HSC-T6 cells, 4T1 cells |
Recommended dilution
| Application | Dilution |
|---|---|
| Western Blot (WB) | WB : 1:5000-1:50000 |
| It is recommended that this reagent should be titrated in each testing system to obtain optimal results. | |
| Sample-dependent, Check data in validation data gallery. | |
Product Information
86346-3-RR targets IMPDH2 in WB, ELISA applications and shows reactivity with human, mouse, rat samples.
| Tested Reactivity | human, mouse, rat |
| Host / Isotype | Rabbit / IgG |
| Class | Recombinant |
| Type | Antibody |
| Immunogen |
CatNo: Ag3632 Product name: Recombinant human IMPDH2 protein Source: e coli.-derived, PGEX-4T Tag: GST Domain: 1-350 aa of BC012840 Sequence: MADYLISGGTSYVPDDGLTAQQLFNCGDGLTYNDFLILPGYIDFTADQVDLTSALTKKITLKTPLVSSPMDTVTEAGMAIAMALTGGIGFIHHNCTPEFQANEVRKVKKYEQGFITDPVVLSPKDRVRDVFEAKARHGFCGIPITDTGRMGSRLVGIISSRDIDFLKEEEHDCFLEEIMTKREDLVVAPAGITLKEANEILQRSKKGKLPIVNEDDELVAIIARTDLKKNRDYPLASKDAKKQLLCGAAIGTHEDDKYRLDLLAQAGVDVVVLDSSQGNSIFQINMIKYIKDKYPNLQVIGGNVVTAAQAKNLIDAGVDALRVGMGSGSICITQEVLACGRPQATAVYKV Predict reactive species |
| Full Name | IMP (inosine monophosphate) dehydrogenase 2 |
| Calculated Molecular Weight | 514 aa, 56 kDa |
| Observed Molecular Weight | 56 kDa |
| GenBank Accession Number | BC012840 |
| Gene Symbol | IMPDH2 |
| Gene ID (NCBI) | 3615 |
| Conjugate | Unconjugated |
| Form | Liquid |
| Purification Method | Protein A purification |
| UNIPROT ID | P12268 |
| Storage Buffer | PBS with 0.02% sodium azide and 50% glycerol, pH 7.3. |
| Storage Conditions | Store at -20°C. Stable for one year after shipment. Aliquoting is unnecessary for -20oC storage. 20ul sizes contain 0.1% BSA. |
Background Information
IMPDH2, also named as IMPD2, belongs to the IMPDH/GMPR family. It is a rate limiting enzyme in the de novo synthesis of guanine nucleotides and therefore is involved in the regulation of cell growth. It may also have a role in the development of malignancy and the growth progression of some tumors. IMPDH2 is a key enzyme in the purine nucleotide biosynthetic pathway and constitutes a pivotal biological target for immunosuppressant and antiviral drugs. (PMID:21181270)
Protocols
| Product Specific Protocols | |
|---|---|
| WB protocol for IMPDH2 antibody 86346-3-RR | Download protocol |
| Standard Protocols | |
|---|---|
| Click here to view our Standard Protocols |



